Tel:
+49 (0)241 95 163 153
Fax:
+49 (0)241 95 163 155
E-Mail:
orders@anticorps-enligne.fr

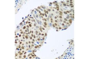
MDC1 anticorps (AA 1-350)

Cet anticorps Lapin Polyclonal détecte spécifiquement MDC1 dans WB, IHC et IF. Il présente une réactivité avec des échantillons de Humain.
N° du produit ABIN6143660
320,00 €
Plus frais de livraison 40,00 € et TVA
Destination: France
Envoi sous 8 à 10 jours ouvrables

Aperçu rapide pour MDC1 anticorps (AA 1-350) (ABIN6143660)

Antigène

Voir toutes MDC1 Anticorps
MDC1 (Mdc1 (MDC1))

Reactivité

  • 57
  • 46
  • 17
  • 12
  • 11
  • 2
  • 1
  • 1
Humain

Hôte

  • 47
  • 28
Lapin

Clonalité

  • 47
  • 28
Polyclonal

Conjugué

  • 27
  • 6
  • 6
  • 4
  • 3
  • 3
  • 3
  • 2
  • 2
  • 2
  • 1
  • 1
  • 1
  • 1
  • 1
  • 1
  • 1
  • 1
  • 1
  • 1
  • 1
  • 1
  • 1
  • 1
  • 1
  • 1
  • 1
Cet anticorp MDC1 est non-conjugé

Application

  • 56
  • 22
  • 13
  • 13
  • 13
  • 13
  • 11
  • 10
  • 8
  • 6
  • 3
  • 2
  • 1
  • 1
  • 1
Western Blotting (WB), Immunohistochemistry (IHC), Immunofluorescence (IF)
  • Épitope

    • 21
    • 15
    • 10
    • 9
    • 5
    • 3
    • 2
    • 2
    • 1
    • 1
    • 1
    • 1
    • 1
    • 1
    • 1
    AA 1-350

    Séquence

    MEDTQAIDWD VEEEEETEQS SESLRCNVEP VGRLHIFSGA HGPEKDFPLH LGKNVVGRMP DCSVALPFPS ISKQHAEIEI LAWDKAPILR DCGSLNGTQI LRPPKVLSPG VSHRLRDQEL ILFADLLCQY HRLDVSLPFV SRGPLTVEET PRVQGETQPQ RLLLAEDSEE EVDFLSERRM VKKSRTTSSS VIVPESDEEG HSPVLGGLGP PFAFNLNSDT DVEEGQQPAT EEASSAARRG ATVEAKQSEA EVVTEIQLEK DQPLVKERDN DTKVKRGAGN GVVPAGVILE RSQPPGEDSD TDVDDDSRPP GRPAEVHLER AQPFGFIDSD TDAEEERIPA TPVVIPMKKR

     Réactivité croisée

    Humain

    Attributs du produit

    Polyclonal Antibodies

    Immunogène

    Recombinant fusion protein containing a sequence corresponding to amino acids 1-350 of human MDC1 (NP_055456.2).

    Isotype

    IgG
  • Indications d'application

    WB,1:500 - 1:2000,IHC,1:100 - 1:200,IF,1:50 - 1:200

    Restrictions

    For Research Use only
  • Format

    Liquid

    Buffer

    PBS with 0.02 % sodium azide,50 % glycerol, pH 7.3.

    Agent conservateur

    Sodium azide

    Précaution d'utilisation

    This product contains Sodium azide: a POISONOUS AND HAZARDOUS SUBSTANCE which should be handled by trained staff only.

    Stock

    -20 °C

    Stockage commentaire

    Store at -20°C. Avoid freeze / thaw cycles.
  • Antigène

    MDC1 (Mdc1 (MDC1))

    Autre désignation

    MDC1

    Sujet

    The protein encoded by this gene contains an N-terminal forkhead domain, two BRCA1 C-terminal (BRCT) motifs and a central domain with 13 repetitions of an approximately 41-amino acid sequence. The encoded protein is required to activate the intra-S phase and G2/M phase cell cycle checkpoints in response to DNA damage. This nuclear protein interacts with phosphorylated histone H2AX near sites of DNA double-strand breaks through its BRCT motifs, and facilitates recruitment of the ATM kinase and meiotic recombination 11 protein complex to DNA damage foci.,MDC1,NFBD1,Epigenetics & Nuclear Signaling,DNA Damage & Repair,MDC1

    Poids moléculaire

    116 kDa/195 kDa/197 kDa/226 kDa

    ID gène

    9656

    UniProt

    Q14676
Vous êtes ici:
Chat with us!