Retinoic Acid Receptor alpha anticorps (AA 1-463)
Aperçu rapide pour Retinoic Acid Receptor alpha anticorps (AA 1-463) (ABIN626165)
Antigène
Voir toutes Retinoic Acid Receptor alpha (RARA) AnticorpsReactivité
Hôte
Clonalité
Conjugué
Application
Clone
-
-
Épitope
- AA 1-463
-
Specificité
- Human RARA
-
Purification
- Purified from ascites by Protein A
-
Immunogène
-
RARA (AAH08727, 1 a.a. ~ 463 a.a) full length recombinant protein with GST tag. MW of the GST tag alone is 26 KDa.
Type of Immunogen: Recombinant protein -
Isotype
- IgG2a kappa
-
-
-
-
Indications d'application
-
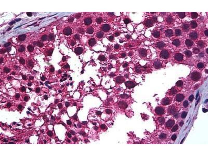
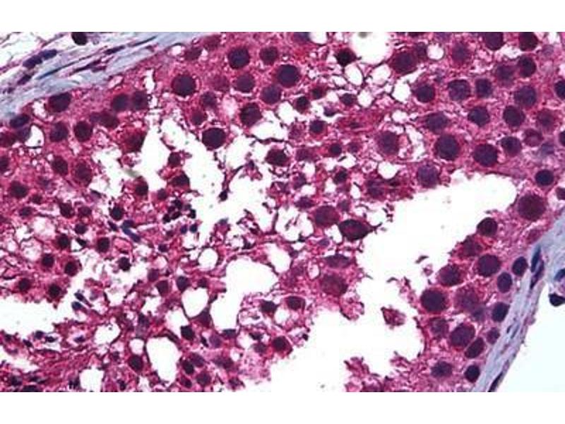
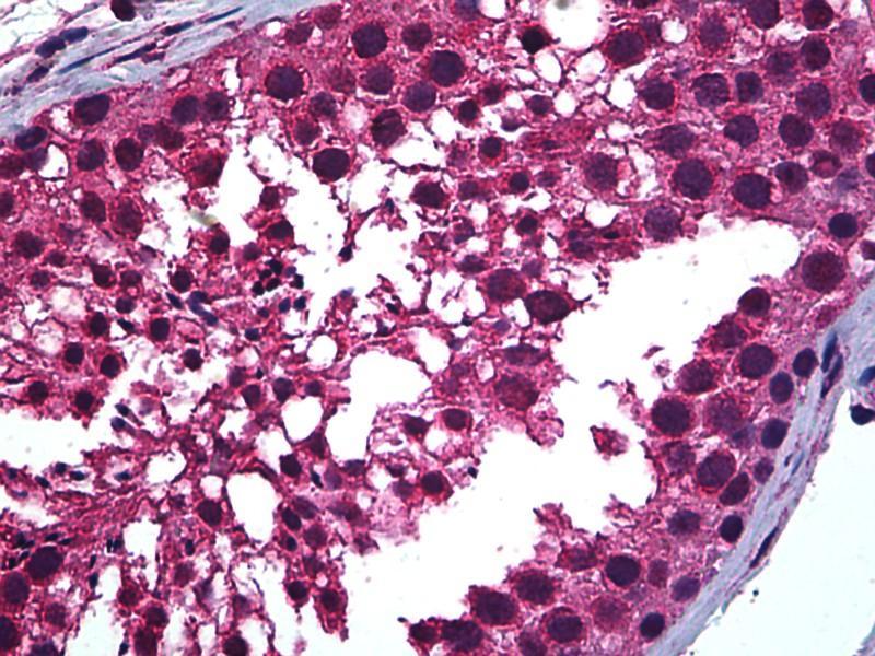
Approved: ELISA, IF (10 μg/mL), IHC, IHC-P (5 μg/mL), WB
Usage: Immunohistochemistry: Formalin-fixed paraffin-embedded sections. Sandwich ELISA: Recombinant protein. Western Blot using cell line lysates and the recombinant protein used as the immunogen. -
Commentaires
-
Target Species of Antibody: Human
-
Restrictions
- For Research Use only
-
-
-
Format
- Liquid
-
Concentration
- Lot specific
-
Buffer
- PBS, pH 7.4. Sourced in Ascites.
-
Conseil sur la manipulation
- Aliquot to Avoid repeated freezing and thawing.
-
Stock
- -20 °C
-
Stockage commentaire
- Store at -20°C or lower. Aliquot to avoid freeze-thaw cycles.
-
-
- Retinoic Acid Receptor alpha (RARA) (Retinoic Acid Receptor, alpha (RARA))
-
Autre désignation
- RARA / RAR Alpha
-
Sujet
-
Name/Gene ID: RARA
Subfamily: NR1 Thyroid hormone-like
Family: NHR
Synonyms: RARA, NR1B1, PML-RAR, RAR-alpha, RARalpha, Retinoic acid receptor alpha, Pml-rara, RAR, RAR alpha, Retinoic acid receptor, alpha -
ID gène
- 5914
-
UniProt
- P10276
-
Pathways
- Nuclear Receptor Transcription Pathway, Retinoic Acid Receptor Signaling Pathway, Intracellular Steroid Hormone Receptor Signaling Pathway, Steroid Hormone Mediated Signaling Pathway, Cellular Response to Molecule of Bacterial Origin, Positive Regulation of Immune Effector Process, S100 Proteins
Antigène
-