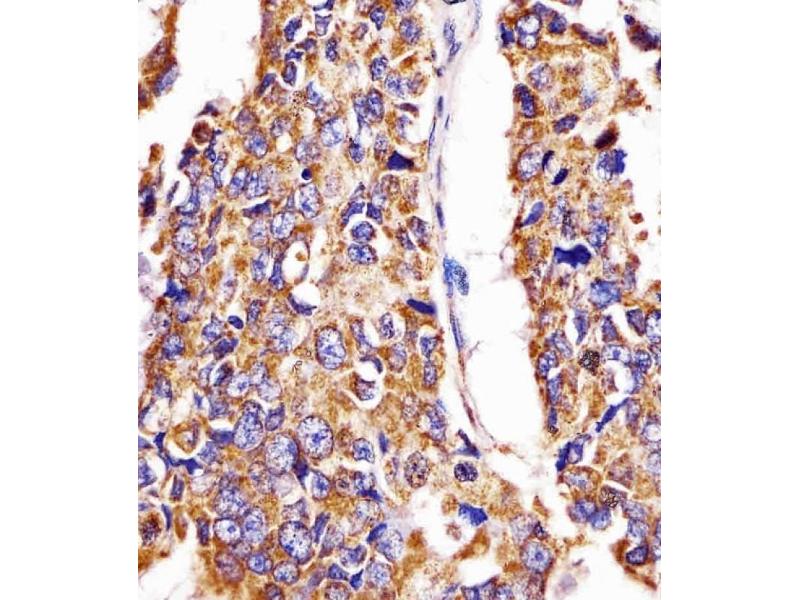
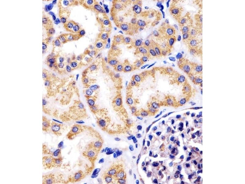
HSPD1 anticorps (AA 340-374)
Aperçu rapide pour HSPD1 anticorps (AA 340-374) (ABIN6242389)
Antigène
Voir toutes HSPD1 AnticorpsReactivité
Hôte
Clonalité
Conjugué
Application
Clone
-
-
Épitope
- AA 340-374
-
Homologie
- B
-
Purification
- This antibody is purified through a protein A column, followed by peptide affinity purification.
-
Immunogène
- This Hsp60 antibody is generated from a rabbit immunized with a KLH conjugated synthetic peptide between 340-374 amino acids from the human region of human Hsp60.
-
Isotype
- Ig Fraction
-
-
-
-
Indications d'application
- IF: 1:25. WB: 1:2000. WB: 1:2000. IHC-P: 1:25. IHC-P: 1:25
-
Restrictions
- For Research Use only
-
-
-
Format
- Liquid
-
Buffer
- Purified polyclonal antibody supplied in PBS with 0.09 % (W/V) sodium azide.
-
Agent conservateur
- Sodium azide
-
Précaution d'utilisation
- This product contains Sodium azide: a POISONOUS AND HAZARDOUS SUBSTANCE which should be handled by trained staff only.
-
Stock
- 4 °C,-20 °C
-
Date de péremption
- 6 months
-
-
- HSPD1 (Heat Shock 60kDa Protein 1 (Chaperonin) (HSPD1))
-
Autre désignation
- Hsp60
-
Sujet
- Implicated in mitochondrial protein import and macromolecular assembly. May facilitate the correct folding of imported proteins. May also prevent misfolding and promote the refolding and proper assembly of unfolded polypeptides generated under stress conditions in the mitochondrial matrix.
-
Poids moléculaire
- 61055
-
UniProt
- P10809
-
Pathways
- Activation of Innate immune Response, Regulation of Leukocyte Mediated Immunity, Positive Regulation of Immune Effector Process, Production of Molecular Mediator of Immune Response, Positive Regulation of Endopeptidase Activity
Antigène
-