Tel:
+49 (0)241 95 163 153
Fax:
+49 (0)241 95 163 155
E-Mail:
orders@anticorps-enligne.fr

ENPEP anticorps (AA 708-957)

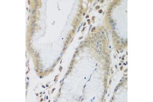
Cet anticorps anti-ENPEP Polyclonal Lapin (ABIN6140180) détecte spécifiquement ENPEP dans WB et IHC. L’anticorps est réactif avec des échantillons de Humain.
N° du produit ABIN6140180
320,00 €
Plus frais de livraison 40,00 € et TVA
Destination: France
Envoi sous 8 à 10 jours ouvrables

Aperçu rapide pour ENPEP anticorps (AA 708-957) (ABIN6140180)

Antigène

Voir toutes ENPEP Anticorps
ENPEP (Glutamyl Aminopeptidase (Aminopeptidase A) (ENPEP))

Reactivité

  • 65
  • 25
  • 17
  • 5
  • 2
  • 2
  • 2
  • 1
  • 1
  • 1
  • 1
Humain

Hôte

  • 60
  • 12
  • 7
  • 1
Lapin

Clonalité

  • 49
  • 31
Polyclonal

Conjugué

  • 40
  • 9
  • 7
  • 4
  • 4
  • 3
  • 2
  • 2
  • 2
  • 2
  • 2
  • 1
  • 1
  • 1
Cet anticorp ENPEP est non-conjugé

Application

  • 52
  • 38
  • 28
  • 26
  • 14
  • 10
  • 7
  • 4
  • 2
  • 1
  • 1
  • 1
Western Blotting (WB), Immunohistochemistry (IHC)
Vous êtes ici:
Chat with us!