Tel:
+49 (0)241 95 163 153
Fax:
+49 (0)241 95 163 155
E-Mail:
orders@anticorps-enligne.fr

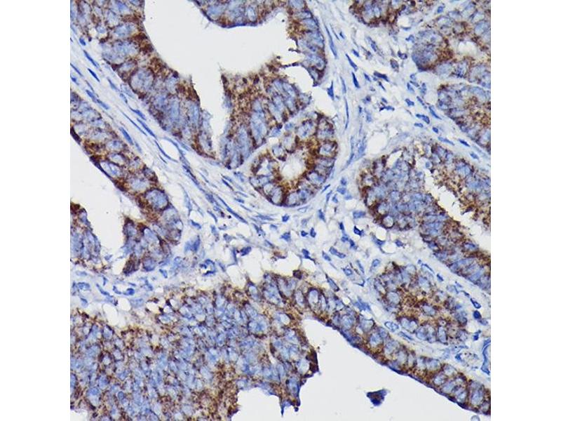
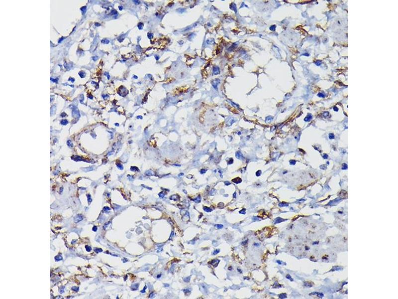
Clusterin anticorps (AA 23-120)

Cet anticorps Lapin Polyclonal détecte spécifiquement Clusterin dans WB et IHC. Il présente une réactivité avec des échantillons de Humain.
N° du produit ABIN6138756
320,00 €
Plus frais de livraison 40,00 € et TVA
Destination: France
Envoi sous 8 à 10 jours ouvrables

Aperçu rapide pour Clusterin anticorps (AA 23-120) (ABIN6138756)

Antigène

Voir toutes Clusterin (CLU) Anticorps
Clusterin (CLU)

Reactivité

  • 105
  • 51
  • 50
  • 21
  • 10
  • 7
  • 2
  • 2
  • 2
  • 1
Humain

Hôte

  • 126
  • 42
  • 10
  • 5
  • 4
  • 2
  • 1
Lapin

Clonalité

  • 105
  • 80
  • 2
Polyclonal

Conjugué

  • 102
  • 29
  • 16
  • 5
  • 4
  • 4
  • 4
  • 4
  • 4
  • 4
  • 3
  • 3
  • 3
  • 2
  • 1
Cet anticorp Clusterin est non-conjugé

Application

  • 156
  • 100
  • 54
  • 43
  • 36
  • 24
  • 21
  • 15
  • 8
  • 6
  • 5
  • 3
  • 3
  • 2
  • 1
  • 1
  • 1
  • 1
  • 1
  • 1
  • 1
Western Blotting (WB), Immunohistochemistry (IHC)
  • Épitope

    • 10
    • 10
    • 9
    • 8
    • 7
    • 6
    • 6
    • 5
    • 5
    • 4
    • 3
    • 3
    • 3
    • 3
    • 3
    • 3
    • 2
    • 2
    • 2
    • 1
    • 1
    • 1
    • 1
    • 1
    • 1
    • 1
    • 1
    • 1
    • 1
    • 1
    • 1
    • 1
    • 1
    • 1
    • 1
    AA 23-120

    Séquence

    DQTVSDNELQ EMSNQGSKYV NKEIQNAVNG VKQIKTLIEK TNEERKTLLS NLEEAKKKKE DALNETRESE TKLKELPGVC NETMMALWEE CKPCLKQT

     Réactivité croisée

    Humain, Souris, Rat

    Attributs du produit

    Polyclonal Antibodies

    Purification

    Affinity purification

    Immunogène

    Recombinant fusion protein containing a sequence corresponding to amino acids 23-120 of human Clusterin alpha chain (NP_001822.3).

    Isotype

    IgG
  • Indications d'application

    WB,1:500 - 1:2000,IHC,1:50 - 1:200

    Restrictions

    For Research Use only
  • Format

    Liquid

    Buffer

    PBS with 0.02 % sodium azide,50 % glycerol, pH 7.3.

    Agent conservateur

    Sodium azide

    Précaution d'utilisation

    This product contains Sodium azide: a POISONOUS AND HAZARDOUS SUBSTANCE which should be handled by trained staff only.

    Stock

    -20 °C

    Stockage commentaire

    Store at -20°C. Avoid freeze / thaw cycles.
  • Antigène

    Clusterin (CLU)

    Autre désignation

    CLU

    Sujet

    The protein encoded by this gene is a secreted chaperone that can under some stress conditions also be found in the cell cytosol. It has been suggested to be involved in several basic biological events such as cell death, tumor progression, and neurodegenerative disorders. Alternate splicing results in both coding and non-coding variants.,CLU,AAG4,APO-J,APOJ,CLI,CLU1,CLU2,KUB1,NA1/NA2,SGP-2,SGP2,SP-40,TRPM-2,TRPM2,clusterin,Cancer,Tumor biomarkers,Signal Transduction,Cell Biology & Developmental Biology,Apoptosis,Endocrine & Metabolism,Lipid Metabolism,Immunology & Inflammation,Cell Intrinsic Innate Immunity Signaling Pathway,Cardiovascular,Lipids,Lipoproteins/Apolipoproteins,CLU

    Poids moléculaire

    32 kDa/48 kDa/52 kDa/53 kDa/57 kDa

    ID gène

    1191

    UniProt

    P10909

    Pathways

    Apoptose, Negative Regulation of intrinsic apoptotic Signaling
Vous êtes ici:
Chat with us!