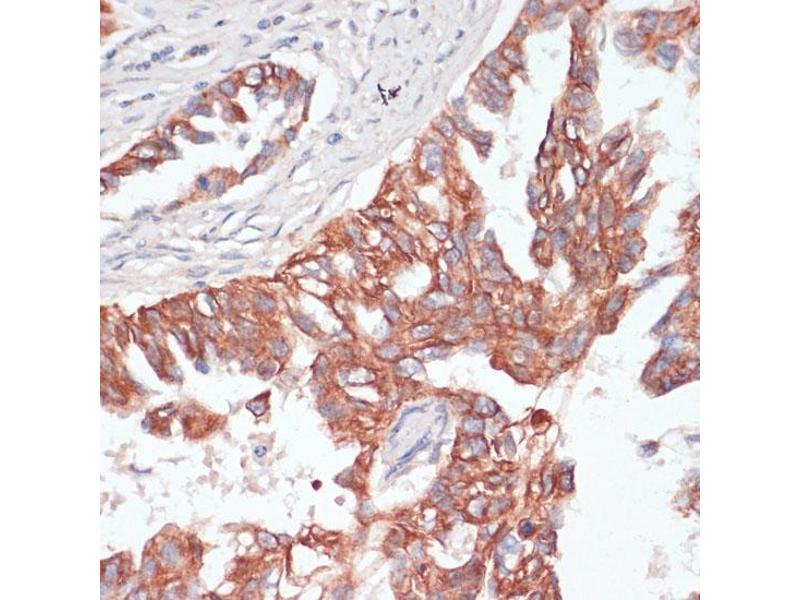
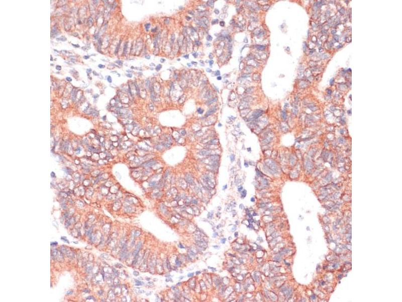
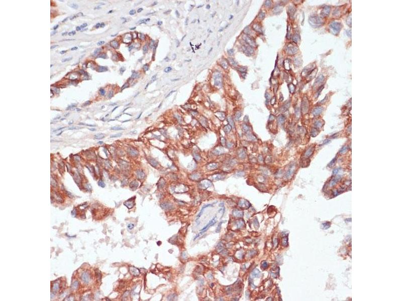
TIAM1
Reactivité: Humain
ELISA
Hôte: Lapin
Polyclonal
Biotin
Indications d'application
WB,1:200 - 1:2000,IHC,1:50 - 1:200
Restrictions
For Research Use only
Format
Liquid
Buffer
PBS with 0.02 % sodium azide,50 % glycerol, pH 7.3.
Agent conservateur
Sodium azide
Précaution d'utilisation
This product contains Sodium azide: a POISONOUS AND HAZARDOUS SUBSTANCE which should be handled by trained staff only.
Stock
-20 °C
Stockage commentaire
Store at -20°C. Avoid freeze / thaw cycles.
Antigène
TIAM1
(T-Cell Lymphoma Invasion and Metastasis 1 (TIAM1))
Autre désignation
TIAM1
Sujet
Guanyl-nucleotide exchange factor that activates RHO-like proteins and connects extracellular signals to cytoskeletal activities. Activates RAC1, CDC42, and to a lesser extent RHOA and their downstream signaling to regulate processes like cell adhesion and cell migration.,TIAM1,Signal Transduction,G protein signaling,Cell Biology & Developmental Biology,Cytoskeleton,Actins,TIAM1