NCOA2 anticorps (AA 550-820)
Aperçu rapide pour NCOA2 anticorps (AA 550-820) (ABIN6144413)
Antigène
Voir toutes NCOA2 AnticorpsReactivité
Hôte
Clonalité
Conjugué
Application
-
-
Épitope
- AA 550-820
-
Séquence
- SSLASPDLKM GNLQNSPVNM NPPPLSKMGS LDSKDCFGLY GEPSEGTTGQ AESSCHPGEQ KETNDPNLPP AVSSERADGQ SRLHDSKGQT KLLQLLTTKS DQMEPSPLAS SLSDTNKDST GSLPGSGSTH GTSLKEKHKI LHRLLQDSSS PVDLAKLTAE ATGKDLSQES SSTAPGSEVT IKQEPVSPKK KENALLRYLL DKDDTKDIGL PEITPKLERL DSKTDPASNT KLIAMKTEKE EMSFEPGDQP GSELDNLEEI LDDLQNSQLP Q
-
Réactivité croisée
- Humain, Souris, Rat
-
Attributs du produit
- Polyclonal Antibodies
-
Immunogène
- Recombinant fusion protein containing a sequence corresponding to amino acids 550-820 of human NCOA2 (NP_006531.1).
-
Isotype
- IgG
-
-
-
-
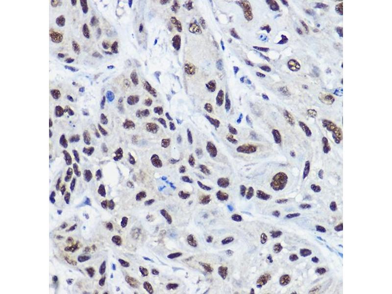
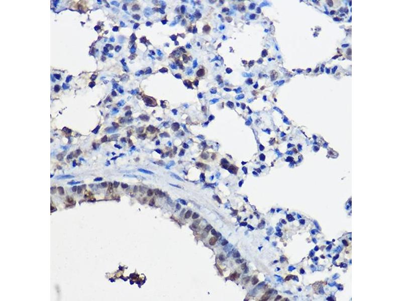
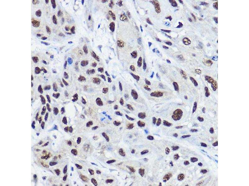
Indications d'application
- WB,1:500 - 1:2000,IHC,1:50 - 1:200
-
Commentaires
-
HIGH QUALITY
-
Restrictions
- For Research Use only
-
-
-
Format
- Liquid
-
Buffer
- PBS with 0.02 % sodium azide,50 % glycerol, pH 7.3.
-
Agent conservateur
- Sodium azide
-
Précaution d'utilisation
- This product contains Sodium azide: a POISONOUS AND HAZARDOUS SUBSTANCE which should be handled by trained staff only.
-
Stock
- -20 °C
-
Stockage commentaire
- Store at -20°C. Avoid freeze / thaw cycles.
-
-
- NCOA2 (Nuclear Receptor Coactivator 2 (NCOA2))
-
Autre désignation
- NCOA2
-
Sujet
- The protein encoded by this gene functions as a transcriptional coactivator for nuclear hormone receptors, including steroid, thyroid, retinoid, and vitamin D receptors. The encoded protein acts as an intermediary factor for the ligand-dependent activity of these nuclear receptors, which regulate their target genes upon binding of cognate response elements. This gene has been found to be involved in translocations that result in fusions with other genes in various cancers, including the lysine acetyltransferase 6A (KAT6A) gene in acute myeloid leukemia, the ETS variant 6 (ETV6) gene in acute lymphoblastic leukemia, and the hes related family bHLH transcription factor with YRPW motif 1 (HEY1) gene in mesenchymal chondrosarcoma. Alternative splicing results in multiple transcript variants.,NCOA2,GRIP1,KAT13C,NCoA-2,SRC2,TIF2,bHLHe75,Epigenetics & Nuclear Signaling,Nuclear Receptor Signaling,Cancer,Endocrine & Metabolism,Lipid Metabolism,Endocrine and metabolic diseases,Obesity,NCOA2
-
Poids moléculaire
- 159 kDa
-
ID gène
- 10499
-
UniProt
- Q15596
-
Pathways
- Intracellular Steroid Hormone Receptor Signaling Pathway, Regulation of Intracellular Steroid Hormone Receptor Signaling, Nuclear Hormone Receptor Binding, Regulation of Lipid Metabolism by PPARalpha, Regulation of Leukocyte Mediated Immunity, Positive Regulation of Immune Effector Process, CXCR4-mediated Signaling Events, Thromboxane A2 Receptor Signaling
Antigène
-