Tel:
+49 (0)241 95 163 153
Fax:
+49 (0)241 95 163 155
E-Mail:
orders@anticorps-enligne.fr

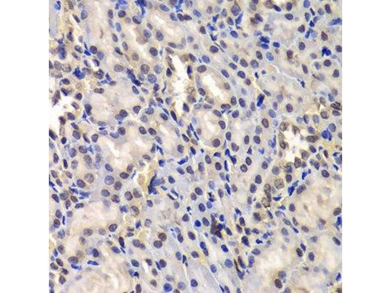
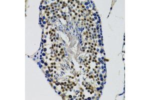
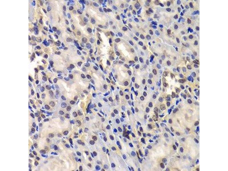
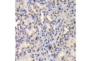
DDX41 anticorps (AA 1-300)

Cet anticorps Lapin Polyclonal détecte spécifiquement DDX41 dans WB, IF, IHC et IP. Il présente une réactivité avec des échantillons de Humain.
N° du produit ABIN6139498
320,00 €
Plus frais de livraison 40,00 € et TVA
Destination: France
Envoi sous 8 à 10 jours ouvrables

Aperçu rapide pour DDX41 anticorps (AA 1-300) (ABIN6139498)

Antigène

Voir toutes DDX41 Anticorps
DDX41 (DEAD (Asp-Glu-Ala-Asp) Box Polypeptide 41 (DDX41))

Reactivité

  • 35
  • 19
  • 17
  • 7
  • 5
  • 5
  • 5
  • 4
  • 4
  • 2
  • 2
  • 2
  • 1
  • 1
Humain

Hôte

  • 30
  • 5
Lapin

Clonalité

  • 30
  • 5
Polyclonal

Conjugué

  • 23
  • 2
  • 1
  • 1
  • 1
  • 1
  • 1
  • 1
  • 1
  • 1
  • 1
  • 1
Cet anticorp DDX41 est non-conjugé

Application

  • 28
  • 11
  • 8
  • 4
  • 2
  • 2
  • 2
Western Blotting (WB), Immunofluorescence (IF), Immunohistochemistry (IHC), Immunoprecipitation (IP)
  • Épitope

    • 8
    • 3
    • 3
    • 2
    • 1
    • 1
    • 1
    • 1
    • 1
    • 1
    • 1
    AA 1-300

    Séquence

    MEESEPERKR ARTDEVPAGG SRSEAEDEDD EDYVPYVPLR QRRQLLLQKL LQRRRKGAAE EEQQDSGSEP RGDEDDIPLG PQSNVSLLDQ HQHLKEKAEA RKESAKEKQL KEEEKILESV AEGRALMSVK EMAKGITYDD PIKTSWTPPR YVLSMSEERH ERVRKKYHIL VEGDGIPPPI KSFKEMKFPA AILRGLKKKG IHHPTPIQIQ GIPTILSGRD MIGIAFTGSG KTLVFTLPVI MFCLEQEKRL PFSKREGPYG LIICPSRELA RQTHGILEYY CRLLQEDSSP LLRCALCIGG

     Réactivité croisée

    Humain, Souris, Rat

    Attributs du produit

    Polyclonal Antibodies

    Purification

    Affinity purification

    Immunogène

    Recombinant fusion protein containing a sequence corresponding to amino acids 1-300 of human DDX41 (NP_057306.2).

    Isotype

    IgG
  • Indications d'application

    WB,1:500 - 1:2000,IHC,1:50 - 1:200,IF,1:50 - 1:100,IP,1:50 - 1:200

    Commentaires

    HIGH QUALITY

    Restrictions

    For Research Use only
  • Format

    Liquid

    Buffer

    PBS with 0.02 % sodium azide,50 % glycerol, pH 7.3.

    Agent conservateur

    Sodium azide

    Précaution d'utilisation

    This product contains Sodium azide: a POISONOUS AND HAZARDOUS SUBSTANCE which should be handled by trained staff only.

    Stock

    -20 °C

    Stockage commentaire

    Store at -20°C. Avoid freeze / thaw cycles.
  • Antigène

    DDX41 (DEAD (Asp-Glu-Ala-Asp) Box Polypeptide 41 (DDX41))

    Autre désignation

    DDX41

    Sujet

    DEAD box proteins, characterized by the conserved motif Asp-Glu-Ala-Asp (DEAD), are putative RNA helicases. They are implicated in a number of cellular processes involving alteration of RNA secondary structure, such as translation initiation, nuclear and mitochondrial splicing, and ribosome and spliceosome assembly. Based on their distribution patterns, some members of the DEAD box protein family are believed to be involved in embryogenesis, spermatogenesis, and cellular growth and division. The protein encoded by this gene is a member of the DEAD box protein family and interacts with several spliceosomal proteins. In addition, the encoded protein may recognize the bacterial second messengers cyclic di-GMP and cyclic di-AMP, resulting in the induction of genes involved in the innate immune response.,DDX41,ABS,MPLPF,Epigenetics & Nuclear Signaling,RNA Binding,Cell Biology & Developmental Biology,Apoptosis,DDX41

    Poids moléculaire

    69 kDa

    ID gène

    51428

    UniProt

    Q9UJV9
Vous êtes ici:
Chat with us!