Tel:
+49 (0)241 95 163 153
Fax:
+49 (0)241 95 163 155
E-Mail:
orders@anticorps-enligne.fr

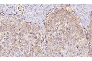
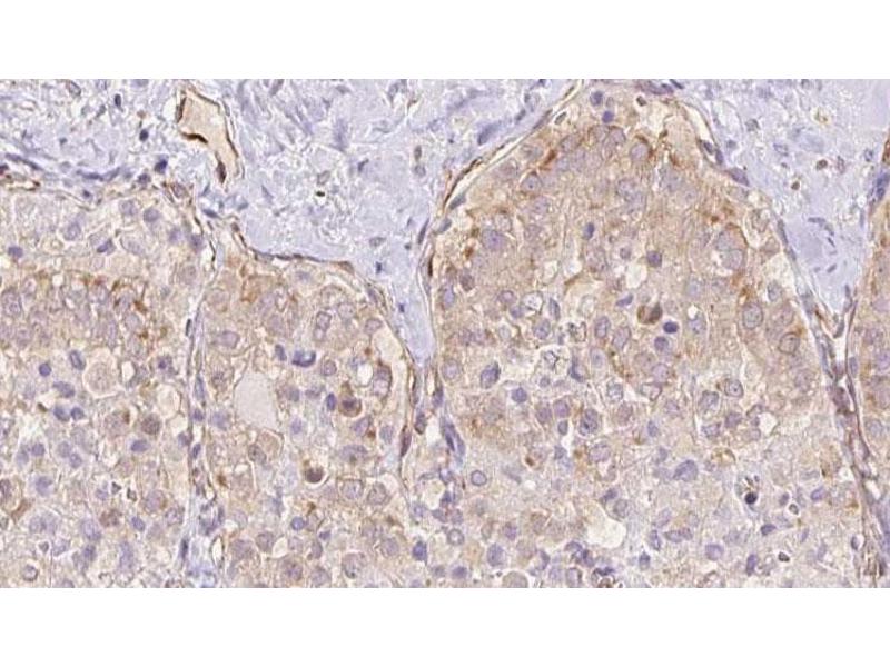
TBC1D23 anticorps (Internal Region)

L’anticorps anti-TBC1D23 Polyclonal Lapin est utilisé pour la détection de TBC1D23 dans des échantillons de Humain, Souris et Rat. Il a été validé pour WB, IHC, ICC et IF.
N° du produit ABIN6265479
525,71 €
Plus frais de livraison 40,00 € et TVA
Destination: France
Envoi sous 9 à 11 jours ouvrables

Aperçu rapide pour TBC1D23 anticorps (Internal Region) (ABIN6265479)

Antigène

TBC1D23 (TBC1 Domain Family, Member 23 (TBC1D23))

Reactivité

  • 12
  • 3
  • 2
  • 1
  • 1
  • 1
  • 1
  • 1
  • 1
Humain, Souris, Rat

Hôte

  • 11
  • 1
Lapin

Clonalité

  • 11
  • 1
Polyclonal

Conjugué

  • 9
  • 1
  • 1
  • 1
Cet anticorp TBC1D23 est non-conjugé

Application

  • 7
  • 6
  • 4
  • 2
  • 1
Western Blotting (WB), Immunohistochemistry (IHC), Immunocytochemistry (ICC), Immunofluorescence (IF)
  • Épitope

    • 4
    • 1
    • 1
    • 1
    Internal Region

    Specificité

    TBC1D23 Antibody detects endogenous levels of total TBC1D23.

    Homologie

    Pig,Bovine,Horse,Sheep,Rabbit,Dog

    Purification

    The antiserum was purified by peptide affinity chromatography using SulfoLinkTM Coupling Resin (Thermo Fisher Scientific).

    Immunogène

    A synthesized peptide derived from human TBC1D23, corresponding to a region within the internal amino acids.

    Isotype

    IgG
  • Indications d'application

    WB 1:500-1:2000, IHC 1:50-1:200, IF/ICC 1:100-1:500

    Restrictions

    For Research Use only
  • Format

    Liquid

    Concentration

    1 mg/mL

    Buffer

    Rabbit IgG in phosphate buffered saline , pH 7.4, 150 mM NaCl, 0.02 % sodium azide and 50 % glycerol.

    Agent conservateur

    Sodium azide

    Précaution d'utilisation

    This product contains Sodium azide: a POISONOUS AND HAZARDOUS SUBSTANCE which should be handled by trained staff only.

    Stock

    -20 °C

    Stockage commentaire

    Store at -20 °C. Stable for 12 months from date of receipt.

    Date de péremption

    12 months
  • Antigène

    TBC1D23 (TBC1 Domain Family, Member 23 (TBC1D23))

    Autre désignation

    TBC1D23

    Sujet

    Description: Putative Rab GTPase-activating protein which plays a role in vesicular trafficking (PubMed:28823707). Involved in endosome-to-Golgi trafficking. Acts as a bridging protein by binding simultaneously to golgins, including GOLGA1 and GOLGA4, located at the trans-Golgi, and to the WASH complex, located on endosome-derived vesicles (PubMed:29084197). Plays a role in brain development, including in cortical neuron positioning (By similarity). May also be important for neurite outgrowth, possibly through its involvement in membrane trafficking and cargo delivery, 2 processes that are essential for axonal and dendritic growth (By similarity). May act as a general inhibitor of innate immunity signaling, strongly inhibiting multiple TLR and dectin/CLEC7A-signaling pathways. Does not alter initial activation events, but instead affects maintenance of inflammatory gene expression several hours after bacterial lipopolysaccharide (LPS) challenge (By similarity).

    Gene: TBC1D23

    Poids moléculaire

    78 kDa

    ID gène

    55773

    UniProt

    Q9NUY8
Vous êtes ici:
Chat with us!