Il existe 4+ publications pour ce produit.
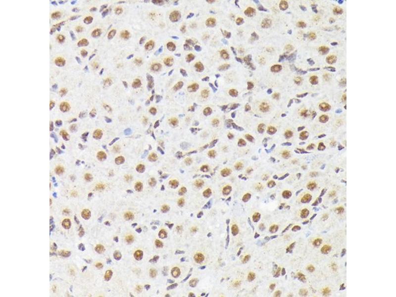
L’anticorps anti-XRCC2 Polyclonal Lapin est utilisé pour la détection de XRCC2 dans des échantillons de Humain, Souris et Rat. Il a été validé pour WB et IHC.
This product contains sodium azide: a POISONOUS AND HAZARDOUS SUBSTANCE which should be handled by trained staff only.
Conseil sur la manipulation
Avoid freeze / thaw cycles
Stock
-20 °C/-80 °C
Wang, Sun, Zhu, Sun, Ma, Wang, Lu, Chen, Xu: "Quantitative proteomic analysis revealed changes in protein synthesis and mitochondrial functions after acute DNA damage in mouse neural stem cells." dans: Neuroscience letters, Vol. 653, pp. 355-361, (2018) (PubMed).
Zhang, Tang, Jiang, Mao: "The transcription factor GATA3 is required for homologous recombination repair by regulating CtIP expression." dans: Oncogene, Vol. 36, Issue 36, pp. 5168-5176, (2017) (PubMed).
Deng, Zou, Xiong, Wang, Engelhardt, Ye, Yan, Qiu: "Human Parvovirus Infection of Human Airway Epithelia Induces Pyroptotic Cell Death by Inhibiting Apoptosis." dans: Journal of virology, Vol. 91, Issue 24, (2017) (PubMed).
Dong, Wang, Wang, Zhang, Zhu, Gao, Yang, Qin, Liang, Chen, Deng, Ning, Liang, Gao, Xu: "A stress-induced cellular aging model with postnatal neural stem cells." dans: Cell death & disease, Vol. 5, pp. e1116, (2014) (PubMed).
Antigène
XRCC2
(X-Ray Repair Complementing Defective Repair in Chinese Hamster Cells 2 (XRCC2))
Autre désignation
XRCC2
Sujet
This gene encodes a member of the RecA/Rad51-related protein family that participates in homologous recombination to maintain chromosome stability and repair DNA damage. This gene is involved in the repair of DNA double-strand breaks by homologous recombination and it functionally complements Chinese hamster irs1, a repair-deficient mutant that exhibits hypersensitivity to a number of different DNA-damaging agents. [provided by RefSeq, Jul 2008] Synonyms: DKFZp781P0919