Tel:
+49 (0)241 95 163 153
Fax:
+49 (0)241 95 163 155
E-Mail:
orders@anticorps-enligne.fr

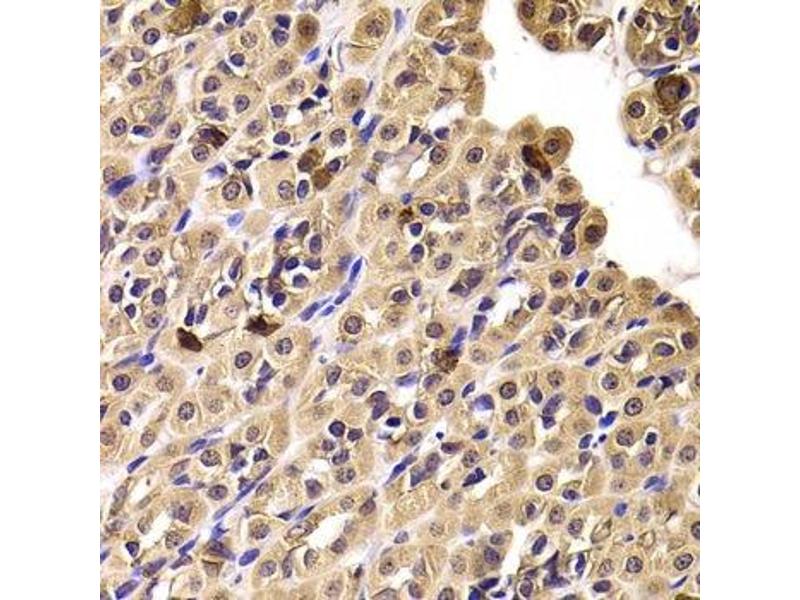
CCT4 anticorps (AA 130-390)

L’anticorps anti-CCT4 Polyclonal Lapin est utilisé pour la détection de CCT4 dans des échantillons de Humain. Il a été validé pour WB et IF.
N° du produit ABIN6138108
320,00 €
Plus frais de livraison 40,00 € et TVA
Destination: France
Envoi sous 8 à 10 jours ouvrables

Aperçu rapide pour CCT4 anticorps (AA 130-390) (ABIN6138108)

Antigène

Voir toutes CCT4 Anticorps
CCT4 (Chaperonin Containing TCP1, Subunit 4 (Delta) (CCT4))

Reactivité

  • 38
  • 14
  • 12
  • 2
  • 1
  • 1
  • 1
  • 1
  • 1
  • 1
  • 1
  • 1
  • 1
  • 1
Humain

Hôte

  • 38
  • 1
Lapin

Clonalité

  • 38
  • 1
Polyclonal

Conjugué

  • 20
  • 3
  • 2
  • 2
  • 2
  • 2
  • 2
  • 2
  • 1
  • 1
  • 1
  • 1
Cet anticorp CCT4 est non-conjugé

Application

  • 24
  • 13
  • 10
  • 4
  • 3
  • 2
  • 1
  • 1
  • 1
  • 1
Western Blotting (WB), Immunofluorescence (IF)
  • Épitope

    • 8
    • 4
    • 2
    • 1
    • 1
    • 1
    • 1
    • 1
    • 1
    • 1
    • 1
    AA 130-390

    Séquence

    PTIISESFQK ALEKGIEILT DMSRPVELSD RETLLNSATT SLNSKVVSQY SSLLSPMSVN AVMKVIDPAT ATSVDLRDIK IVKKLGGTID DCELVEGLVL TQKVSNSGIT RVEKAKIGLI QFCLSAPKTD MDNQIVVSDY AQMDRVLREE RAYILNLVKQ IKKTGCNVLL IQKSILRDAL SDLALHFLNK MKIMVIKDIE REDIEFICKT IGTKPVAHID QFTADMLGSA ELAEEVNLNG SGKLLKITGC ASPGKTVTIV V

     Réactivité croisée

    Humain, Souris, Rat

    Attributs du produit

    Polyclonal Antibodies

    Purification

    Affinity purification

    Immunogène

    Recombinant fusion protein containing a sequence corresponding to amino acids 130-390 of human CCT4 (NP_006421.2).

    Isotype

    IgG
  • Indications d'application

    WB,1:500 - 1:2000,IF,1:50 - 1:200

    Commentaires

    HIGH QUALITY

    Restrictions

    For Research Use only
  • Format

    Liquid

    Buffer

    PBS with 0.02 % sodium azide,50 % glycerol, pH 7.3.

    Agent conservateur

    Sodium azide

    Précaution d'utilisation

    This product contains Sodium azide: a POISONOUS AND HAZARDOUS SUBSTANCE which should be handled by trained staff only.

    Stock

    -20 °C

    Stockage commentaire

    Store at -20°C. Avoid freeze / thaw cycles.
  • Antigène

    CCT4 (Chaperonin Containing TCP1, Subunit 4 (Delta) (CCT4))

    Autre désignation

    CCT4

    Sujet

    The chaperonin containing TCP1 (MIM 186980) complex (CCT), also called the TCP1 ring complex, consists of 2 back-to-back rings, each containing 8 unique but homologous subunits, such as CCT4. CCT assists the folding of newly translated polypeptide substrates through multiple rounds of ATP-driven release and rebinding of partially folded intermediate forms. Substrates of CCT include the cytoskeletal proteins actin (see MIM 102560) and tubulin (see MIM 191130), as well as alpha-transducin (MIM 139330) (Won et al., 1998 [PubMed 9819444]).[supplied by OMIM, Mar 2008],CCT4,CCT-DELTA,Cctd,SRB,Epigenetics & Nuclear Signaling,RNA Binding,Signal Transduction,CCT4

    Poids moléculaire

    54 kDa/57 kDa

    ID gène

    10575

    UniProt

    P50991

    Pathways

    Embryonic Body Morphogenesis
Vous êtes ici:
Chat with us!