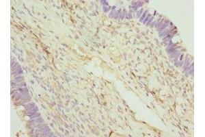
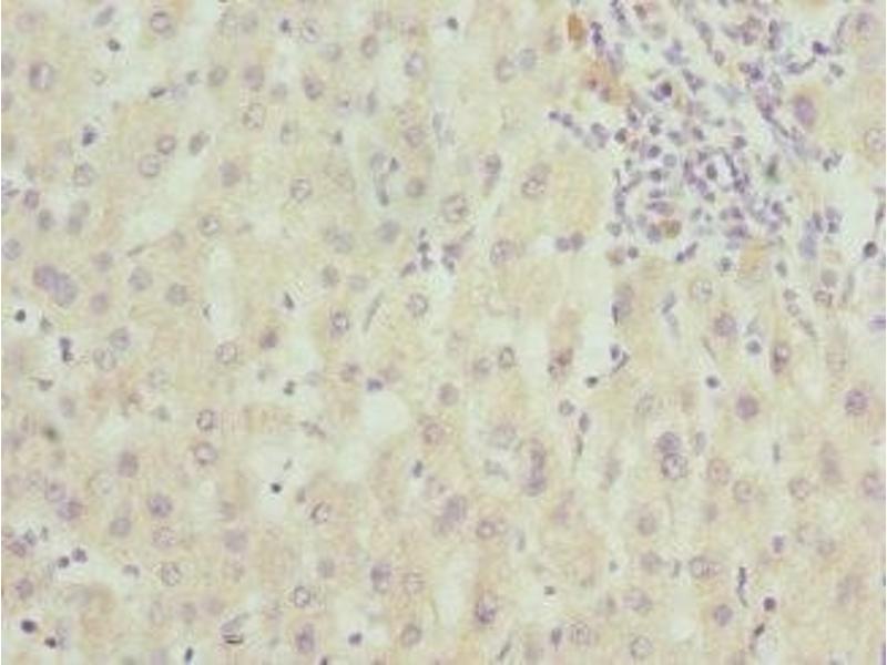
FAM20A anticorps (AA 140-240)
Aperçu rapide pour FAM20A anticorps (AA 140-240) (ABIN7166597)
Antigène
Voir toutes FAM20A AnticorpsReactivité
Hôte
Clonalité
Conjugué
Application
-
-
Épitope
- AA 140-240
-
Fonction
- FAM20A Antibody
-
Purification
- Antigen Affinity Purified
-
Immunogène
- Recombinant Human Pseudokinase FAM20A protein (140-240AA)
-
Isotype
- IgG
-
-
-
-
Indications d'application
- Optimal working dilution should be determined by the investigator.
-
Restrictions
- For Research Use only
-
-
-
Format
- Liquid
-
Buffer
- PBS with 0.02 % sodium azide, 50 % glycerol, pH 7.3.
-
Agent conservateur
- Sodium azide
-
Précaution d'utilisation
- This product contains Sodium azide: a POISONOUS AND HAZARDOUS SUBSTANCE which should be handled by trained staff only.
-
Stock
- -20 °C,-80 °C
-
Stockage commentaire
- Upon receipt, store at -20°C or -80°C. Avoid repeated freeze.
-
-
- FAM20A (Family with Sequence Similarity 20, Member A (FAM20A))
-
Autre désignation
- FAM20A
-
Sujet
-
Background: Pseudokinase that acts as an allosteric activator of the Golgi serine/threonine protein kinase FAM20C and is involved in biomineralization of teeth. Forms a complex with FAM20C and increases the ability of FAM20C to phosphorylate the proteins that form the \\\'matrix\\\' that guides the deposition of the enamel minerals.
Aliases: FAM20A antibody, UNQ9388/PRO34279Pseudokinase FAM20A antibody
-
UniProt
- Q96MK3
Antigène
-