×
Pour une meilleure utilisation, nous vous conseillons d’activer Javascript dans votre navigateur.
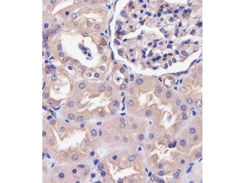
COPS7B anticorps (AA 61-95)
Cet anticorps Lapin Polyclonal détecte spécifiquement COPS7B dans WB, IHC (p) et FACS. Il présente une réactivité avec des échantillons de Humain.
N° du produit ABIN6243119
434,77 €
Plus frais de livraison 40,00 € et TVA
50 μL ABIN6578706
200 μL ABIN6243119
50 μL ABIN6578706
200 μL ABIN6243119
Envoi sous 14 à 17 jours ouvrables
Aperçu rapide pour COPS7B anticorps (AA 61-95) (ABIN6243119)
Antigène
Voir toutes COPS7B Anticorps
COPS7B
(COP9 Signalosome Complex Subunit 7b (COPS7B))
Reactivité
Toutes les réactivités sur COPS7B Anticorps
Humain
Hôte
Toutes les hôtes sur COPS7B Anticorps
Lapin
Clonalité
Toutes les clonalités sur COPS7B Anticorps
Polyclonal
Conjugué
Tous les conjugués à travers COPS7B Anticorps
Cet anticorp COPS7B est non-conjugé
Application
Tous les applications à travers COPS7B Anticorps.
Western Blotting (WB), Immunohistochemistry (Paraffin-embedded Sections) (IHC (p)), Flow Cytometry (FACS)
Clone
RB56230
Détail du produit anti-COPS7B anticorps
(cache)
Épitope
Tous les épitopes à travers COPS7B Anticorps.
AA 61-95
Homologie
B
Purification
This antibody is purified through a protein A column, followed by peptide affinity purification.
Immunogène
This COPS7B antibody is generated from a rabbit immunized with a KLH conjugated synthetic peptide between 61-95 amino acids from human COPS7B.
Isotype
Ig Fraction
Alternatives
(show)
Information d'application
(cache)
Indications d'application
WB: 1:2000. IHC-P: 1:25. FC: 1:25
Restrictions
For Research Use only
Stockage
(cache)
Format
Liquid
Buffer
Purified polyclonal antibody supplied in PBS with 0.09 % (W/V) sodium azide.
Agent conservateur
Sodium azide
Précaution d'utilisation
This product contains Sodium azide: a POISONOUS AND HAZARDOUS SUBSTANCE which should be handled by trained staff only.
Stock
4 °C,-20 °C
Date de péremption
6 months
Détails sur COPS7B
(cache)
Antigène
COPS7B
(COP9 Signalosome Complex Subunit 7b (COPS7B))
Autre désignation
COPS7B
Sujet
Component of the COP9 signalosome complex (CSN), a complex involved in various cellular and developmental processes. The CSN complex is an essential regulator of the ubiquitin (Ubl) conjugation pathway by mediating the deneddylation of the cullin subunits of SCF-type E3 ligase complexes, leading to decrease the Ubl ligase activity of SCF-type complexes such as SCF, CSA or DDB2. The complex is also involved in phosphorylation of p53/TP53, JUN, I-kappa-B-alpha/NFKBIA, ITPK1 and IRF8/ICSBP, possibly via its association with CK2 and PKD kinases. CSN-dependent phosphorylation of TP53 and JUN promotes and protects degradation by the Ubl system, respectively.
Poids moléculaire
29622
UniProt
Q9H9Q2
Pathways
Cycle Cellulaire
Vus récemment
(cache)
Chat with us , powered by LiveChat