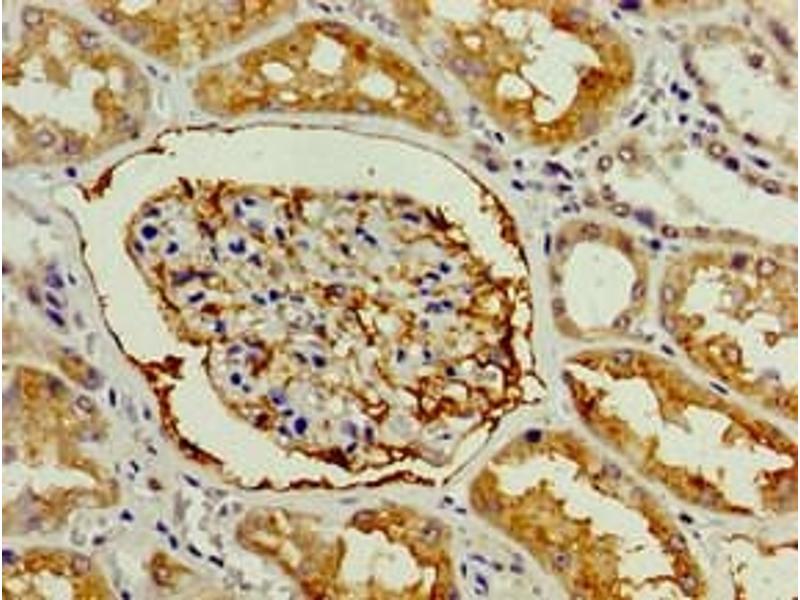
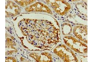
ENPEP anticorps (AA 719-949)
Aperçu rapide pour ENPEP anticorps (AA 719-949) (ABIN7154035)
Antigène
Voir toutes ENPEP AnticorpsReactivité
Hôte
Clonalité
Conjugué
Application
-
-
Épitope
- AA 719-949
-
Fonction
- ENPEP Antibody
-
Purification
- Protein G purified
-
Pureté
- >95 %
-
Immunogène
- Recombinant Human Glutamyl aminopeptidase protein (719-949AA)
-
Isotype
- IgG
-
-
-
-
Indications d'application
- Optimal working dilution should be determined by the investigator.
-
Restrictions
- For Research Use only
-
-
-
Format
- Liquid
-
Buffer
-
Preservative: 0.03 % Proclin 300
Constituents: 50 % Glycerol, 0.01M PBS, PH 7.4 -
Agent conservateur
- ProClin
-
Précaution d'utilisation
- This product contains ProClin: a POISONOUS AND HAZARDOUS SUBSTANCE which should be handled by trained staff only.
-
Stock
- -20 °C,-80 °C
-
Stockage commentaire
- Upon receipt, store at -20°C or -80°C. Avoid repeated freeze.
-
-
- ENPEP (Glutamyl Aminopeptidase (Aminopeptidase A) (ENPEP))
-
Autre désignation
- ENPEP
-
Sujet
-
Background: Appears to have a role in the catabolic pathway of the renin-angiotensin system. Probably plays a role in regulating growth and differentiation of early B-lineage cells.
Aliases: Aminopeptidase A antibody, AMPE_HUMAN antibody, AP-A antibody, APA antibody, bp-1 antibody, bp1 antibody, CD249 antibody, Differentiation antigen gp160 antibody, EAP antibody, Enpep antibody, Glutamyl aminopeptidase (aminopeptidase A) antibody, Glutamyl aminopeptidase antibody, Gp160 antibody, Ly51 antibody
-
UniProt
- Q07075
-
Pathways
- Peptide Hormone Metabolism, Regulation of Systemic Arterial Blood Pressure by Hormones
Antigène
-