Tel:
+49 (0)241 95 163 153
Fax:
+49 (0)241 95 163 155
E-Mail:
orders@anticorps-enligne.fr

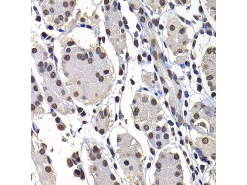
H2AFY anticorps (AA 123-372)

L’anticorps anti-H2AFY Polyclonal Lapin est utilisé pour la détection de H2AFY dans des échantillons de Humain. Il a été validé pour WB, IHC et IF.
N° du produit ABIN6141569
385,00 €
Plus frais de livraison 40,00 € et TVA
Destination: France
Envoi sous 8 à 10 jours ouvrables

Aperçu rapide pour H2AFY anticorps (AA 123-372) (ABIN6141569)

Antigène

Voir toutes H2AFY Anticorps
H2AFY (H2A Histone Family, Member Y (H2AFY))

Reactivité

  • 48
  • 42
  • 41
  • 5
  • 5
  • 4
  • 4
  • 4
  • 4
  • 3
  • 2
  • 2
  • 2
  • 1
  • 1
Humain

Hôte

  • 48
Lapin

Clonalité

  • 31
  • 17
Polyclonal

Conjugué

  • 23
  • 3
  • 3
  • 3
  • 3
  • 3
  • 3
  • 3
  • 2
  • 2
Cet anticorp H2AFY est non-conjugé

Application

  • 40
  • 25
  • 18
  • 14
  • 6
  • 2
  • 2
  • 1
  • 1
  • 1
Western Blotting (WB), Immunohistochemistry (IHC), Immunofluorescence (IF)
  • Épitope

    • 3
    • 3
    • 2
    • 2
    • 1
    • 1
    • 1
    • 1
    AA 123-372

    Séquence

    KLEAIITPPP AKKAKSPSQK KPVSKKAGGK KGARKSKKKQ GEVSKAASAD STTEGTPADG FTVLSTKSLF LGQKLNLIHS EISNLAGFEV EAIINPTNAD IDLKDDLGNT LEKKGGKEFV EAVLELRKKN GPLEVAGAAV SAGHGLPAKF VIHCNSPVWG ADKCEELLEK TVKNCLALAD DKKLKSIAFP SIGSGRNGFP KQTAAQLILK AISSYFVSTM SSSIKTVYFV LFDSESIGIY VQEMAKLDAN

     Réactivité croisée

    Humain, Souris, Rat

    Attributs du produit

    Polyclonal Antibodies

    Purification

    Affinity purification

    Immunogène

    Recombinant fusion protein containing a sequence corresponding to amino acids 123-372 of human H2AFY (NP_613258.2).

    Isotype

    IgG
  • Indications d'application

    WB,1:500 - 1:2000,IHC,1:50 - 1:200,IF,1:50 - 1:100

    Commentaires

    HIGH QUALITY

    Restrictions

    For Research Use only
  • Format

    Liquid

    Buffer

    PBS with 0.02 % sodium azide,50 % glycerol, pH 7.3.

    Agent conservateur

    Sodium azide

    Précaution d'utilisation

    This product contains Sodium azide: a POISONOUS AND HAZARDOUS SUBSTANCE which should be handled by trained staff only.

    Stock

    -20 °C

    Stockage commentaire

    Store at -20°C. Avoid freeze / thaw cycles.
  • Antigène

    H2AFY (H2A Histone Family, Member Y (H2AFY))

    Autre désignation

    H2AFY

    Sujet

    Histones are basic nuclear proteins that are responsible for the nucleosome structure of the chromosomal fiber in eukaryotes. Nucleosomes consist of approximately 146 bp of DNA wrapped around a histone octamer composed of pairs of each of the four core histones (H2A, H2B, H3, and H4). The chromatin fiber is further compacted through the interaction of a linker histone, H1, with the DNA between the nucleosomes to form higher order chromatin structures. This gene encodes a replication-independent histone that is a member of the histone H2A family. It replaces conventional H2A histones in a subset of nucleosomes where it represses transcription and participates in stable X chromosome inactivation. Alternative splicing results in multiple transcript variants encoding different isoforms.,H2AFY,H2A.y,H2A/y,H2AF12M,MACROH2A1.1,mH2A1,macroH2A1.2,Epigenetics & Nuclear Signaling,Histones,H2AFY

    Poids moléculaire

    39 kDa

    ID gène

    9555

    UniProt

    O75367
Vous êtes ici:
Chat with us!