Tel:
+49 (0)241 95 163 153
Fax:
+49 (0)241 95 163 155
E-Mail:
orders@anticorps-enligne.fr

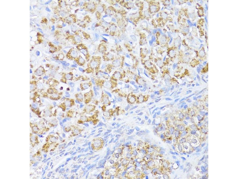
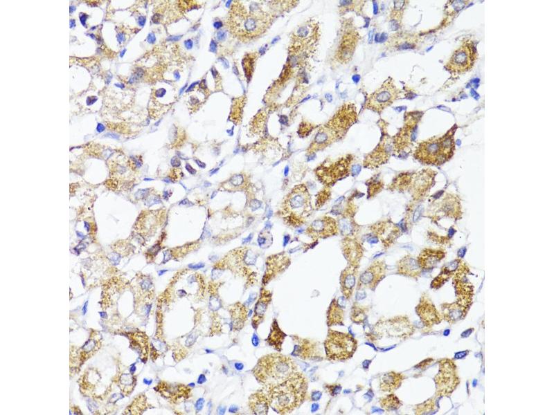
MAVS anticorps (AA 1-65)

Cité dans 1 publication. Cet anticorps anti-MAVS Polyclonal Lapin (ABIN6143583) détecte spécifiquement MAVS dans WB, IHC et IF. L’anticorps est réactif avec des échantillons de Humain.
N° du produit ABIN6143583
320,00 €
Plus frais de livraison 40,00 € et TVA
Destination: France
Envoi sous 8 à 10 jours ouvrables

Aperçu rapide pour MAVS anticorps (AA 1-65) (ABIN6143583)

Antigène

Voir toutes MAVS Anticorps
MAVS (Mitochondrial Antiviral Signaling Protein (MAVS))

Reactivité

  • 43
  • 35
  • 7
  • 2
  • 1
Humain

Hôte

  • 64
  • 7
Lapin

Clonalité

  • 66
  • 5
Polyclonal

Conjugué

  • 38
  • 5
  • 4
  • 3
  • 2
  • 2
  • 1
  • 1
  • 1
  • 1
  • 1
  • 1
  • 1
  • 1
  • 1
  • 1
  • 1
  • 1
  • 1
  • 1
  • 1
  • 1
  • 1
Cet anticorp MAVS est non-conjugé

Application

  • 63
  • 29
  • 13
  • 13
  • 12
  • 11
  • 11
  • 7
  • 7
  • 4
  • 2
  • 2
  • 1
  • 1
Western Blotting (WB), Immunohistochemistry (IHC), Immunofluorescence (IF)
  • Épitope

    • 15
    • 8
    • 8
    • 5
    • 4
    • 2
    • 2
    • 2
    • 2
    • 2
    • 2
    • 2
    • 2
    • 1
    • 1
    • 1
    • 1
    • 1
    • 1
    • 1
    AA 1-65

    Séquence

    MPFAEDKTYK YICRNFSNFC NVDVVEILPY LPCLTARDQD RLRATCTLSG NRDTLWHLFN TLQRR

     Réactivité croisée

    Humain, Souris, Rat

    Attributs du produit

    Polyclonal Antibodies

    Immunogène

    Recombinant fusion protein containing a sequence corresponding to amino acids 1-65 of human MAVS (NP_065797.2).

    Isotype

    IgG
  • Indications d'application

    WB,1:500 - 1:2000,IHC,1:50 - 1:200,IF,1:50 - 1:200

    Restrictions

    For Research Use only
  • Format

    Liquid

    Buffer

    PBS with 0.02 % sodium azide,50 % glycerol, pH 7.3.

    Agent conservateur

    Sodium azide

    Précaution d'utilisation

    This product contains Sodium azide: a POISONOUS AND HAZARDOUS SUBSTANCE which should be handled by trained staff only.

    Stock

    -20 °C

    Stockage commentaire

    Store at -20°C. Avoid freeze / thaw cycles.
  • Qian, Fan, Liu, Wu, Zhang, Cui, Zhou, Hu, Wei, Chen, Li, Qian: "Seneca Valley Virus Suppresses Host Type I Interferon Production by Targeting Adaptor Proteins MAVS, TRIF, and TANK for Cleavage." dans: Journal of virology, Vol. 91, Issue 16, (2017) (PubMed).

  • Antigène

    MAVS (Mitochondrial Antiviral Signaling Protein (MAVS))

    Autre désignation

    MAVS

    Sujet

    This gene encodes an intermediary protein necessary in the virus-triggered beta interferon signaling pathways. It is required for activation of transcription factors which regulate expression of beta interferon and contributes to antiviral immunity. Multiple transcript variants encoding different isoforms have been found for this gene.,CARDIF,IPS-1,IPS1,VISA,MAVS,Epigenetics & Nuclear Signaling,Signal Transduction,Immunology & Inflammation,Toll-like Receptor Signaling Pathway,MAVS

    Poids moléculaire

    14 kDa/15 kDa/17 kDa/40 kDa/56 kDa

    ID gène

    57506

    UniProt

    Q7Z434

    Pathways

    Activation of Innate immune Response, Inositol Metabolic Process, Hepatitis C
Vous êtes ici:
Chat with us!