Tel:
+49 (0)241 95 163 153
Fax:
+49 (0)241 95 163 155
E-Mail:
orders@anticorps-enligne.fr

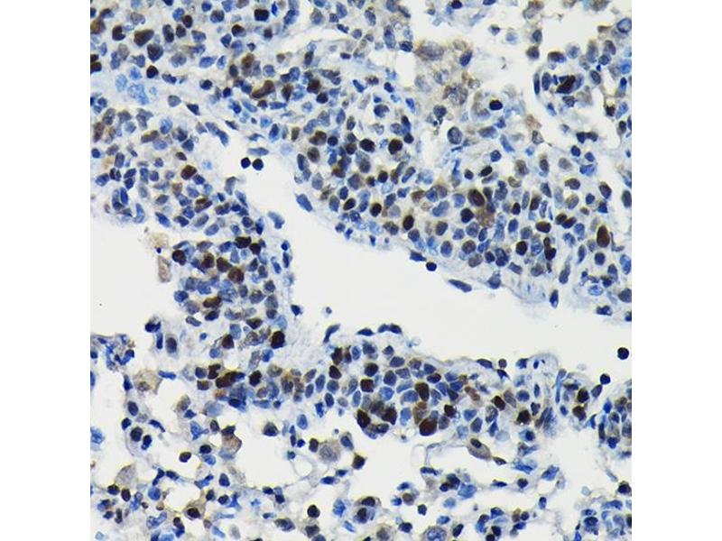
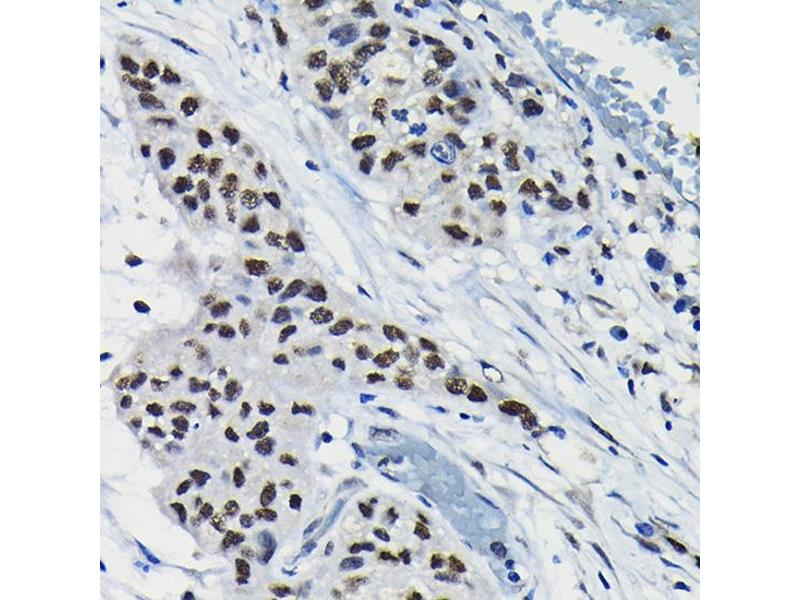
ARID3A anticorps (AA 324-593)

Cet anticorps Lapin Polyclonal détecte spécifiquement ARID3A dans WB, IHC et IP. Il présente une réactivité avec des échantillons de Humain.
N° du produit ABIN6137102
320,00 €
Plus frais de livraison 40,00 € et TVA
Destination: France
Envoi sous 8 à 10 jours ouvrables

Aperçu rapide pour ARID3A anticorps (AA 324-593) (ABIN6137102)

Antigène

Voir toutes ARID3A Anticorps
ARID3A (AT Rich Interactive Domain 3A (BRIGHT-Like) (ARID3A))

Reactivité

  • 47
  • 10
  • 8
  • 4
  • 4
  • 3
  • 2
  • 2
  • 2
  • 1
  • 1
  • 1
Humain

Hôte

  • 39
  • 8
Lapin

Clonalité

  • 42
  • 5
Polyclonal

Conjugué

  • 29
  • 3
  • 2
  • 2
  • 1
  • 1
  • 1
  • 1
  • 1
  • 1
  • 1
  • 1
  • 1
  • 1
  • 1
Cet anticorp ARID3A est non-conjugé

Application

  • 39
  • 16
  • 13
  • 13
  • 8
  • 7
  • 7
  • 5
  • 3
  • 3
  • 1
  • 1
  • 1
  • 1
Western Blotting (WB), Immunohistochemistry (IHC), Immunoprecipitation (IP)
  • Épitope

    • 15
    • 6
    • 3
    • 3
    • 2
    • 2
    • 1
    • 1
    • 1
    • 1
    • 1
    • 1
    • 1
    • 1
    AA 324-593

    Séquence

    PYECEKRGLS NPNELQAAID SNRREGRRQS FGGSLFAYSP GGAHGMLSSP KLPVSSLGLA ASTNGSSITP APKIKKEEDS AIPITVPGRL PVSLAGHPVV AAQAAAVQAA AAQAAVAAQA AALEQLREKL ESAEPPEKKM ALVADEQQRL MQRALQQNFL AMAAQLPMSI RINSQASESR QDSAVNLTGT NGSNSISMSV EINGIMYTGV LFAQPPAPTP TSAPNKGGGG GGGSSSNAGG RGGNTGTSGG QAGPAGLSTP STSTSNNSLP

     Réactivité croisée

    Humain, Souris, Rat

    Attributs du produit

    Polyclonal Antibodies

    Purification

    Affinity purification

    Immunogène

    Recombinant fusion protein containing a sequence corresponding to amino acids 324-593 of human ARID3A (NP_005215.1).

    Isotype

    IgG
  • Indications d'application

    WB,1:500 - 1:2000,IHC,1:50 - 1:200,IP,1:20 - 1:50

    Commentaires

    HIGH QUALITY

    Restrictions

    For Research Use only
  • Format

    Liquid

    Buffer

    PBS with 0.02 % sodium azide,50 % glycerol, pH 7.3.

    Agent conservateur

    Sodium azide

    Précaution d'utilisation

    This product contains Sodium azide: a POISONOUS AND HAZARDOUS SUBSTANCE which should be handled by trained staff only.

    Stock

    -20 °C

    Stockage commentaire

    Store at -20°C. Avoid freeze / thaw cycles.
  • Antigène

    ARID3A (AT Rich Interactive Domain 3A (BRIGHT-Like) (ARID3A))

    Autre désignation

    ARID3A

    Sujet

    This gene encodes a member of the ARID (AT-rich interaction domain) family of DNA binding proteins. It was found by homology to the Drosophila dead ringer gene, which is important for normal embryogenesis. Other ARID family members have roles in embryonic patterning, cell lineage gene regulation, cell cycle control, transcriptional regulation, and possibly in chromatin structure modification.,ARID3A,BRIGHT,DRIL1,DRIL3,E2FBP1,Epigenetics & Nuclear Signaling,ARID3A

    Poids moléculaire

    62 kDa

    ID gène

    1820

    UniProt

    Q99856

    Pathways

    Chromatin Binding
Vous êtes ici:
Chat with us!