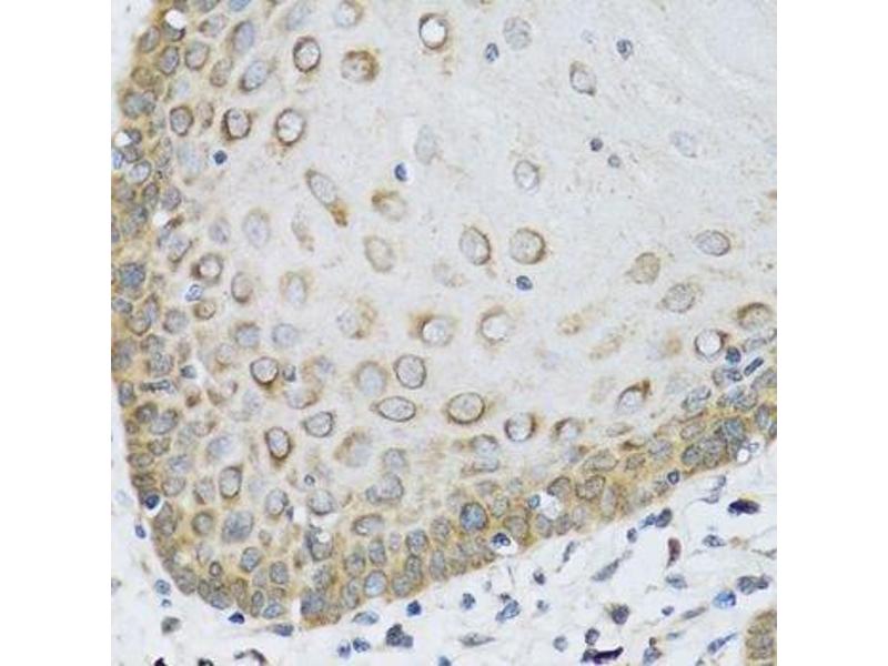
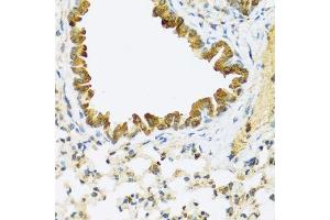
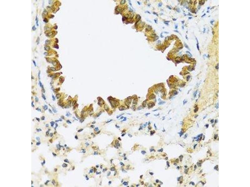
FAM20A anticorps (AA 140-240)
Aperçu rapide pour FAM20A anticorps (AA 140-240) (ABIN6140455)
Antigène
Voir toutes FAM20A AnticorpsReactivité
Hôte
Clonalité
Conjugué
Application
-
-
Épitope
- AA 140-240
-
Séquence
- YREQMNLTSL DPPLQLRLEA SWVQFHLGIN RHGLYSRSSP VVSKLLQDMR HFPTISADYS QDEKALLGAC DCTQIVKPSG VHLKLVLRFS DFGKAMFKPM R
-
Réactivité croisée
- Humain, Souris, Rat
-
Attributs du produit
- Polyclonal Antibodies
-
Purification
- Affinity purification
-
Immunogène
- Recombinant fusion protein containing a sequence corresponding to amino acids 140-240 of human FAM20A (NP_060035.2).
-
Isotype
- IgG
-
-
-
-
Indications d'application
- WB,1:500 - 1:2000,IHC,1:100 - 1:200
-
Commentaires
-
HIGH QUALITY
-
Restrictions
- For Research Use only
-
-
-
Format
- Liquid
-
Buffer
- PBS with 0.02 % sodium azide,50 % glycerol, pH 7.3.
-
Agent conservateur
- Sodium azide
-
Précaution d'utilisation
- This product contains Sodium azide: a POISONOUS AND HAZARDOUS SUBSTANCE which should be handled by trained staff only.
-
Stock
- -20 °C
-
Stockage commentaire
- Store at -20°C. Avoid freeze / thaw cycles.
-
-
- FAM20A (Family with Sequence Similarity 20, Member A (FAM20A))
-
Autre désignation
- FAM20A
-
Sujet
- This locus encodes a protein that is likely secreted and may function in hematopoiesis. A mutation at this locus has been associated with amelogenesis imperfecta and gingival hyperplasia syndrome. Alternatively spliced transcript variants have been identified.,FAM20A,AI1G,AIGFS,FP2747,Signal Transduction,Kinase,Stem Cells,Hematopoietic Progenitors,FAM20A
-
Poids moléculaire
- 61 kDa
-
ID gène
- 54757
-
UniProt
- Q96MK3
Antigène
-