Tel:
+49 (0)241 95 163 153
Fax:
+49 (0)241 95 163 155
E-Mail:
orders@anticorps-enligne.fr

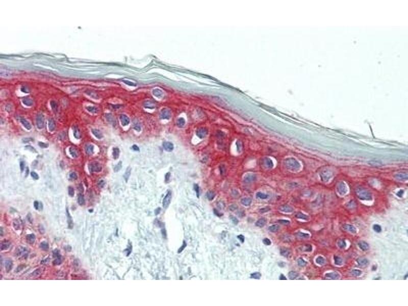
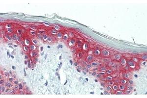
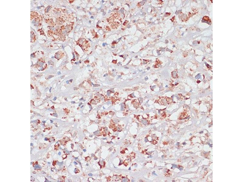
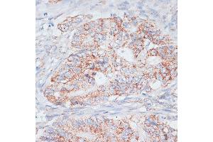
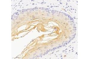
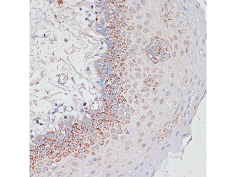
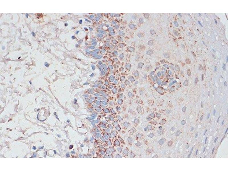
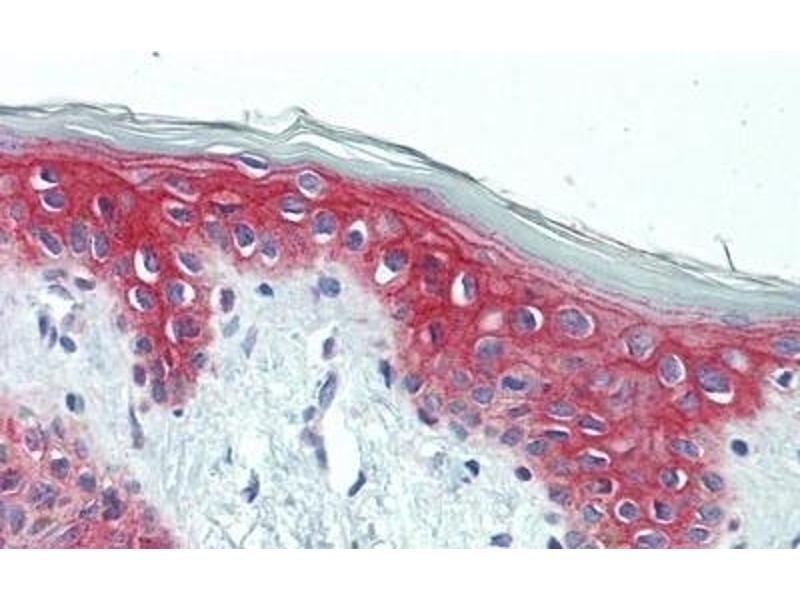
Desmoplakin Anticorps

(Desmoplakin (DSP))

Choisissez l’un des 47 anticorps Desmoplakin de notre liste de produits basés sur 35 images de validation.

Découvrez des anticorps Desmoplakin fiables issus d’une large sélection de fabricants renommés. Notre portefeuille permet une détection précise de Desmoplakin dans plusieurs espèces, y compris Human, Mouse, Rat, Chicken, Cow, Amphibian, Aureococcus anophagefferens, Diatom (Fragilariopsis), Diatom (Skeletonema), Dog, Emiliania huxleyi, Guinea Pig, Horse, Phaeodactylum tricornutum, Thalassiosira pseudonana, et prend en charge diverses applications de recherche telles que WB, ICC, IF, ELISA, IHC.

Trouvez rapidement l’anticorps adapté grâce à nos outils de recherche, de filtrage et de comparaison. Chaque page produit fournit des données de validation détaillées, des références bibliographiques et des retours d’utilisateurs. Contrairement aux ressources dédiées uniquement à la comparaison, vous pouvez acheter directement les anticorps sur notre site. Choisissez parmi des anticorps polyclonaux, monoclonaux ou recombinants Desmoplakin, issus de différents hôtes tels que Rabbit, Mouse, Goat. Parcourez nos produits ci-dessous et commandez directement pour soutenir vos recherches en toute confiance.

Les noms alternatifs de Desmoplakin sont DSP, PhopGV104, ORF-59 desmoplakin, desmop, Dsp, dsp, desmoplakin, dspa, orf112 desmoplakin, ClgVgp102, COGV_gp091, APNV_p087, CBNV_gp066, EONV_gp057, OLNV_gp066, AgipMNPV_gp105, HaMNV_gp106, EupsNPV_gp065, PsunGV_gp139, dsp.L, ClanGV_gp096.

47 Résultats

DSP Reactivité: Humain IHC, WB, ICC, IP Hôte: Lapin Polyclonal unconjugated
N° du produit ABIN7434746
310,62 €
Plus frais de livraison 40,00 € et TVA
100 μL (Autres quantités disponibles)
Destination: France
Envoi sous 11 à 15 jours ouvrables
 
DSP Reactivité: Humain, Souris, Rat IHC, IF Hôte: Lapin Polyclonal unconjugated
N° du produit ABIN7073719
592,31 €
Plus frais de livraison 40,00 € et TVA
100 μL
Destination: France
Envoi sous 13 à 20 jours ouvrables
 
KD Validated DSP Reactivité: Humain WB, ICC, FACS Hôte: Lapin Monoclonal 23GB5220 unconjugated Recombinant Antibody
N° du produit ABIN7798318
598,92 €
Plus frais de livraison 40,00 € et TVA
100 μL
Destination: France
Envoi sous 7 à 10 jours ouvrables
 
DSP Reactivité: Humain, Souris, Rat IHC Hôte: Lapin Polyclonal unconjugated
N° du produit ABIN7263625
580,00 €
Plus frais de livraison 40,00 € et TVA
200 μL (Autres quantités disponibles)
Destination: France
Envoi sous 9 à 13 jours ouvrables
 
DSP Reactivité: Humain IHC, WB Hôte: Lapin Polyclonal unconjugated
N° du produit ABIN6139838
320,00 €
Plus frais de livraison 40,00 € et TVA
100 μL (Autres quantités disponibles)
Destination: France
Envoi sous 8 à 10 jours ouvrables
 
DSP Reactivité: Humain, Souris IHC, ELISA Hôte: Lapin Polyclonal unconjugated
N° du produit ABIN7237973
449,00 €
Plus frais de livraison 40,00 € et TVA
200 μL (Autres quantités disponibles)
Destination: France
Envoi sous 9 à 13 jours ouvrables
 
Verified DSP Reactivité: Humain IHC, ELISA Hôte: Chèvre Polyclonal unconjugated
N° du produit ABIN570871
488,25 €
Plus frais de livraison 40,00 € et TVA
100 μg
Destination: France
Envoi sous 5 à 8 jours ouvrables
 
DSP Reactivité: Humain WB Hôte: Lapin Polyclonal unconjugated
N° du produit ABIN6139837
320,00 €
Plus frais de livraison 40,00 € et TVA
100 μL (Autres quantités disponibles)
Destination: France
Envoi sous 8 à 10 jours ouvrables
 
DSP Reactivité: Humain, Souris IHC, WB, ELISA Hôte: Lapin Polyclonal unconjugated
N° du produit ABIN6261374
525,71 €
Plus frais de livraison 40,00 € et TVA
100 μL (Autres quantités disponibles)
Destination: France
Envoi sous 9 à 11 jours ouvrables
 
DSP Reactivité: Humain WB, ELISA, FACS Hôte: Lapin Polyclonal unconjugated
N° du produit ABIN7602296
500,50 €
Plus frais de livraison 40,00 € et TVA
100 μg
Destination: France
Envoi sous 8 à 12 jours ouvrables
 
DSP Reactivité: Humain IHC, WB, ICC, IP Hôte: Souris Monoclonal C1 unconjugated
N° du produit ABIN7637942
330,65 €
Plus frais de livraison 40,00 € et TVA
100 μL (Autres quantités disponibles)
Destination: France
Envoi sous 11 à 15 jours ouvrables
 
DSP Reactivité: Humain WB, IF, IHC (fro), IHC (p) Hôte: Cobaye Polyclonal unconjugated
N° du produit ABIN285746
1.415,76 €
Plus frais de livraison 40,00 € et TVA
50 μL
Destination: France
Envoi sous 13 à 17 jours ouvrables
 
Recent DSP Reactivité: Humain ELISA Hôte: Chèvre Polyclonal unconjugated
N° du produit ABIN570872
276,02 €
Plus frais de livraison 40,00 € et TVA
100 μg
Destination: France
Envoi sous 5 à 8 jours ouvrables
 
DSP Reactivité: Humain Hôte: Lapin Polyclonal FITC
N° du produit ABIN7149793
328,90 €
Plus frais de livraison 40,00 € et TVA
100 μg (Autres quantités disponibles)
Destination: France
Envoi sous 11 à 15 jours ouvrables
 
DSP Reactivité: Humain ELISA Hôte: Lapin Polyclonal Biotin
N° du produit ABIN7149792
328,90 €
Plus frais de livraison 40,00 € et TVA
100 μg (Autres quantités disponibles)
Destination: France
Envoi sous 11 à 15 jours ouvrables
 
DSP Reactivité: Humain ELISA Hôte: Lapin Polyclonal unconjugated
N° du produit ABIN7149791
328,90 €
Plus frais de livraison 40,00 € et TVA
100 μg (Autres quantités disponibles)
Destination: France
Envoi sous 11 à 15 jours ouvrables
 
DSP Reactivité: Humain ELISA Hôte: Lapin Polyclonal HRP
N° du produit ABIN7149794
328,90 €
Plus frais de livraison 40,00 € et TVA
100 μg (Autres quantités disponibles)
Destination: France
Envoi sous 11 à 15 jours ouvrables
 
DSP Reactivité: Humain WB, IP Hôte: Lapin Polyclonal unconjugated
N° du produit ABIN7450166
576,62 €
Plus frais de livraison 40,00 € et TVA
100 μg (Autres quantités disponibles)
Destination: France
Envoi sous 7 à 10 jours ouvrables
 
DSP Reactivité: Humain IP, IHC (fp) Hôte: Lapin Polyclonal unconjugated
N° du produit ABIN7454486
576,62 €
Plus frais de livraison 40,00 € et TVA
100 μg (Autres quantités disponibles)
Destination: France
Envoi sous 7 à 10 jours ouvrables
 
DSP Reactivité: Humain, Cobaye, Cheval WB, IP Hôte: Lapin Polyclonal unconjugated
N° du produit ABIN1978570
946,27 €
Plus frais de livraison 40,00 € et TVA
100 μL (Autres quantités disponibles)
Destination: France
Envoi sous 15 à 20 jours ouvrables
 
  • Type Primary
    • Primary
  • Application
    • Western Blotting (WB)
    • Immunocytochemistry (ICC)
    • Immunofluorescence (IF)
    • ELISA
    • Immunohistochemistry (IHC)
    • Immunoprecipitation (IP)
    • Immunohistochemistry (Frozen Sections) (IHC (fro))
    • Flow Cytometry (FACS)
    • Immunohistochemistry (Paraffin-embedded Sections) (IHC (p))
    • Enzyme Immunoassay (EIA)
    • Immunohistochemistry (Formalin-fixed Paraffin-embedded Sections) (IHC (fp))
  • Réactivité
    • Human
    • Mouse
    • Rat
    • Chicken
    • Cow
    • Amphibian
    • Aureococcus anophagefferens
    • Diatom (Fragilariopsis)
    • Diatom (Skeletonema)
    • Dog
    • Emiliania huxleyi
    • Guinea Pig
    • Horse
    • Phaeodactylum tricornutum
    • Thalassiosira pseudonana
  • Images disponible
  • Carrier free only
  • Hote
    • Rabbit
    • Mouse
    • Goat
    • Guinea Pig
  • Clonalité
    • Polyclonal
    • Monoclonal
  • Clone
    • C1
    • 22D49
    • 23GB5220
    • DP2-15
  • Epitope
    • AA 78-300
    • AA 1600-1650
    • AA 2609-2822
    • C-Term
    • AA 1-100
    • AA 1546-1558
    • AA 1810-2092
    • AA 1900-1950
    • AA 2750-2850
    • AA 69-2195
    • Internal Region
    • N-Term
    • pSer2849
  • Conjugué
    • Inconjugué
    • Biotin
    • Alexa Fluor 488
    • Alexa Fluor 555
    • Alexa Fluor 594
    • Alexa Fluor 647
    • Alexa Fluor 680
    • Alexa Fluor 750
    • FITC
    • Alexa Fluor 350
    • Alexa Fluor 405
    • HRP
  • Isotype
    • IgG
    • IgG1
    • IgG2a kappa
  • Type Proteine
    • Recombinant Antibody
  • Format
    • Liquid
    • Lyophilized
  • Grade
    • KD Validated
    • Recent
    • Verified
  • Supplier
    • antibodies-online
    • Signalway
    • Boster Bio
    • Acris
    • Abbexa
    • Abiocode
    • Agrisera
    • Biomatik
    • Rockland

Dernières publications pour nos Desmoplakin Anticorps

Kippenberger, Kleemann, Meissner, Steinhorst, Müller, Zouboulis, Kaufmann, Zöller: "Activation of PKB/Akt and p44/42 by mechanical stretch utilizes desmosomal structures and the keratin filament." dans: Journal of dermatological science, Vol. 89, Issue 3, pp. 241-247, (2018) (PubMed).

Barahona-Dussault, Benito, Campuzano, Iglesias, Leung, Robb, Talajic, Brugada: "Role of genetic testing in arrhythmogenic right ventricular cardiomyopathy/dysplasia." dans: Clinical genetics, Vol. 77, Issue 1, pp. 37-48, (2010) (PubMed).

Pseudonymes pour Desmoplakin Anticorps

desmoplakin (DSP) Anticorps
desmoplakin (PhopGV104) Anticorps
desmoplakin (ORF-59 desmoplakin) Anticorps
Desmoplakin (desmop) Anticorps
desmoplakin (Dsp) Anticorps
desmoplakin (dsp) Anticorps
ORF113 (desmoplakin) Anticorps
desmoplakin (desmoplakin) Anticorps
desmoplakin a (dspa) Anticorps
ORF112 DESMOPLAKIN (orf112 desmoplakin) Anticorps
orf102 (ClgVgp102) Anticorps
orf91; similar to Cydia pomonella granulovirus orf112 (COGV_gp091) Anticorps
ORF62 (APNV_p087) Anticorps
ORF-66 (CBNV_gp066) Anticorps
ORF57 (EONV_gp057) Anticorps
desmoplakin (OLNV_gp066) Anticorps
agip105 (AgipMNPV_gp105) Anticorps
desmoplakin (HaMNV_gp106) Anticorps
desmoplakin (EupsNPV_gp065) Anticorps
similar to XcORF133; similar to HaGV desmoplakin (PsunGV_gp139) Anticorps
desmoplakin L homeolog (dsp.L) Anticorps
ORF96 (ClanGV_gp096) Anticorps
2300002E22Rik Anticorps
5730453H04Rik Anticorps
AA407887 Anticorps
AA407888 Anticorps
AW109828 Anticorps
DP Anticorps
DPI Anticorps
dpi Anticorps
DPII Anticorps
dpii Anticorps
DSP Anticorps
im:6911953 Anticorps
sb:cb570 Anticorps
wu:fc17a08 Anticorps
wu:fk73d01 Anticorps
Vous êtes ici:
Chat with us!