Tel:
+49 (0)241 95 163 153
Fax:
+49 (0)241 95 163 155
E-Mail:
orders@anticorps-enligne.fr

PLCH2 anticorps (N-Term)

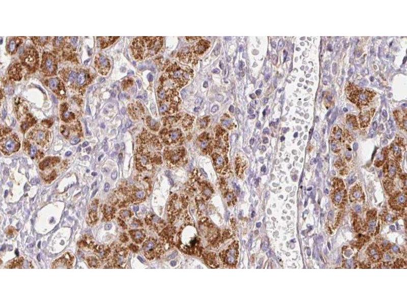
Cet anticorps anti-PLCH2 Polyclonal Lapin (ABIN6264292) détecte spécifiquement PLCH2 dans WB, IHC et ELISA. L’anticorps est réactif avec des échantillons de Humain et Souris.
N° du produit ABIN6264292
525,71 €
Plus frais de livraison 40,00 € et TVA
Destination: France
Envoi sous 9 à 11 jours ouvrables

Aperçu rapide pour PLCH2 anticorps (N-Term) (ABIN6264292)

Antigène

PLCH2 (PLCh2) (Phospholipase C eta 2 (PLCh2))

Reactivité

Humain, Souris

Hôte

  • 4
Lapin

Clonalité

  • 4
Polyclonal

Conjugué

  • 4
Cet anticorp PLCH2 est non-conjugé

Application

  • 4
  • 2
  • 1
  • 1
  • 1
Western Blotting (WB), Immunohistochemistry (IHC), ELISA
  • Épitope

    • 2
    • 1
    • 1
    N-Term

    Specificité

    PLCH2 Antibody detects endogenous levels of total PLCH2.

    Homologie

    Pig,Bovine,Sheep,Chicken

    Purification

    The antiserum was purified by peptide affinity chromatography using SulfoLinkTM Coupling Resin (Thermo Fisher Scientific).

    Immunogène

    A synthesized peptide derived from human PLCH2, corresponding to a region within N-terminal amino acids.

    Isotype

    IgG
  • Indications d'application

    WB 1:1000-3000, IHC 1:200, ELISA(peptide) 1:20000-1:40000

    Restrictions

    For Research Use only
  • Format

    Liquid

    Concentration

    1 mg/mL

    Buffer

    Rabbit IgG in phosphate buffered saline , pH 7.4, 150 mM NaCl, 0.02 % sodium azide and 50 % glycerol.

    Agent conservateur

    Sodium azide

    Précaution d'utilisation

    This product contains Sodium azide: a POISONOUS AND HAZARDOUS SUBSTANCE which should be handled by trained staff only.

    Stock

    -20 °C

    Stockage commentaire

    Store at -20 °C. Stable for 12 months from date of receipt.

    Date de péremption

    12 months
  • Antigène

    PLCH2 (PLCh2) (Phospholipase C eta 2 (PLCh2))

    Autre désignation

    PLCH2

    Sujet

    Description: The production of the second messenger molecules diacylglycerol (DAG) and inositol 1,4,5-trisphosphate (IP3) is mediated by activated phosphatidylinositol-specific phospholipase C enzymes. This phospholipase activity is very sensitive to calcium. May be important for formation and maintenance of the neuronal network in the postnatal brain (By similarity).

    Gene: PLCH2

    Poids moléculaire

    155 kDa

    ID gène

    9651

    UniProt

    O75038
Vous êtes ici:
Chat with us!