Tel:
+49 (0)241 95 163 153
Fax:
+49 (0)241 95 163 155
E-Mail:
orders@anticorps-enligne.fr

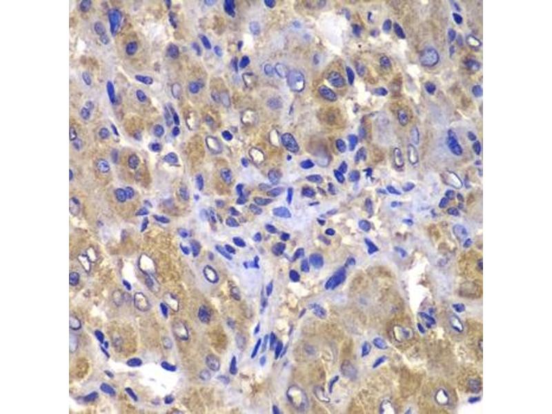
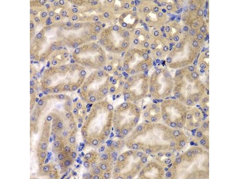
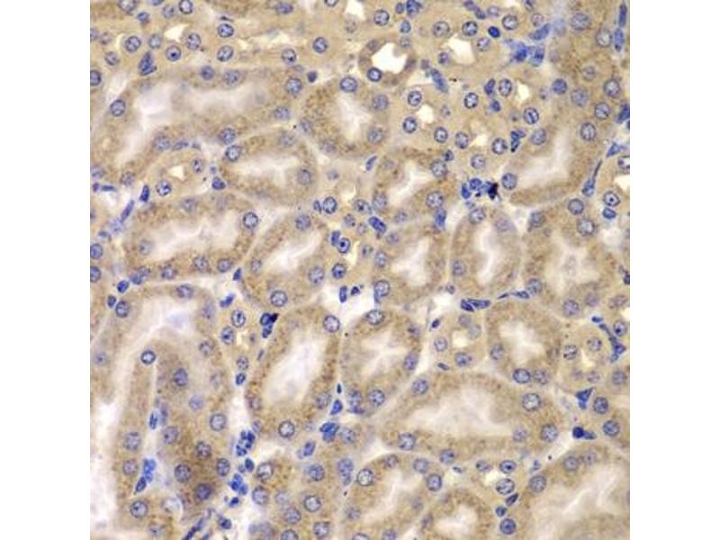
CARD10 anticorps (AA 863-1032)

L’anticorps anti-CARD10 Polyclonal Lapin est utilisé pour la détection de CARD10 dans des échantillons de Humain. Il a été validé pour WB, IHC et IF.
N° du produit ABIN6137937
320,00 €
Plus frais de livraison 40,00 € et TVA
Destination: France
Envoi sous 8 à 10 jours ouvrables

Aperçu rapide pour CARD10 anticorps (AA 863-1032) (ABIN6137937)

Antigène

Voir toutes CARD10 Anticorps
CARD10 (Caspase Recruitment Domain Family, Member 10 (CARD10))

Reactivité

  • 33
  • 9
  • 2
  • 2
  • 2
  • 2
  • 1
  • 1
  • 1
  • 1
Humain

Hôte

  • 33
  • 1
Lapin

Clonalité

  • 33
  • 1
Polyclonal

Conjugué

  • 22
  • 2
  • 1
  • 1
  • 1
  • 1
  • 1
  • 1
  • 1
  • 1
  • 1
  • 1
Cet anticorp CARD10 est non-conjugé

Application

  • 21
  • 17
  • 9
  • 8
  • 6
  • 3
  • 2
  • 1
  • 1
  • 1
Western Blotting (WB), Immunohistochemistry (IHC), Immunofluorescence (IF)
  • Épitope

    • 7
    • 3
    • 3
    • 2
    • 2
    • 2
    • 1
    • 1
    • 1
    • 1
    • 1
    • 1
    AA 863-1032

    Séquence

    LLDLPSSRLD FQVCPAESLS GEELCPSSAP GAPKAQPATP GLGSRIRAIQ ESVGKKHCLL ELGARGVREL VQNEIYPIVI HVEVTEKNVR EVRGLLGRPG WRDSELLRQC RGSEQVLWGL PCSWVQVPAH EWGHAEELAK VVRGRILQEQ ARLVWVECGS SRGCPSSSEA

     Réactivité croisée

    Humain, Souris, Rat

    Attributs du produit

    Polyclonal Antibodies

    Purification

    Affinity purification

    Immunogène

    Recombinant fusion protein containing a sequence corresponding to amino acids 863-1032 of human CARD10 (NP_055365.2).

    Isotype

    IgG
  • Indications d'application

    WB,1:500 - 1:2000,IHC,1:50 - 1:200,IF,1:50 - 1:200

    Restrictions

    For Research Use only
  • Format

    Liquid

    Buffer

    PBS with 0.02 % sodium azide,50 % glycerol, pH 7.3.

    Agent conservateur

    Sodium azide

    Précaution d'utilisation

    This product contains Sodium azide: a POISONOUS AND HAZARDOUS SUBSTANCE which should be handled by trained staff only.

    Stock

    -20 °C

    Stockage commentaire

    Store at -20°C. Avoid freeze / thaw cycles.
  • Antigène

    CARD10 (Caspase Recruitment Domain Family, Member 10 (CARD10))

    Autre désignation

    CARD10

    Sujet

    The caspase recruitment domain (CARD) is a protein module that consists of 6 or 7 antiparallel alpha helices. It participates in apoptosis signaling through highly specific protein-protein homophilic interactions. Like several other CARD proteins, CARD10 belongs to the membrane-associated guanylate kinase (MAGUK) family and activates NF-kappa-B (NFKB, see MIM 164011) through BCL10 (MIM 603517) (Wang et al., 2001 [PubMed 11259443]).[supplied by OMIM, Mar 2008],CARD10,BIMP1,CARMA3,Cell Biology & Developmental Biology,Apoptosis,Caspases,CARD10

    Poids moléculaire

    82 kDa/115 kDa

    ID gène

    29775

    UniProt

    Q9BWT7

    Pathways

    S100 Proteins
Vous êtes ici:
Chat with us!