Tel:
+49 (0)241 95 163 153
Fax:
+49 (0)241 95 163 155
E-Mail:
orders@anticorps-enligne.fr

MRGPRD anticorps (C-Term)

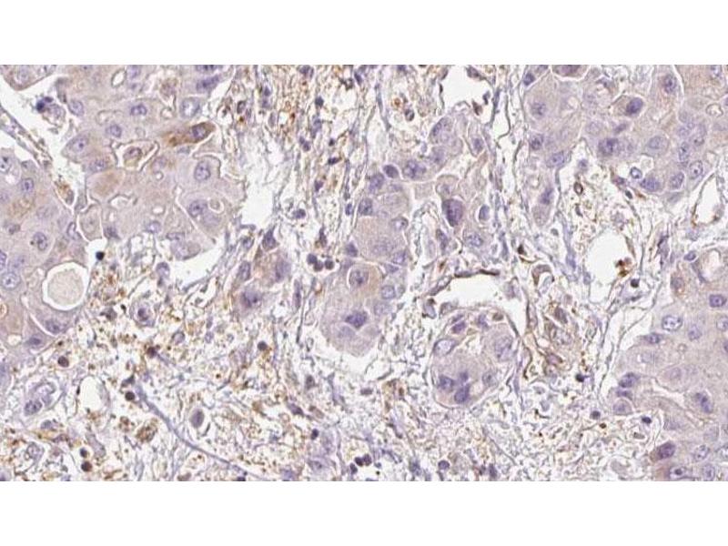
L’anticorps anti-MRGPRD Polyclonal Lapin est utilisé pour la détection de MRGPRD dans des échantillons de Humain. Il a été validé pour WB, IHC et ELISA.
N° du produit ABIN6256842
525,71 €
Plus frais de livraison 40,00 € et TVA
Destination: France
Envoi sous 9 à 11 jours ouvrables

Aperçu rapide pour MRGPRD anticorps (C-Term) (ABIN6256842)

Antigène

Voir toutes MRGPRD Anticorps
MRGPRD (MAS-Related GPR, Member D (MRGPRD))

Reactivité

  • 28
  • 4
  • 2
  • 1
Humain

Hôte

  • 29
  • 1
Lapin

Clonalité

  • 30
Polyclonal

Conjugué

  • 9
  • 1
  • 1
  • 1
  • 1
  • 1
  • 1
  • 1
  • 1
  • 1
  • 1
  • 1
  • 1
  • 1
  • 1
  • 1
  • 1
  • 1
  • 1
  • 1
  • 1
  • 1
Cet anticorp MRGPRD est non-conjugé

Application

  • 20
  • 13
  • 13
  • 7
  • 4
  • 4
  • 3
  • 1
  • 1
Western Blotting (WB), Immunohistochemistry (IHC), ELISA
  • Épitope

    • 15
    • 2
    • 2
    • 2
    • 1
    • 1
    • 1
    C-Term

    Specificité

    MRGRD Antibody detects endogenous levels of total MRGRD.

    Purification

    The antiserum was purified by peptide affinity chromatography using SulfoLinkTM Coupling Resin (Thermo Fisher Scientific).

    Immunogène

    A synthesized peptide derived from human MRGRD, corresponding to a region within C-terminal amino acids.

    Isotype

    IgG
  • Indications d'application

    WB 1:500-1:2000, IHC 1:50-1:200, ELISA(peptide) 1:20000-1:40000

    Restrictions

    For Research Use only
  • Format

    Liquid

    Concentration

    1 mg/mL

    Buffer

    Rabbit IgG in phosphate buffered saline, pH 7.4, 150 mM NaCl, 0.02 % sodium azide and 50 % glycerol.

    Agent conservateur

    Sodium azide

    Précaution d'utilisation

    This product contains Sodium azide: a POISONOUS AND HAZARDOUS SUBSTANCE which should be handled by trained staff only.

    Stock

    -20 °C

    Date de péremption

    12 months
  • Antigène

    MRGPRD (MAS-Related GPR, Member D (MRGPRD))

    Autre désignation

    MRGPRD

    Sujet

    Description: May regulate nociceptor function and/or development, including the sensation or modulation of pain. Functions as a specific membrane receptor for beta-alanine. Beta-alanine at micromolar doses specifically evoked Ca2+ influx in cells expressing the receptor. Beta-alanine decreases forskolin-stimulated cAMP production in cells expressing the receptor, suggesting that the receptor couples with G-protein G(q) and G(i).

    Gene: MRGPRD

    Poids moléculaire

    41 kDa,10 % SDS-PAGE

    ID gène

    116512

    UniProt

    Q8TDS7
Vous êtes ici:
Chat with us!