Tel:
+49 (0)241 95 163 153
Fax:
+49 (0)241 95 163 155
E-Mail:
orders@anticorps-enligne.fr

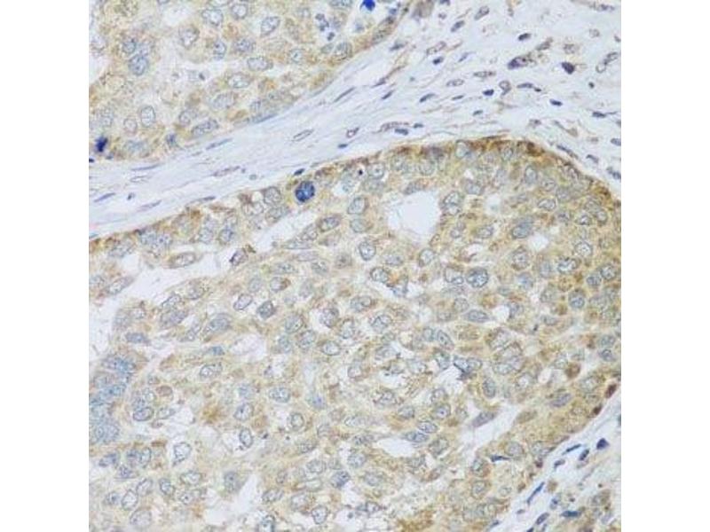
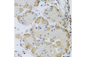
ANAPC10 anticorps (AA 1-185)

Cet anticorps anti-ANAPC10 Polyclonal Lapin (ABIN6136862) détecte spécifiquement ANAPC10 dans WB. L’anticorps est réactif avec des échantillons de Humain.
N° du produit ABIN6136862
320,00 €
Plus frais de livraison 40,00 € et TVA
Destination: France
Envoi sous 8 à 10 jours ouvrables

Aperçu rapide pour ANAPC10 anticorps (AA 1-185) (ABIN6136862)

Antigène

Voir toutes ANAPC10 Anticorps
ANAPC10 (Anaphase Promoting Complex Subunit 10 (ANAPC10))

Reactivité

  • 25
  • 20
  • 6
  • 2
  • 2
  • 2
  • 2
  • 2
  • 1
  • 1
  • 1
  • 1
  • 1
  • 1
Humain

Hôte

  • 35
  • 5
Lapin

Clonalité

  • 36
  • 3
Polyclonal

Conjugué

  • 19
  • 2
  • 1
  • 1
  • 1
  • 1
  • 1
  • 1
  • 1
  • 1
  • 1
  • 1
  • 1
  • 1
  • 1
  • 1
  • 1
  • 1
  • 1
  • 1
  • 1
Cet anticorp ANAPC10 est non-conjugé

Application

  • 30
  • 13
  • 13
  • 10
  • 6
  • 5
  • 4
  • 4
  • 3
  • 3
  • 2
  • 1
  • 1
Western Blotting (WB)
  • Épitope

    • 15
    • 7
    • 4
    • 1
    • 1
    • 1
    • 1
    AA 1-185

    Séquence

    MTTPNKTPPG ADPKQLERTG TVREIGSQAV WSLSSCKPGF GVDQLRDDNL ETYWQSDGSQ PHLVNIQFRR KTTVKTLCIY ADYKSDESYT PSKISVRVGN NFHNLQEIRQ LELVEPSGWI HVPLTDNHKK PTRTFMIQIA VLANHQNGRD THMRQIKIYT PVEESSIGKF PRCTTIDFMM YRSIR

     Réactivité croisée

    Humain, Souris, Rat

    Attributs du produit

    Polyclonal Antibodies

    Purification

    Affinity purification

    Immunogène

    Recombinant fusion protein containing a sequence corresponding to amino acids 1-185 of human ANAPC10 (NP_055700.2).

    Isotype

    IgG
  • Indications d'application

    WB,1:500 - 1:2000

    Commentaires

    HIGH QUALITY

    Restrictions

    For Research Use only
  • Format

    Liquid

    Buffer

    PBS with 0.02 % sodium azide,50 % glycerol, pH 7.3.

    Agent conservateur

    Sodium azide

    Précaution d'utilisation

    This product contains Sodium azide: a POISONOUS AND HAZARDOUS SUBSTANCE which should be handled by trained staff only.

    Stock

    -20 °C

    Stockage commentaire

    Store at -20°C. Avoid freeze / thaw cycles.
  • Antigène

    ANAPC10 (Anaphase Promoting Complex Subunit 10 (ANAPC10))

    Autre désignation

    ANAPC10

    Sujet

    ANAPC10 is a core subunit of the anaphase-promoting complex (APC), or cyclosome, a ubiquitin protein ligase that is essential for progression through the cell cycle. APC initiates sister chromatid separation by ubiquitinating the anaphase inhibitor securin (PTTG1, MIM 604147) and triggers exit from mitosis by ubiquitinating cyclin B (CCNB1, MIM 123836), the activating subunit of cyclin-dependent kinase-1 (CDK1, MIM 116940) (summary by Wendt et al., 2001 [PubMed 11524682]).[supplied by OMIM, Feb 2011],ANAPC10,APC10,DOC1,Cell Biology & Developmental Biology,Ubiquitin,Ubiquitin-Proteasome Signaling Pathway,ANAPC10

    Poids moléculaire

    21 kDa

    ID gène

    10393

    UniProt

    Q9UM13

    Pathways

    M Phase
Vous êtes ici:
Chat with us!