TPT1 anticorps (AA 1-172)
Aperçu rapide pour TPT1 anticorps (AA 1-172) (ABIN6149454)
Antigène
Voir toutes TPT1 AnticorpsReactivité
Hôte
Clonalité
Conjugué
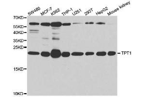
Application
-
-
Épitope
- AA 1-172
-
Séquence
- MIIYRDLISH DEMFSDIYKI REIADGLCLE VEGKMVSRTE GNIDDSLIGG NASAEGPEGE GTESTVITGV DIVMNHHLQE TSFTKEAYKK YIKDYMKSIK GKLEEQRPER VKPFMTGAAE QIKHILANFK NYQFFIGENM NPDGMVALLD YREDGVTPYM IFFKDGLEME KC
-
Réactivité croisée
- Humain, Souris, Rat
-
Attributs du produit
- Polyclonal Antibodies
-
Immunogène
- Recombinant fusion protein containing a sequence corresponding to amino acids 1-172 of human TCTP/TCTP/TPT1 (NP_003286.1).
-
Isotype
- IgG
-
-
-
-
Indications d'application
- WB,1:500 - 1:2000
-
Commentaires
-
HIGH QUALITY
-
Restrictions
- For Research Use only
-
-
-
Format
- Liquid
-
Buffer
- PBS with 0.02 % sodium azide,50 % glycerol, pH 7.3.
-
Agent conservateur
- Sodium azide
-
Précaution d'utilisation
- This product contains Sodium azide: a POISONOUS AND HAZARDOUS SUBSTANCE which should be handled by trained staff only.
-
Stock
- -20 °C
-
Stockage commentaire
- Store at -20°C. Avoid freeze / thaw cycles.
-
-
- TPT1 (Tumor Protein, Translationally-Controlled 1 (TPT1))
-
Autre désignation
- TPT1
-
Sujet
- Involved in calcium binding and microtubule stabilization.,TPT1,HRF,TCTP,p02,p23,Epigenetics & Nuclear Signaling,RNA Binding,Cell Biology & Developmental Biology,Apoptosis,Immunology & Inflammation,TPT1
-
Poids moléculaire
- 15 kDa/19 kDa
-
ID gène
- 7178
-
UniProt
- P13693
-
Pathways
- Response to Water Deprivation, Regulation of Cell Size, Negative Regulation of intrinsic apoptotic Signaling
Antigène
-