Tel:
+49 (0)241 95 163 153
Fax:
+49 (0)241 95 163 155
E-Mail:
orders@anticorps-enligne.fr

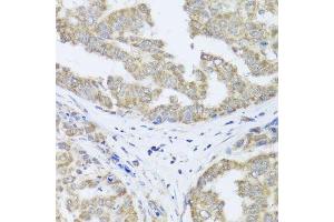
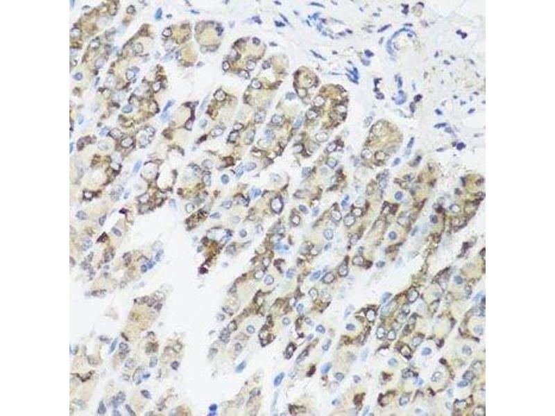
TIMM10B anticorps (AA 1-103)

L’anticorps anti-TIMM10B Polyclonal Lapin est utilisé pour la détection de TIMM10B dans des échantillons de Humain. Il a été validé pour WB et IHC.
N° du produit ABIN6149158
320,00 €
Plus frais de livraison 40,00 € et TVA
Destination: France
Envoi sous 8 à 10 jours ouvrables

Aperçu rapide pour TIMM10B anticorps (AA 1-103) (ABIN6149158)

Antigène

Voir toutes TIMM10B (FXC1) Anticorps
TIMM10B (FXC1) (Fracture Callus 1 Homolog (FXC1))

Reactivité

  • 18
  • 3
  • 2
Humain

Hôte

  • 14
  • 4
Lapin

Clonalité

  • 16
  • 2
Polyclonal

Conjugué

  • 12
  • 2
  • 2
  • 2
Cet anticorp TIMM10B est non-conjugé

Application

  • 13
  • 9
  • 6
  • 1
  • 1
Western Blotting (WB), Immunohistochemistry (IHC)
  • Épitope

    • 13
    • 1
    • 1
    • 1
    • 1
    AA 1-103

    Séquence

    MERQQQQQQQ LRNLRDFLLV YNRMTELCFQ RCVPSLHHRA LDAEEEACLH SCAGKLIHSN HRLMAAYVQL MPALVQRRIA DYEAASAVPG VAAEQPGVSP SGS

     Réactivité croisée

    Humain, Souris

    Attributs du produit

    Polyclonal Antibodies

    Immunogène

    Recombinant fusion protein containing a sequence corresponding to amino acids 1-103 of human TIMM10B (NP_036324.1).

    Isotype

    IgG
  • Indications d'application

    WB,1:500 - 1:2000,IHC,1:50 - 1:100

    Commentaires

    HIGH QUALITY

    Restrictions

    For Research Use only
  • Format

    Liquid

    Buffer

    PBS with 0.02 % sodium azide,50 % glycerol, pH 7.3.

    Agent conservateur

    Sodium azide

    Précaution d'utilisation

    This product contains Sodium azide: a POISONOUS AND HAZARDOUS SUBSTANCE which should be handled by trained staff only.

    Stock

    -20 °C

    Stockage commentaire

    Store at -20°C. Avoid freeze / thaw cycles.
  • Antigène

    TIMM10B (FXC1) (Fracture Callus 1 Homolog (FXC1))

    Autre désignation

    TIMM10B

    Sujet

    FXC1, or TIMM10B, belongs to a family of evolutionarily conserved proteins that are organized in heterooligomeric complexes in the mitochondrial intermembrane space. These proteins mediate the import and insertion of hydrophobic membrane proteins into the mitochondrial inner membrane.[supplied by OMIM, Apr 2004],TIMM10B,FXC1,TIM10B,Tim9b,Signal Transduction,Endocrine & Metabolism,Mitochondrial metabolism,TIMM10B

    Poids moléculaire

    11 kDa

    ID gène

    26515

    UniProt

    Q9Y5J6

    Pathways

    SARS-CoV-2 Protein Interactome
Vous êtes ici:
Chat with us!