Tel:
+49 (0)241 95 163 153
Fax:
+49 (0)241 95 163 155
E-Mail:
orders@anticorps-enligne.fr

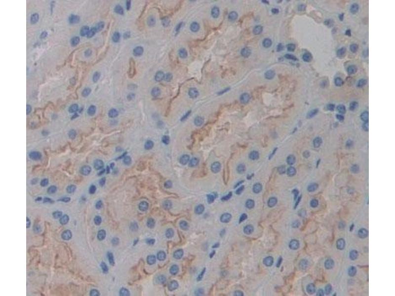
PLCH2 anticorps (AA 1-257)

L’anticorps anti-PLCH2 Polyclonal Lapin est utilisé pour la détection de PLCH2 dans des échantillons de Humain. Il a été validé pour WB, IHC, IP et ICC.
N° du produit ABIN7445033
310,62 €
Plus frais de livraison 40,00 € et TVA
Destination: France
Envoi sous 11 à 15 jours ouvrables

Aperçu rapide pour PLCH2 anticorps (AA 1-257) (ABIN7445033)

Antigène

PLCH2 (PLCh2) (Phospholipase C eta 2 (PLCh2))

Reactivité

  • 4
  • 4
Humain

Hôte

  • 4
Lapin

Clonalité

  • 4
Polyclonal

Conjugué

  • 4
Cet anticorp PLCH2 est non-conjugé

Application

Western Blotting (WB), Immunohistochemistry (IHC), Immunoprecipitation (IP), Immunocytochemistry (ICC)
  • Épitope

    • 2
    • 1
    • 1
    AA 1-257

    Fonction

    Polyclonal Antibody to Phospholipase C Eta 2 (PLCh2)

    Specificité

    The antibody is a rabbit polyclonal antibody raised against PLCh2. It has been selected for its ability to recognize PLCh2 in immunohistochemical staining and western blotting.

     Réactivité croisée

    Souris, Rat

    Purification

    Antigen-specific affinity chromatography followed by Protein A affinity chromatography

    Immunogène

    Recombinant Phospholipase C Eta 2 (PLCh2) corresdonding to Met1~His257

    Isotype

    IgG
  • Indications d'application

    Western blotting: 0.01-2 μg/mL,Immunohistochemistry: 5-20 μg/mL,Immunocytochemistry: 5-20 μg/mL,Optimal working dilutions must be determined by end user.

    Commentaires

    The thermal stability is described by the loss rate. The loss rate was determined by accelerated thermal degradation test, that is, incubate the protein at 37°C for 48h, and no obvious degradation and precipitation were observed. The loss rate is less than 5% within the expiration date under appropriate storage condition.

    Restrictions

    For Research Use only
  • Format

    Liquid

    Concentration

    0.5 mg/mL

    Buffer

    PBS, pH 7.4, containing 0.02 % Sodium azide, 50 % glycerol.

    Agent conservateur

    Sodium azide

    Précaution d'utilisation

    This product contains Sodium azide: a POISONOUS AND HAZARDOUS SUBSTANCE which should be handled by trained staff only.

    Stock

    4 °C,-20 °C

    Stockage commentaire

    Store at 4°C for frequent use. Stored at -20°C in a manual defrost freezer for two year without detectable loss of activity. Avoid repeated freeze-thaw cycles.

    Date de péremption

    24 months
  • Antigène

    PLCH2 (PLCh2) (Phospholipase C eta 2 (PLCh2))

    Autre désignation

    PLCh2

    Sujet

    PLCL4, PLCeta2, RP3-395M20.1, PLC-eta2, Phospholipase C-like 4, Phosphoinositide phospholipase C-like 4, 1-phosphatidylinositol 4,5-bisphosphate phosphodiesterase eta-2

    UniProt

    O75038
Vous êtes ici:
Chat with us!