NPBWR2 anticorps
Aperçu rapide pour NPBWR2 anticorps (ABIN6257800)
Antigène
Voir toutes NPBWR2 AnticorpsReactivité
Hôte
Clonalité
Conjugué
Application
-
-
Specificité
- GPR8 antibody detects endogenous levels of total GPR8
-
Réactivité croisée
- Humain, Souris
-
Purification
- The antiserum was purified by peptide affinity chromatography using SulfoLinkTM Coupling Resin (Thermo Fisher Scientific).
-
Immunogène
- A synthesized peptide
-
Isotype
- IgG
-
-
-
-
Indications d'application
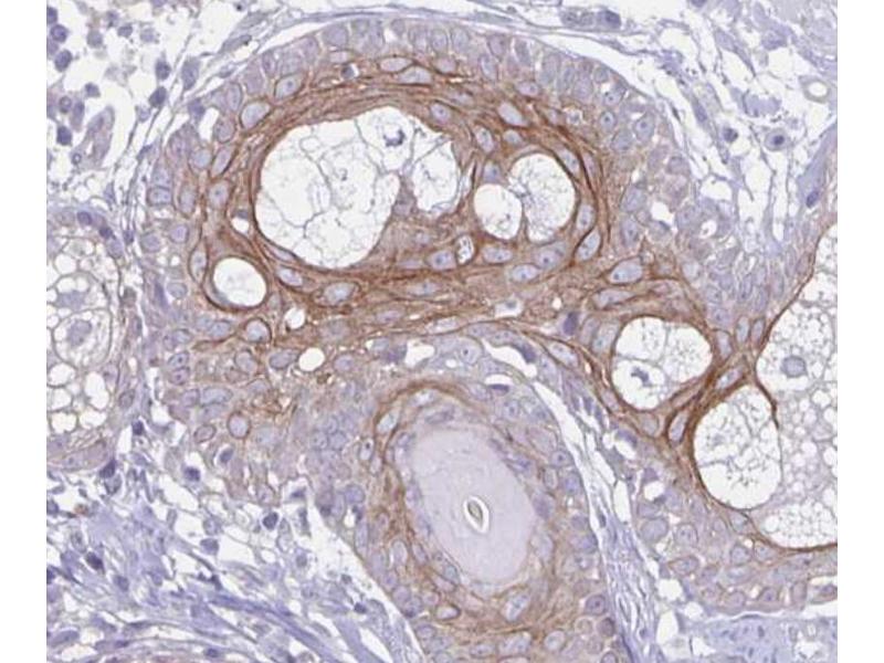
- WB 1:500-1:2000 IHC 1:50-1:200
-
Restrictions
- For Research Use only
-
-
-
Format
- Liquid
-
Concentration
- 1 mg/mL
-
Buffer
- Rabbit IgG in phosphate buffered saline, pH 7.4, 150 mM NaCl, 0.02 % sodium azide and 50 % glycerol.
-
Agent conservateur
- Sodium azide
-
Précaution d'utilisation
- This product contains Sodium azide: a POISONOUS AND HAZARDOUS SUBSTANCE which should be handled by trained staff only.
-
-
- NPBWR2 (Neuropeptides B/W Receptor 2 (NPBWR2))
-
Autre désignation
- GPR8
-
Sujet
-
Description: Interacts specifically with a number of opioid ligands. Receptor for neuropeptides B and W, which may be involved in neuroendocrine system regulation, food intake and the organization of other signals.
Gene: NPBWR2
-
Poids moléculaire
- 37 kDa
-
ID gène
- 2832
-
UniProt
- P48146
Antigène
-