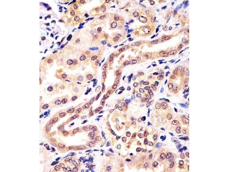
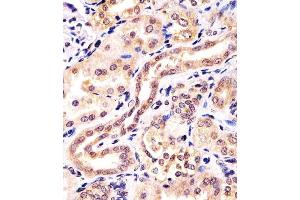
L’anticorps anti-KCTD11 Polyclonal Lapin est utilisé pour la détection de KCTD11 dans des échantillons de Humain et Souris. Il a été validé pour WB et IHC (p).
Plays a role as a marker and a regulator of neuronal differentiation, Up-regulated by a variety of neurogenic signals, such as retinoic acid, epidermal growth factor/EGF and NGFB/nerve growth factor. Induces apoptosis, growth arrest and the expression of cyclin-dependent kinase inhibitor CDKN1B. Plays a role as a tumor repressor and inhibits cell growth and tumorigenicity of medulloblastoma (MDB). Acts as an E3 ubiquitin-protein ligase towards HDAC1, leading to its proteasomal degradation. Functions as antagonist of the Hedgehog pathway on cell proliferation and differentiation by affecting the nuclear transfer of transcrition factor GLI1, thus maintaining cerebellar granule cells in undifferentiated state, this effect probably occurs via HDAC1 down-regulation, keeping GLI1 acetylated and inactive. When knock- down, Hedgehog antagonism is impaired and proliferation of granule cells is sustained. Activates the caspase cascade.