Tel:
+49 (0)241 95 163 153
Fax:
+49 (0)241 95 163 155
E-Mail:
orders@anticorps-enligne.fr

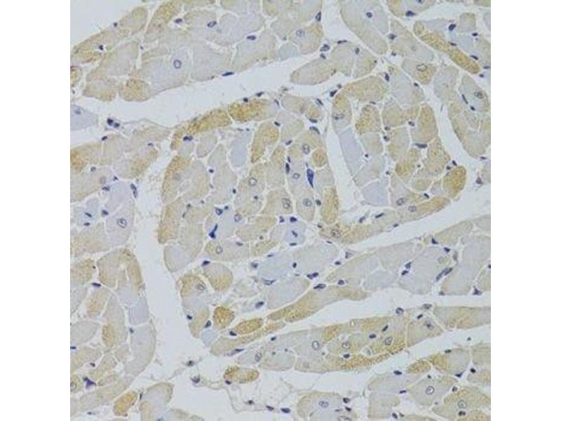
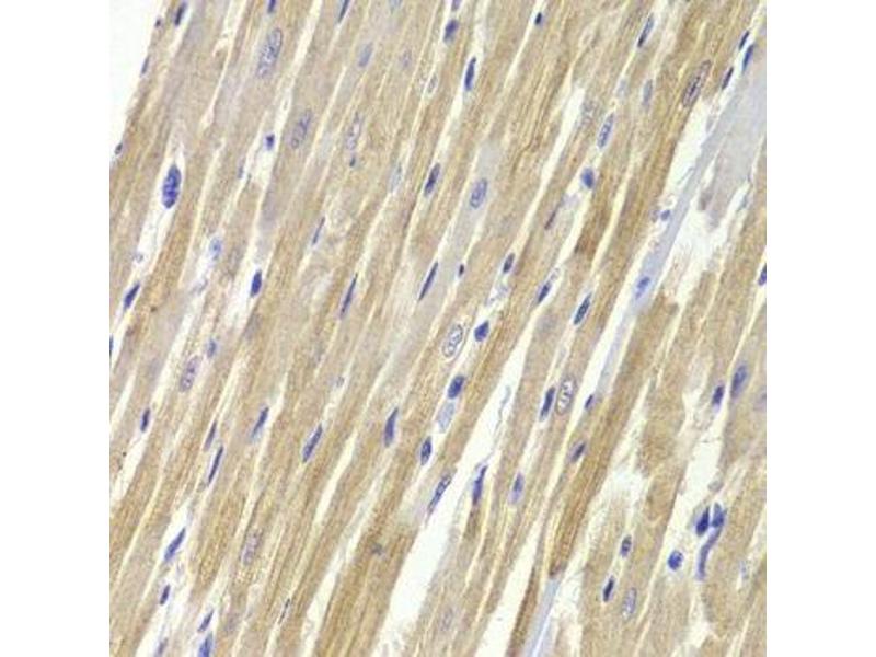
GPD1 anticorps (AA 1-349)

Cet anticorps anti-GPD1 Polyclonal Lapin (ABIN6141315) détecte spécifiquement GPD1 dans WB. L’anticorps est réactif avec des échantillons de Humain.
N° du produit ABIN6141315
320,00 €
Plus frais de livraison 40,00 € et TVA
Destination: France
Envoi sous 8 à 10 jours ouvrables

Aperçu rapide pour GPD1 anticorps (AA 1-349) (ABIN6141315)

Antigène

Voir toutes GPD1 Anticorps
GPD1 (Glycerol-3-Phosphate Dehydrogenase 1 (Soluble) (GPD1))

Reactivité

  • 57
  • 16
  • 13
  • 6
  • 4
  • 4
  • 3
  • 3
  • 3
  • 2
  • 2
  • 1
  • 1
  • 1
Humain

Hôte

  • 63
  • 6
  • 5
  • 2
Lapin

Clonalité

  • 75
  • 1
Polyclonal

Conjugué

  • 29
  • 10
  • 8
  • 7
  • 2
  • 2
  • 1
  • 1
  • 1
  • 1
  • 1
  • 1
  • 1
  • 1
  • 1
  • 1
  • 1
  • 1
  • 1
  • 1
  • 1
  • 1
  • 1
  • 1
Cet anticorp GPD1 est non-conjugé

Application

  • 52
  • 38
  • 13
  • 13
  • 13
  • 10
  • 9
  • 7
  • 5
  • 5
  • 4
  • 4
  • 3
  • 2
  • 2
  • 1
Western Blotting (WB)
  • Épitope

    • 15
    • 13
    • 8
    • 8
    • 5
    • 2
    • 1
    • 1
    • 1
    • 1
    • 1
    AA 1-349

    Séquence

    MASKKVCIVG SGNWGSAIAK IVGGNAAQLA QFDPRVTMWV FEEDIGGKKL TEIINTQHEN VKYLPGHKLP PNVVAVPDVV QAAEDADILI FVVPHQFIGK ICDQLKGHLK ANATGISLIK GVDEGPNGLK LISEVIGERL GIPMSVLMGA NIASEVADEK FCETTIGCKD PAQGQLLKEL MQTPNFRITV VQEVDTVEIC GALKNVVAVG AGFCDGLGFG DNTKAAVIRL GLMEMIAFAK LFCSGPVSSA TFLESCGVAD LITTCYGGRN RKVAEAFART GKSIEQLEKE LLNGQKLQGP ETARELYSIL QHKGLVDKFP LFMAVYKVCY EGQPVGEFIH CLQNHPEHM

     Réactivité croisée

    Humain, Souris, Rat

    Attributs du produit

    Polyclonal Antibodies

    Purification

    Affinity purification

    Immunogène

    Recombinant fusion protein containing a sequence corresponding to amino acids 1-349 of human GPD1 (NP_005267.2).

    Isotype

    IgG
  • Indications d'application

    WB,1:500 - 1:2000

    Commentaires

    HIGH QUALITY

    Restrictions

    For Research Use only
  • Format

    Liquid

    Buffer

    PBS with 0.02 % sodium azide,50 % glycerol, pH 7.3.

    Agent conservateur

    Sodium azide

    Précaution d'utilisation

    This product contains Sodium azide: a POISONOUS AND HAZARDOUS SUBSTANCE which should be handled by trained staff only.

    Stock

    -20 °C

    Stockage commentaire

    Store at -20°C. Avoid freeze / thaw cycles.
  • Antigène

    GPD1 (Glycerol-3-Phosphate Dehydrogenase 1 (Soluble) (GPD1))

    Autre désignation

    GPD1

    Sujet

    This gene encodes a member of the NAD-dependent glycerol-3-phosphate dehydrogenase family. The encoded protein plays a critical role in carbohydrate and lipid metabolism by catalyzing the reversible conversion of dihydroxyacetone phosphate (DHAP) and reduced nicotine adenine dinucleotide (NADH) to glycerol-3-phosphate (G3P) and NAD+. The encoded cytosolic protein and mitochondrial glycerol-3-phosphate dehydrogenase also form a glycerol phosphate shuttle that facilitates the transfer of reducing equivalents from the cytosol to mitochondria. Mutations in this gene are a cause of transient infantile hypertriglyceridemia. Alternatively spliced transcript variants encoding multiple isoforms have been observed for this gene.,GPD1,GPD-C,GPDH-C,HTGTI,Cancer,Signal Transduction,Endocrine & Metabolism,Lipid Metabolism,Cardiovascular,Lipids,Fatty Acids,GPD1

    Poids moléculaire

    35 kDa/37 kDa

    ID gène

    2819

    UniProt

    P21695
Vous êtes ici:
Chat with us!