ELP2 anticorps (Internal Region)
Aperçu rapide pour ELP2 anticorps (Internal Region) (ABIN6265339)
Antigène
Voir toutes ELP2 AnticorpsReactivité
Hôte
Clonalité
Conjugué
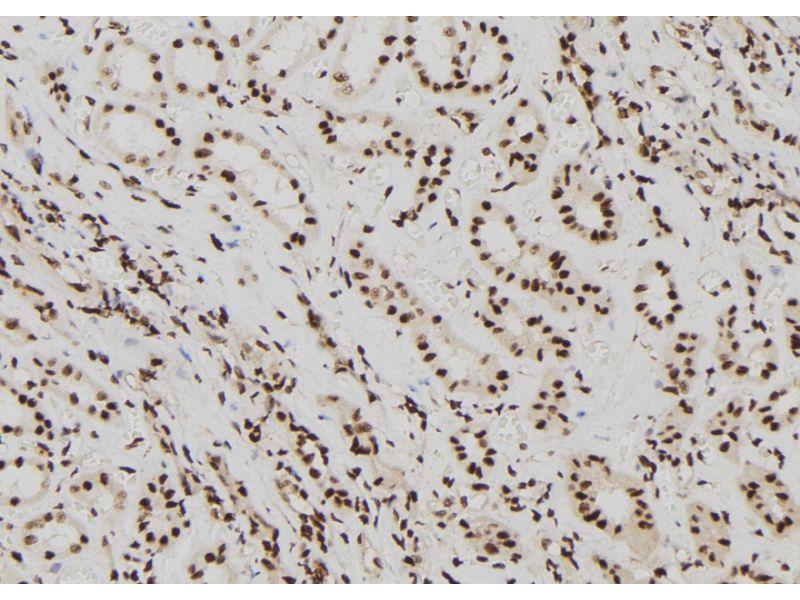
Application
-
-
Épitope
- Internal Region
-
Specificité
- StIp1 Antibody detects endogenous levels of total StIp1.
-
Homologie
- Pig,Bovine,Sheep,Rabbit,Dog,Chicken
-
Purification
- The antiserum was purified by peptide affinity chromatography using SulfoLinkTM Coupling Resin (Thermo Fisher Scientific).
-
Immunogène
- A synthesized peptide derived from human StIp1, corresponding to a region within the internal amino acids.
-
Isotype
- IgG
-
-
-
-
Indications d'application
- WB 1:1000, IHC 1:200, IF/ICC 1:100-1:500, ELISA(peptide) 1:20000-1:40000
-
Restrictions
- For Research Use only
-
-
-
Format
- Liquid
-
Concentration
- 1 mg/mL
-
Buffer
- Rabbit IgG in phosphate buffered saline , pH 7.4, 150 mM NaCl, 0.02 % sodium azide and 50 % glycerol.
-
Agent conservateur
- Sodium azide
-
Précaution d'utilisation
- This product contains Sodium azide: a POISONOUS AND HAZARDOUS SUBSTANCE which should be handled by trained staff only.
-
Stock
- -20 °C
-
Stockage commentaire
- Store at -20 °C. Stable for 12 months from date of receipt.
-
Date de péremption
- 12 months
-
-
- ELP2 (Elongator Acetyltransferase Complex Subunit 2 (ELP2))
-
Autre désignation
- ELP2
-
Sujet
-
Description: Regulates the ligand-dependent activation of STAT3.
Gene: ELP2
-
Poids moléculaire
- 93kDa
-
ID gène
- 55250
-
UniProt
- Q6IA86
-
Pathways
- Stem Cell Maintenance, Positive Regulation of Endopeptidase Activity, Protein targeting to Nucleus
Antigène
-