Tel:
+49 (0)241 95 163 153
Fax:
+49 (0)241 95 163 155
E-Mail:
orders@anticorps-enligne.fr

Cyclin G1 anticorps (C-Term)

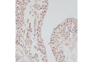
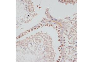
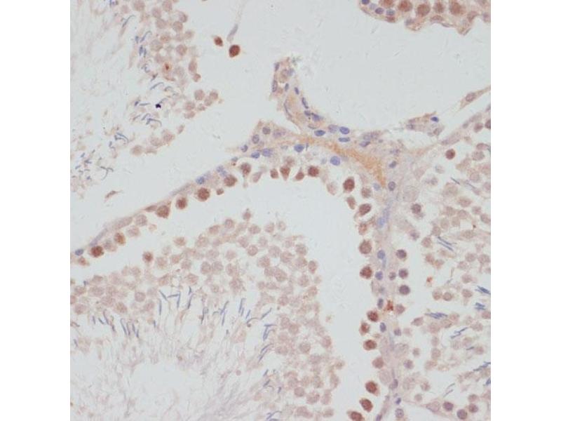
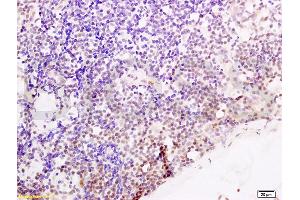
Cet anticorps Lapin Polyclonal détecte spécifiquement Cyclin G1 dans WB et IHC. Il présente une réactivité avec des échantillons de Humain.
N° du produit ABIN6138095
320,00 €
Plus frais de livraison 40,00 € et TVA
Destination: France
Envoi sous 8 à 10 jours ouvrables

Aperçu rapide pour Cyclin G1 anticorps (C-Term) (ABIN6138095)

Antigène

Voir toutes Cyclin G1 (CCNG1) Anticorps
Cyclin G1 (CCNG1)

Reactivité

  • 51
  • 32
  • 13
  • 3
  • 2
  • 2
  • 1
  • 1
  • 1
  • 1
Humain

Hôte

  • 49
  • 4
Lapin

Clonalité

  • 52
  • 1
Polyclonal

Conjugué

  • 21
  • 3
  • 2
  • 2
  • 2
  • 2
  • 2
  • 2
  • 2
  • 2
  • 1
  • 1
  • 1
  • 1
  • 1
  • 1
  • 1
  • 1
  • 1
  • 1
  • 1
  • 1
  • 1
Cet anticorp Cyclin G1 est non-conjugé

Application

  • 39
  • 16
  • 13
  • 13
  • 13
  • 5
  • 3
  • 3
  • 3
  • 2
  • 1
Western Blotting (WB), Immunohistochemistry (IHC)
  • Épitope

    • 15
    • 9
    • 6
    • 3
    • 2
    • 2
    • 2
    • 2
    • 1
    • 1
    • 1
    • 1
    C-Term

    Séquence

    PSVLALSIIA LEIQAQKCVE LTEGIECLQK HSKINGRDLT FWQELVSKCL TEYSSNKCSK PNVQKLKWIV SGRTARQLKH SYYRITHLPT IPEMVP

     Réactivité croisée

    Humain, Souris, Rat

    Attributs du produit

    Polyclonal Antibodies

    Purification

    Affinity purification

    Immunogène

    A synthetic peptide corresponding to a sequence within amino acids 200 to the C-terminus of human Cyclin G1 (NP_004051.1).

    Isotype

    IgG
  • Indications d'application

    WB,1:500 - 1:1000,IHC,1:50 - 1:200

    Restrictions

    For Research Use only
  • Format

    Liquid

    Buffer

    PBS with 0.02 % sodium azide,50 % glycerol, pH 7.3.

    Agent conservateur

    Sodium azide

    Précaution d'utilisation

    This product contains Sodium azide: a POISONOUS AND HAZARDOUS SUBSTANCE which should be handled by trained staff only.

    Stock

    -20 °C

    Stockage commentaire

    Store at -20°C. Avoid freeze / thaw cycles.
  • Antigène

    Cyclin G1 (CCNG1)

    Autre désignation

    CCNG1

    Sujet

    The eukaryotic cell cycle is governed by cyclin-dependent protein kinases (CDKs) whose activities are regulated by cyclins and CDK inhibitors. The protein encoded by this gene is a member of the cyclin family and contains the cyclin box. The encoded protein lacks the protein destabilizing (PEST) sequence that is present in other family members. Transcriptional activation of this gene can be induced by tumor protein p53. Two transcript variants encoding the same protein have been identified for this gene.,CCNG1,CCNG,cyclin-G1,Epigenetics & Nuclear Signaling,Cell Biology & Developmental Biology,Cell Cycle,Cyclins,CCNG1

    Poids moléculaire

    18 kDa/34 kDa

    ID gène

    900

    UniProt

    P51959

    Pathways

    Signalisation p53
Vous êtes ici:
Chat with us!