×
Pour une meilleure utilisation, nous vous conseillons d’activer Javascript dans votre navigateur.
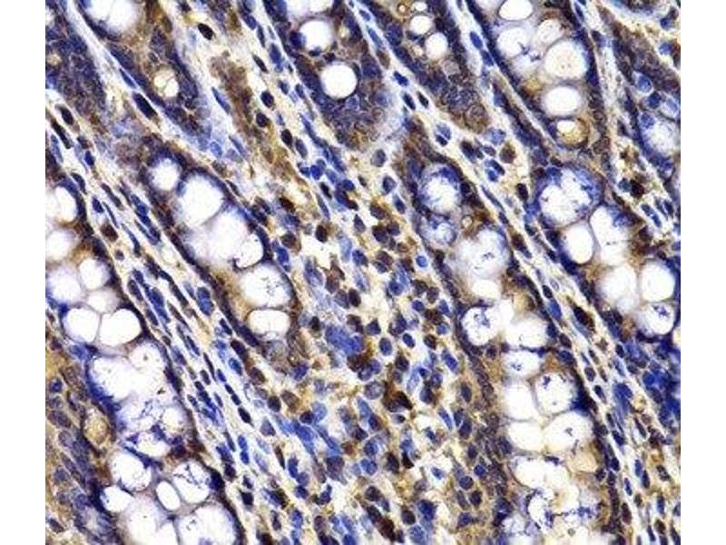
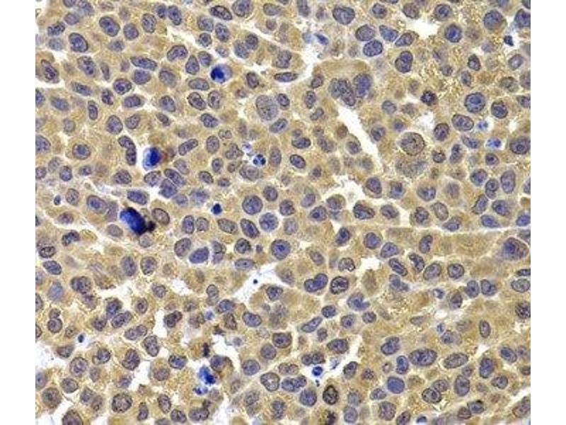
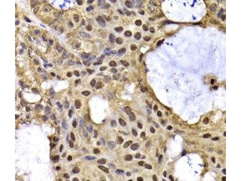
ARID3A anticorps
Cet anticorps anti-ARID3A Polyclonal Lapin (ABIN7263667) détecte spécifiquement ARID3A dans IHC.
L’anticorps est réactif avec des échantillons de Humain, Souris et Rat.
N° du produit ABIN7263667
696,00 €
Plus frais de livraison 40,00 € et TVA
60 μL ABIN7011908
120 μL ABIN7263666
200 μL ABIN7263667
60 μL ABIN7011908
120 μL ABIN7263666
200 μL ABIN7263667
Envoi sous 9 à 13 jours ouvrables
Aperçu rapide pour ARID3A anticorps (ABIN7263667)
Antigène
Voir toutes ARID3A Anticorps
ARID3A
(AT Rich Interactive Domain 3A (BRIGHT-Like) (ARID3A))
Reactivité
Toutes les réactivités sur ARID3A Anticorps
Humain, Souris, Rat
Hôte
Toutes les hôtes sur ARID3A Anticorps
Lapin
Clonalité
Toutes les clonalités sur ARID3A Anticorps
Polyclonal
Conjugué
Tous les conjugués à travers ARID3A Anticorps
Cet anticorp ARID3A est non-conjugé
Application
Tous les applications à travers ARID3A Anticorps.
Immunohistochemistry (IHC)
Détail du produit anti-ARID3A anticorps
(cache)
Attributs du produit
Polyclonal Antibody
Purification
Affinity purification
Immunogène
Recombinant fusion protein of human ARID3A (NP_005215.1).
Isotype
IgG
Alternatives
(show)
Information d'application
(cache)
Indications d'application
IHC 1:50-1:200
Restrictions
For Research Use only
Stockage
(cache)
Format
Liquid
Concentration
1 mg/mL
Buffer
PBS with 0.02 % sodium azide, 50 % glycerol, pH 7.3
Agent conservateur
Sodium azide
Précaution d'utilisation
This product contains Sodium azide: a POISONOUS AND HAZARDOUS SUBSTANCE which should be handled by trained staff only.
Stock
-20 °C
Stockage commentaire
Store at -20°C. Avoid freeze / thaw cycles.
Détails sur ARID3A
(cache)
Antigène
ARID3A
(AT Rich Interactive Domain 3A (BRIGHT-Like) (ARID3A))
Autre désignation
ARID3A
Sujet
This gene encodes a member of the ARID (AT-rich interaction domain) family of DNA binding proteins. It was found by homology to the Drosophila dead ringer gene, which is important for normal embryogenesis. Other ARID family members have roles in embryonic patterning, cell lineage gene regulation, cell cycle control, transcriptional regulation, and possibly in chromatin structure modification.
ID gène
1820
UniProt
Q99856
Pathways
Chromatin Binding
Vus récemment
(cache)
Chat with us , powered by LiveChat