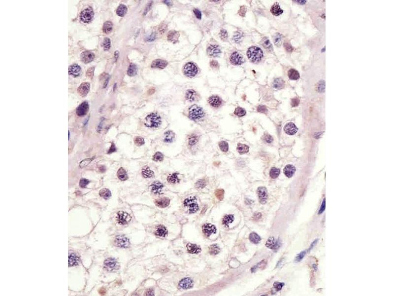
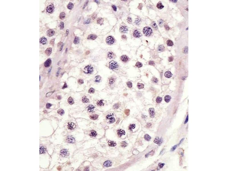
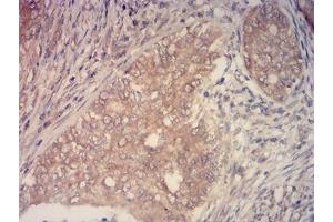
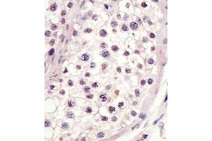
MLL3 anticorps (C-Term)
Aperçu rapide pour MLL3 anticorps (C-Term) (ABIN6242808)
Antigène
Reactivité
Hôte
Clonalité
Conjugué
Application
Clone
-
-
Épitope
- AA 3784-3818, C-Term
-
Purification
- This antibody is purified through a protein A column, followed by peptide affinity purification.
-
Immunogène
- This MLL3 antibody is generated from a rabbit immunized with a KLH conjugated synthetic peptide between 3784-3818 amino acids from the C-terminal region of human MLL3.
-
Isotype
- Ig Fraction
-
-
-
-
Indications d'application
- IHC-P: 1:25
-
Restrictions
- For Research Use only
-
-
-
Format
- Liquid
-
Buffer
- Purified polyclonal antibody supplied in PBS with 0.09 % (W/V) sodium azide.
-
Agent conservateur
- Sodium azide
-
Précaution d'utilisation
- This product contains Sodium azide: a POISONOUS AND HAZARDOUS SUBSTANCE which should be handled by trained staff only.
-
Stock
- 4 °C,-20 °C
-
Date de péremption
- 6 months
-
-
- MLL3 (KMT2C) (Histone-lysine N-methyltransferase 2C (KMT2C))
-
Autre désignation
- MLL3
-
Sujet
- Histone methyltransferase. Methylates 'Lys-4' of histone H3. H3 'Lys-4' methylation represents a specific tag for epigenetic transcriptional activation. Central component of the MLL2/3 complex, a coactivator complex of nuclear receptors, involved in transcriptional coactivation. KMT2C/MLL3 may be a catalytic subunit of this complex. May be involved in leukemogenesis and developmental disorder.
-
Poids moléculaire
- 541370
-
UniProt
- Q8NEZ4
-
Pathways
- L'effet Warburg
Antigène
-