Tel:
+49 (0)241 95 163 153
Fax:
+49 (0)241 95 163 155
E-Mail:
orders@anticorps-enligne.fr

Desmoplakin anticorps (AA 1-100)

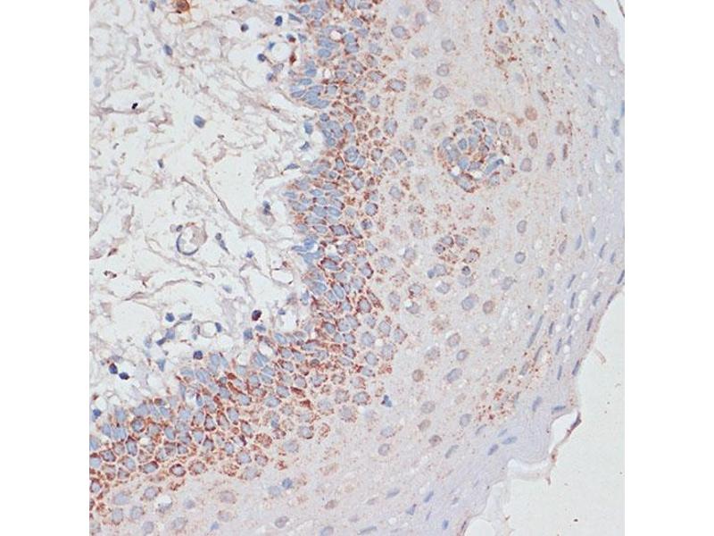
Cet anticorps anti-Desmoplakin Polyclonal Lapin (ABIN6139838) détecte spécifiquement Desmoplakin dans IHC et WB. L’anticorps est réactif avec des échantillons de Humain.
N° du produit ABIN6139838
416,00 €
Plus frais de livraison 40,00 € et TVA
Destination: France
Envoi sous 8 à 10 jours ouvrables

Aperçu rapide pour Desmoplakin anticorps (AA 1-100) (ABIN6139838)

Antigène

Voir toutes Desmoplakin (DSP) Anticorps
Desmoplakin (DSP)

Reactivité

  • 45
  • 15
  • 15
  • 2
  • 2
  • 1
  • 1
  • 1
  • 1
  • 1
  • 1
  • 1
  • 1
  • 1
  • 1
Humain

Hôte

  • 39
  • 4
  • 2
  • 1
Lapin

Clonalité

  • 31
  • 15
Polyclonal

Conjugué

  • 26
  • 3
  • 2
  • 2
  • 2
  • 2
  • 2
  • 2
  • 2
  • 1
  • 1
  • 1
Cet anticorp Desmoplakin est non-conjugé

Application

  • 27
  • 15
  • 15
  • 12
  • 11
  • 6
  • 4
  • 3
  • 2
  • 1
  • 1
Immunohistochemistry (IHC), Western Blotting (WB)
  • Épitope

    • 5
    • 2
    • 2
    • 2
    • 1
    • 1
    • 1
    • 1
    • 1
    • 1
    • 1
    • 1
    AA 1-100

    Séquence

    MSCNGGSHPR INTLGRMIRA ESGPDLRYEV TSGGGGTSRM YYSRRGVITD QNSDGYCQTG TMSRHQNQNT IQELLQNCSD CLMRAELIVQ PELKYGDGIQ

     Réactivité croisée

    Humain, Souris, Rat

    Attributs du produit

    Polyclonal Antibodies

    Purification

    Affinity purification

    Immunogène

    A synthetic peptide corresponding to a sequence within amino acids 1-100 of human Desmoplakin (NP_004406.2).

    Isotype

    IgG
  • Indications d'application

    WB,1:500 - 1:2000,IHC,1:50 - 1:200

    Restrictions

    For Research Use only
  • Format

    Liquid

    Buffer

    PBS with 0.02 % sodium azide,50 % glycerol, pH 7.3.

    Agent conservateur

    Sodium azide

    Précaution d'utilisation

    This product contains Sodium azide: a POISONOUS AND HAZARDOUS SUBSTANCE which should be handled by trained staff only.

    Stock

    -20 °C

    Stockage commentaire

    Store at -20°C. Avoid freeze / thaw cycles.
  • Antigène

    Desmoplakin (DSP)

    Autre désignation

    DSP

    Sujet

    This gene encodes a protein that anchors intermediate filaments to desmosomal plaques and forms an obligate component of functional desmosomes. Mutations in this gene are the cause of several cardiomyopathies and keratodermas, including skin fragility-woolly hair syndrome. Alternative splicing results in multiple transcript variants.,DCWHKTA,DP,DSP,Epigenetics & Nuclear Signaling,RNA Binding,Signal Transduction,Cell Biology & Developmental Biology,Cytoskeleton,Extracellular Matrix,DSP

    Poids moléculaire

    260 kDa/278 kDa/331 kDa

    ID gène

    1832

    UniProt

    P15924

    Pathways

    Cell-Cell Junction Organization
Vous êtes ici:
Chat with us!