Tel:
+49 (0)241 95 163 153
Fax:
+49 (0)241 95 163 155
E-Mail:
orders@anticorps-enligne.fr

Nucleolin anticorps (AA 461-710)

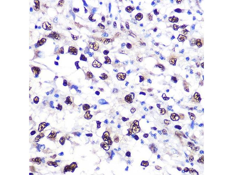
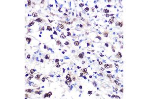
L’anticorps anti-Nucleolin Polyclonal Lapin est utilisé pour la détection de Nucleolin dans des échantillons de Humain. Il a été validé pour WB et IHC.
N° du produit ABIN6144411
320,00 €
Plus frais de livraison 40,00 € et TVA
Destination: France
Envoi sous 8 à 10 jours ouvrables

Aperçu rapide pour Nucleolin anticorps (AA 461-710) (ABIN6144411)

Antigène

Voir toutes Nucleolin (NCL) Anticorps
Nucleolin (NCL)

Reactivité

  • 173
  • 46
  • 45
  • 11
  • 10
  • 10
  • 10
  • 9
  • 7
  • 6
  • 5
  • 4
  • 3
  • 1
  • 1
  • 1
  • 1
  • 1
  • 1
  • 1
Humain

Hôte

  • 127
  • 49
  • 1
  • 1
Lapin

Clonalité

  • 97
  • 81
Polyclonal

Conjugué

  • 93
  • 13
  • 5
  • 4
  • 4
  • 4
  • 4
  • 4
  • 4
  • 4
  • 4
  • 3
  • 3
  • 3
  • 3
  • 2
  • 2
  • 2
  • 2
  • 2
  • 2
  • 1
  • 1
  • 1
  • 1
  • 1
  • 1
  • 1
  • 1
  • 1
  • 1
  • 1
Cet anticorp Nucleolin est non-conjugé

Application

  • 140
  • 101
  • 70
  • 49
  • 33
  • 30
  • 18
  • 17
  • 15
  • 14
  • 13
  • 7
  • 5
  • 3
  • 2
  • 1
  • 1
  • 1
Western Blotting (WB), Immunohistochemistry (IHC)
  • Épitope

    • 16
    • 14
    • 13
    • 9
    • 8
    • 7
    • 4
    • 3
    • 2
    • 2
    • 2
    • 2
    • 2
    • 2
    • 2
    • 2
    • 2
    • 1
    • 1
    • 1
    • 1
    • 1
    • 1
    • 1
    • 1
    • 1
    • 1
    AA 461-710

    Séquence

    LYYTGEKGQN QDYRGGKNST WSGESKTLVL SNLSYSATEE TLQEVFEKAT FIKVPQNQNG KSKGYAFIEF ASFEDAKEAL NSCNKREIEG RAIRLELQGP RGSPNARSQP SKTLFVKGLS EDTTEETLKE SFDGSVRARI VTDRETGSSK GFGFVDFNSE EDAKAAKEAM EDGEIDGNKV TLDWAKPKGE GGFGGRGGGR GGFGGRGGGR GGRGGFGGRG RGGFGGRGGF RGGRGGGGDH KPQGKKTKFE

     Réactivité croisée

    Humain, Souris

    Attributs du produit

    Polyclonal Antibodies

    Immunogène

    Recombinant fusion protein containing a sequence corresponding to amino acids 461-710 of human NCL (NP_005372.2).

    Isotype

    IgG
  • Indications d'application

    WB,1:500 - 1:2000,IHC,1:50 - 1:200

    Commentaires

    HIGH QUALITY

    Restrictions

    For Research Use only
  • Format

    Liquid

    Buffer

    PBS with 0.02 % sodium azide,50 % glycerol, pH 7.3.

    Agent conservateur

    Sodium azide

    Précaution d'utilisation

    This product contains Sodium azide: a POISONOUS AND HAZARDOUS SUBSTANCE which should be handled by trained staff only.

    Stock

    -20 °C

    Stockage commentaire

    Store at -20°C. Avoid freeze / thaw cycles.
  • Antigène

    Nucleolin (NCL)

    Autre désignation

    NCL

    Sujet

    Nucleolin (NCL), a eukaryotic nucleolar phosphoprotein, is involved in the synthesis and maturation of ribosomes. It is located mainly in dense fibrillar regions of the nucleolus. Human NCL gene consists of 14 exons with 13 introns and spans approximately 11kb. The intron 11 of the NCL gene encodes a small nucleolar RNA, termed U20.,NCL,C23,Nsr1,nucleolin,Epigenetics & Nuclear Signaling,RNA Binding,Cardiovascular,Angiogenesis,NCL

    Poids moléculaire

    76 kDa

    ID gène

    4691

    UniProt

    P19338

    Pathways

    Ribonucleoprotein Complex Subunit Organization
Vous êtes ici:
Chat with us!