GCC2 anticorps (AA 1-300)
Aperçu rapide pour GCC2 anticorps (AA 1-300) (ABIN6141007)
Antigène
Voir toutes GCC2 AnticorpsReactivité
Hôte
Clonalité
Conjugué
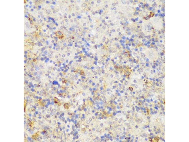
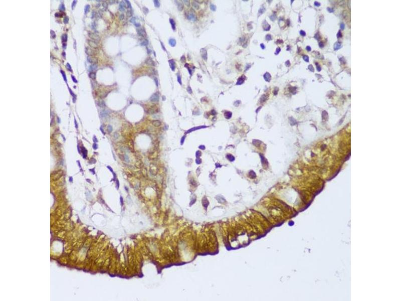
Application
-
-
Épitope
- AA 1-300
-
Séquence
- MEDLVQDGVA SPATPGTGKS KLETLPKEDL IKFAKKQMML IQKAKSRCTE LEKEIEELRS KPVTEGTGDI IKALTERLDA LLLEKAETEQ QCLSLKKENI KMKQEVEDSV TKMGDAHKEL EQSHINYVKE IENLKNELMA VRSKYSEDKA NLQKQLEEAM NTQLELSEQL KFQNNSEDNV KKLQEEIEKI RPGFEEQILY LQKQLDATTD EKKETVTQLQ NIIEANSQHY QKNINSLQEE LLQLKAIHQE EVKELMCQIE ASAKEHEAEI NKLNELKENL VKQCEASEKN IQKKYECELE
-
Réactivité croisée
- Humain, Souris
-
Attributs du produit
- Polyclonal Antibodies
-
Purification
- Affinity purification
-
Immunogène
- Recombinant fusion protein containing a sequence corresponding to amino acids 1-300 of human GCC2 (NP_852118.1).
-
Isotype
- IgG
-
-
-
-
Indications d'application
- WB,1:500 - 1:2000,IHC,1:50 - 1:200
-
Restrictions
- For Research Use only
-
-
-
Format
- Liquid
-
Buffer
- PBS with 0.02 % sodium azide,50 % glycerol, pH 7.3.
-
Agent conservateur
- Sodium azide
-
Précaution d'utilisation
- This product contains Sodium azide: a POISONOUS AND HAZARDOUS SUBSTANCE which should be handled by trained staff only.
-
Stock
- -20 °C
-
Stockage commentaire
- Store at -20°C. Avoid freeze / thaw cycles.
-
-
- GCC2 (GRIP and Coiled-Coil Domain Containing 2 (GCC2))
-
Autre désignation
- GCC2
-
Sujet
- The protein encoded by this gene is a peripheral membrane protein localized to the trans-Golgi network. It is sensitive to brefeldin A. This encoded protein contains a GRIP domain which is thought to be used in targeting. Alternative splicing results in multiple transcript variants.,GCC2,GCC185,RANBP2L4,REN53,Signal Transduction,G protein signaling,Signal Transduction,GCC2
-
Poids moléculaire
- 5 kDa/195 kDa
-
ID gène
- 9648
-
UniProt
- Q8IWJ2
-
Pathways
- Maintenance of Protein Location, SARS-CoV-2 Protein Interactome
Antigène
-