Tel:
+49 (0)241 95 163 153
Fax:
+49 (0)241 95 163 155
E-Mail:
orders@anticorps-enligne.fr

14-3-3 zeta anticorps (AA 1-100)

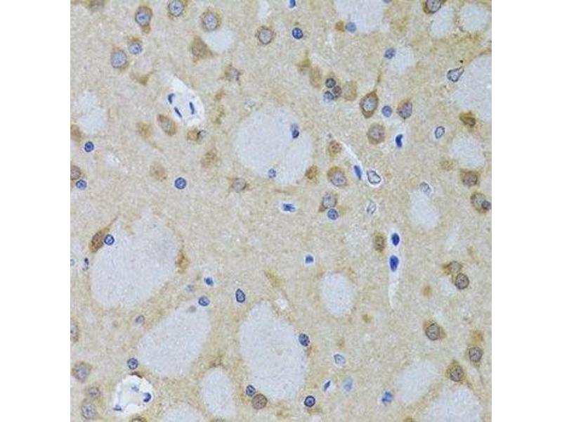
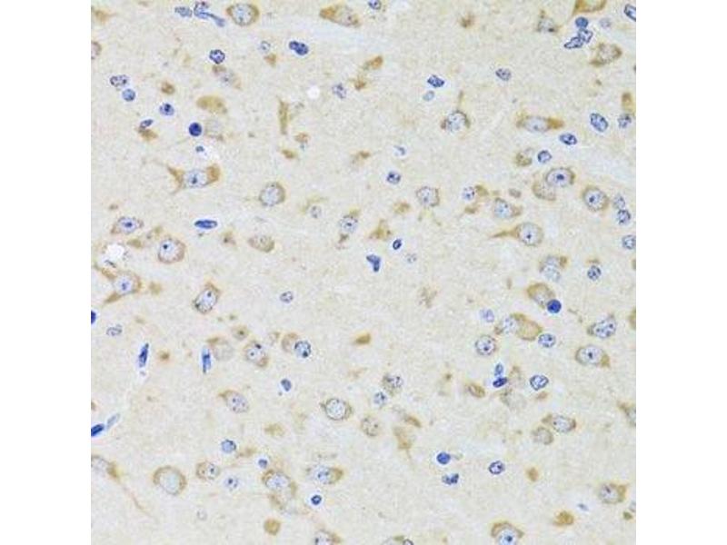
Cet anticorps anti-14-3-3 zeta Polyclonal Lapin (ABIN6150351) détecte spécifiquement 14-3-3 zeta dans WB, IHC et IF. L’anticorps est réactif avec des échantillons de Humain.
N° du produit ABIN6150351
320,00 €
Plus frais de livraison 40,00 € et TVA
Destination: France
Envoi sous 8 à 10 jours ouvrables

Aperçu rapide pour 14-3-3 zeta anticorps (AA 1-100) (ABIN6150351)

Antigène

Voir toutes 14-3-3 zeta (YWHAZ) Anticorps
14-3-3 zeta (YWHAZ)

Reactivité

  • 139
  • 82
  • 66
  • 11
  • 10
  • 8
  • 8
  • 8
  • 6
  • 5
  • 5
  • 4
  • 3
  • 2
  • 1
  • 1
  • 1
Humain

Hôte

  • 125
  • 14
Lapin

Clonalité

  • 126
  • 13
Polyclonal

Conjugué

  • 77
  • 10
  • 8
  • 6
  • 6
  • 4
  • 2
  • 2
  • 2
  • 2
  • 2
  • 2
  • 2
  • 2
  • 2
  • 2
  • 2
  • 1
  • 1
  • 1
  • 1
  • 1
  • 1
Cet anticorp 14-3-3 zeta est non-conjugé

Application

  • 125
  • 60
  • 57
  • 34
  • 32
  • 23
  • 13
  • 13
  • 11
  • 10
  • 3
  • 3
  • 1
Western Blotting (WB), Immunohistochemistry (IHC), Immunofluorescence (IF)
  • Épitope

    • 30
    • 20
    • 9
    • 9
    • 7
    • 7
    • 7
    • 7
    • 5
    • 3
    • 3
    • 2
    • 2
    • 2
    • 2
    • 2
    • 1
    • 1
    • 1
    • 1
    • 1
    • 1
    • 1
    • 1
    • 1
    • 1
    • 1
    • 1
    • 1
    • 1
    • 1
    AA 1-100

    Séquence

    MDKNELVQKA KLAEQAERYD DMAACMKSVT EQGAELSNEE RNLLSVAYKN VVGARRSSWR VVSSIEQKTE GAEKKQQMAR EYREKIETEL RDICNDVLSL

     Réactivité croisée

    Humain, Souris, Rat

    Attributs du produit

    Polyclonal Antibodies

    Immunogène

    A synthetic peptide corresponding to a sequence within amino acids 1-100 of human YWHAZ (NP_001129171.1).

    Isotype

    IgG
  • Indications d'application

    WB,1:500 - 1:2000,IHC,1:50 - 1:200,IF,1:50 - 1:200

    Commentaires

    HIGH QUALITY

    Restrictions

    For Research Use only
  • Format

    Liquid

    Buffer

    PBS with 0.02 % sodium azide,50 % glycerol, pH 7.3.

    Agent conservateur

    Sodium azide

    Précaution d'utilisation

    This product contains Sodium azide: a POISONOUS AND HAZARDOUS SUBSTANCE which should be handled by trained staff only.

    Stock

    -20 °C

    Stockage commentaire

    Store at -20°C. Avoid freeze / thaw cycles.
  • Antigène

    14-3-3 zeta (YWHAZ)

    Autre désignation

    YWHAZ

    Sujet

    This gene product belongs to the 14-3-3 family of proteins which mediate signal transduction by binding to phosphoserine-containing proteins. This highly conserved protein family is found in both plants and mammals, and this protein is 99 % identical to the mouse, rat and sheep orthologs. The encoded protein interacts with IRS1 protein, suggesting a role in regulating insulin sensitivity. Several transcript variants that differ in the 5' UTR but that encode the same protein have been identified for this gene.,YWHAZ,14-3-3-zeta,HEL-S-3,HEL-S-93,HEL4,KCIP-1,YWHAD,Epigenetics & Nuclear Signaling,RNA Binding,Signal Transduction,PI3K-Akt Signaling Pathway,MAPK-Erk Signaling Pathway,MAPK-JNK Signaling Pathway,Cell Biology & Developmental Biology,Apoptosis,Mitochondrial Control of Apoptosis,Cell Cycle,G2/M DNA Damage Checkpoint,Cytoskeleton,Actins,Hippo Signaling Pathway,Immunology & Inflammation,Neuroscience,Cell Type Marker,Neurodegenerative Diseases,Amyloid Plaque and Neurofibrillary Tangle Formation in Alzheimer's Disease,Neurodegenerative Diseases Markers,YWHAZ

    Poids moléculaire

    19 kDa/27 kDa

    ID gène

    7534

    UniProt

    P63104

    Pathways

    Apoptose, Hormone Transport, Myometrial Relaxation and Contraction, Regulation of Leukocyte Mediated Immunity, Positive Regulation of Immune Effector Process, Synaptic Membrane, Production of Molecular Mediator of Immune Response, Maintenance of Protein Location
Vous êtes ici:
Chat with us!