Tel:
+49 (0)241 95 163 153
Fax:
+49 (0)241 95 163 155
E-Mail:
orders@anticorps-enligne.fr

NONO anticorps (AA 1-300)

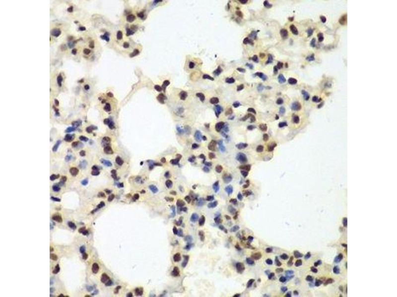
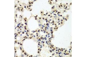
Cet anticorps anti-NONO Polyclonal Lapin (ABIN6144713) détecte spécifiquement NONO dans WB, IHC et IF. L’anticorps est réactif avec des échantillons de Humain.
N° du produit ABIN6144713
320,00 €
Plus frais de livraison 40,00 € et TVA
Destination: France
Envoi sous 8 à 10 jours ouvrables

Aperçu rapide pour NONO anticorps (AA 1-300) (ABIN6144713)

Antigène

Voir toutes NONO Anticorps
NONO (Non-POU Domain Containing, Octamer-Binding (NONO))

Reactivité

  • 88
  • 48
  • 44
  • 15
  • 13
  • 6
  • 5
  • 5
  • 5
  • 3
  • 3
  • 1
Humain

Hôte

  • 81
  • 5
  • 2
  • 1
Lapin

Clonalité

  • 61
  • 28
Polyclonal

Conjugué

  • 45
  • 6
  • 3
  • 3
  • 3
  • 3
  • 3
  • 3
  • 3
  • 2
  • 1
  • 1
  • 1
  • 1
  • 1
  • 1
  • 1
  • 1
  • 1
  • 1
  • 1
  • 1
  • 1
  • 1
  • 1
Cet anticorp NONO est non-conjugé

Application

  • 69
  • 42
  • 26
  • 23
  • 17
  • 14
  • 14
  • 13
  • 10
  • 6
  • 3
  • 2
  • 1
  • 1
  • 1
Western Blotting (WB), Immunohistochemistry (IHC), Immunofluorescence (IF)
  • Épitope

    • 15
    • 8
    • 8
    • 6
    • 4
    • 3
    • 2
    • 2
    • 2
    • 1
    • 1
    • 1
    • 1
    • 1
    • 1
    • 1
    • 1
    AA 1-300

    Séquence

    MQSNKTFNLE KQNHTPRKHH QHHHQQQHHQ QQQQQPPPPP IPANGQQASS QNEGLTIDLK NFRKPGEKTF TQRSRLFVGN LPPDITEEEM RKLFEKYGKA GEVFIHKDKG FGFIRLETRT LAEIAKVELD NMPLRGKQLR VRFACHSASL TVRNLPQYVS NELLEEAFSV FGQVERAVVI VDDRGRPSGK GIVEFSGKPA ARKALDRCSE GSFLLTTFPR PVTVEPMDQL DDEEGLPEKL VIKNQQFHKE REQPPRFAQP GSFEYEYAMR WKALIEMEKQ QQDQVDRNIK EAREKLEMEM

     Réactivité croisée

    Humain, Souris, Rat

    Attributs du produit

    Polyclonal Antibodies

    Immunogène

    Recombinant fusion protein containing a sequence corresponding to amino acids 1-300 of human NONO/p54nrb (NP_001138881.1).

    Isotype

    IgG
  • Indications d'application

    WB,1:500 - 1:2000,IHC,1:50 - 1:200,IF,1:50 - 1:200

    Commentaires

    HIGH QUALITY

    Restrictions

    For Research Use only
  • Format

    Liquid

    Buffer

    PBS with 0.02 % sodium azide,50 % glycerol, pH 7.3.

    Agent conservateur

    Sodium azide

    Précaution d'utilisation

    This product contains Sodium azide: a POISONOUS AND HAZARDOUS SUBSTANCE which should be handled by trained staff only.

    Stock

    -20 °C

    Stockage commentaire

    Store at -20°C. Avoid freeze / thaw cycles.
  • Antigène

    NONO (Non-POU Domain Containing, Octamer-Binding (NONO))

    Autre désignation

    NONO

    Sujet

    This gene encodes an RNA-binding protein which plays various roles in the nucleus, including transcriptional regulation and RNA splicing. A rearrangement between this gene and the transcription factor E3 gene has been observed in papillary renal cell carcinoma. Alternatively spliced transcript variants have been described. Pseudogenes exist on Chromosomes 2 and 16.,NONO,MRXS34,NMT55,NRB54,P54,P54NRB,PPP1R114,Epigenetics & Nuclear Signaling,RNA Binding,NONO

    Poids moléculaire

    43 kDa/54 kDa

    ID gène

    4841

    UniProt

    Q15233
Vous êtes ici:
Chat with us!