Tel:
+49 (0)241 95 163 153
Fax:
+49 (0)241 95 163 155
E-Mail:
orders@anticorps-enligne.fr

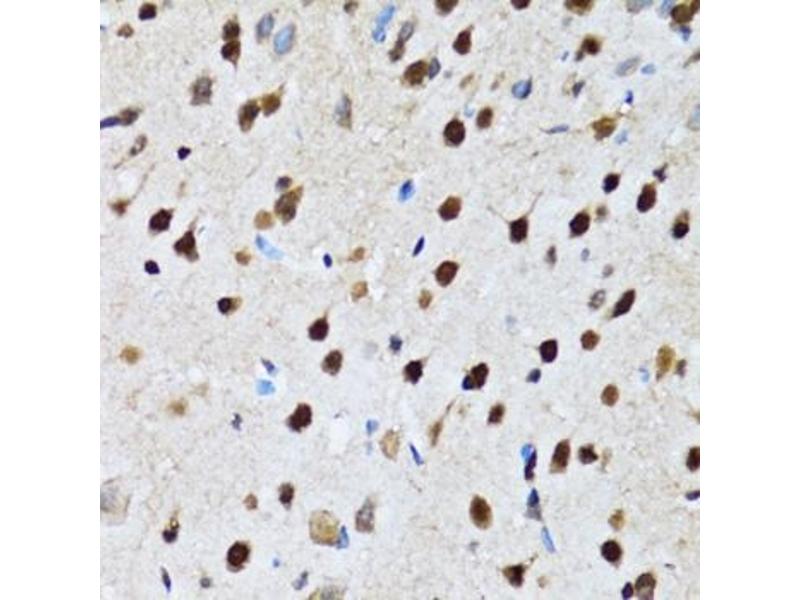
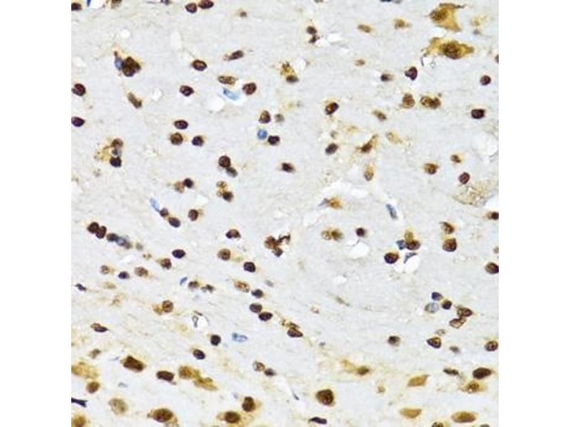
CCAR2 anticorps (AA 654-923)

Cet anticorps Lapin Polyclonal détecte spécifiquement CCAR2 dans WB et IHC. Il présente une réactivité avec des échantillons de Humain.
N° du produit ABIN6138034
320,00 €
Plus frais de livraison 40,00 € et TVA
Destination: France
Envoi sous 8 à 10 jours ouvrables

Aperçu rapide pour CCAR2 anticorps (AA 654-923) (ABIN6138034)

Antigène

Voir toutes CCAR2 Anticorps
CCAR2 (Cell Cycle and Apoptosis Regulator 2 (CCAR2))

Reactivité

  • 33
  • 8
  • 6
  • 4
  • 4
  • 3
  • 2
  • 2
  • 2
  • 1
Humain

Hôte

  • 18
  • 13
  • 2
Lapin

Clonalité

  • 21
  • 12
Polyclonal

Conjugué

  • 26
  • 1
  • 1
  • 1
  • 1
  • 1
  • 1
  • 1
Cet anticorp CCAR2 est non-conjugé

Application

  • 23
  • 13
  • 13
  • 9
  • 5
  • 5
  • 3
  • 1
  • 1
Western Blotting (WB), Immunohistochemistry (IHC)
  • Épitope

    • 4
    • 3
    • 1
    • 1
    • 1
    • 1
    • 1
    • 1
    • 1
    • 1
    • 1
    AA 654-923

    Séquence

    LLRDDGEEEF AGAKLEDSEV RSVASNQSEM EFSSLQDMPK ELDPSAVLPL DCLLAFVFFD ANWCGYLHRR DLERILLTLG IRLSAEQAKQ LVSRVVTQNI CQYRSLQYSR QEGLDGGLPE EVLFGNLDLL PPPGKSTKPG AAPTEHKALV SHNGSLINVG SLLQRAEQQD SGRLYLENKI HTLELKLEES HNRFSATEVT NKTLAAEMQE LRVRLAEAEE TARTAERQKS QLQRLLQELR RRLTPLQLEI QRVVEKADSW VEKEEPAPSN

     Réactivité croisée

    Humain, Souris, Rat

    Attributs du produit

    Polyclonal Antibodies

    Purification

    Affinity purification

    Immunogène

    Recombinant fusion protein containing a sequence corresponding to amino acids 654-923 of human CCAR2 (NP_066997.3).

    Isotype

    IgG
  • Indications d'application

    WB,1:500 - 1:2000,IHC,1:50 - 1:200

    Restrictions

    For Research Use only
  • Format

    Liquid

    Buffer

    PBS with 0.02 % sodium azide,50 % glycerol, pH 7.3.

    Agent conservateur

    Sodium azide

    Précaution d'utilisation

    This product contains Sodium azide: a POISONOUS AND HAZARDOUS SUBSTANCE which should be handled by trained staff only.

    Stock

    -20 °C

    Stockage commentaire

    Store at -20°C. Avoid freeze / thaw cycles.
  • Antigène

    CCAR2 (Cell Cycle and Apoptosis Regulator 2 (CCAR2))

    Autre désignation

    CCAR2

    Sujet

    CCAR2,DBC-1,DBC1,KIAA1967,NET35,p30 DBC,p30DBC,Epigenetics & Nuclear Signaling,RNA Binding,Cancer,Tumor suppressors,p53 pathway,Cell Biology & Developmental Biology,Apoptosis,CCAR2

    Poids moléculaire

    102 kDa/103 kDa

    ID gène

    57805

    UniProt

    Q8N163
Vous êtes ici:
Chat with us!