Tel:
+49 (0)241 95 163 153
Fax:
+49 (0)241 95 163 155
E-Mail:
orders@anticorps-enligne.fr

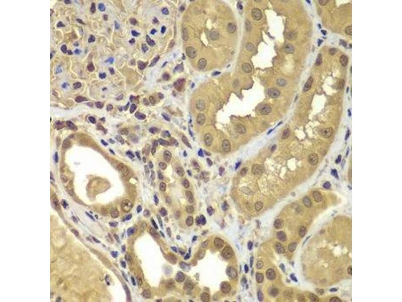
Sortilin 1 anticorps (AA 520-760)

Cet anticorps Lapin Polyclonal détecte spécifiquement Sortilin 1 dans WB. Il présente une réactivité avec des échantillons de Humain.
N° du produit ABIN6148281
320,00 €
Plus frais de livraison 40,00 € et TVA
Destination: France
Envoi sous 8 à 10 jours ouvrables

Aperçu rapide pour Sortilin 1 anticorps (AA 520-760) (ABIN6148281)

Antigène

Voir toutes Sortilin 1 (SORT1) Anticorps
Sortilin 1 (SORT1)

Reactivité

  • 74
  • 55
  • 50
  • 2
  • 1
  • 1
  • 1
  • 1
  • 1
Humain

Hôte

  • 69
  • 6
  • 5
  • 1
Lapin

Clonalité

  • 49
  • 32
Polyclonal

Conjugué

  • 29
  • 7
  • 5
  • 3
  • 3
  • 3
  • 3
  • 3
  • 3
  • 3
  • 2
  • 2
  • 2
  • 1
  • 1
  • 1
  • 1
  • 1
  • 1
  • 1
  • 1
  • 1
  • 1
  • 1
  • 1
  • 1
Cet anticorp Sortilin 1 est non-conjugé

Application

  • 58
  • 32
  • 20
  • 16
  • 13
  • 13
  • 4
  • 4
  • 4
  • 3
  • 3
  • 1
Western Blotting (WB)
  • Épitope

    • 16
    • 5
    • 5
    • 5
    • 3
    • 2
    • 2
    • 2
    • 2
    • 2
    • 1
    • 1
    AA 520-760

    Séquence

    EGPHYYTILD SGGIIVAIEH SSRPINVIKF STDEGQCWQT YTFTRDPIYF TGLASEPGAR SMNISIWGFT ESFLTSQWVS YTIDFKDILE RNCEEKDYTI WLAHSTDPED YEDGCILGYK EQFLRLRKSS VCQNGRDYVV TKQPSICLCS LEDFLCDFGY YRPENDSKCV EQPELKGHDL EFCLYGREEH LTTNGYRKIP GDKCQGGVNP VREVKDLKKK CTSNFLSPEK QNSKSNSVPI I

     Réactivité croisée

    Humain, Souris, Rat

    Attributs du produit

    Polyclonal Antibodies

    Immunogène

    Recombinant fusion protein containing a sequence corresponding to amino acids 520-760 of human SORT1 (NP_002950.3).

    Isotype

    IgG
  • Indications d'application

    WB,1:500 - 1:2000

    Commentaires

    HIGH QUALITY

    Restrictions

    For Research Use only
  • Format

    Liquid

    Buffer

    PBS with 0.02 % sodium azide,50 % glycerol, pH 7.3.

    Agent conservateur

    Sodium azide

    Précaution d'utilisation

    This product contains Sodium azide: a POISONOUS AND HAZARDOUS SUBSTANCE which should be handled by trained staff only.

    Stock

    -20 °C

    Stockage commentaire

    Store at -20°C. Avoid freeze / thaw cycles.
  • Antigène

    Sortilin 1 (SORT1)

    Autre désignation

    SORT1

    Sujet

    This gene encodes a member of the VPS10-related sortilin family of proteins. The encoded preproprotein is proteolytically processed by furin to generate the mature receptor. This receptor plays a role in the trafficking of different proteins to either the cell surface, or subcellular compartments such as lysosomes and endosomes. Expression levels of this gene may influence the risk of myocardial infarction in human patients. Alternative splicing results in multiple transcript variants.,SORT1,Gp95,LDLCQ6,NT3,NTR3,sortilin,Cancer,Signal Transduction,G protein signaling,G-Protein-Coupled Receptors(GPCR),Cell Biology & Developmental Biology,Apoptosis,Endocrine & Metabolism,Lipid Metabolism,Neuroscience,Neurodegenerative Diseases,Amyloid Plaque and Neurofibrillary Tangle Formation in Alzheimer's Disease,Cardiovascular,Heart,Lipids,Lipoproteins/Apolipoproteins,Cardiovascular diseases,Heart disease,SORT1

    Poids moléculaire

    77 kDa/92 kDa

    ID gène

    6272

    UniProt

    Q99523

    Pathways

    Neurotrophin Signaling Pathway
Vous êtes ici:
Chat with us!