Tel:
+49 (0)241 95 163 153
Fax:
+49 (0)241 95 163 155
E-Mail:
orders@anticorps-enligne.fr

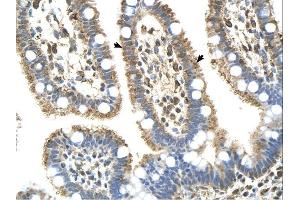
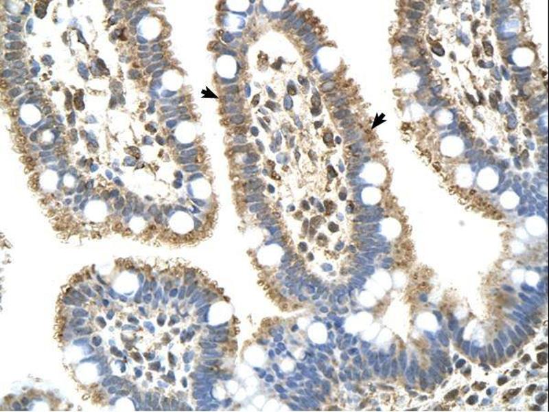
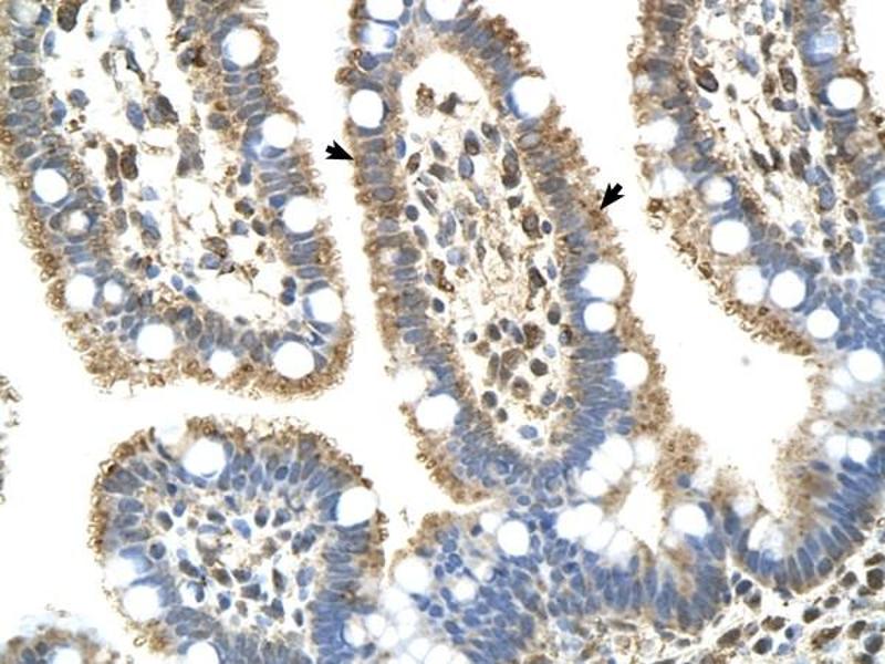
C8B anticorps (Middle Region)

L’anticorps anti-C8B Polyclonal Lapin est utilisé pour la détection de C8B dans des échantillons de Humain. Il a été validé pour WB et IHC.
N° du produit ABIN634559
1.218,13 €
Plus frais de livraison 40,00 € et TVA
100 μL
Destination: France
Envoi sous 13 à 17 jours ouvrables

Aperçu rapide pour C8B anticorps (Middle Region) (ABIN634559)

Antigène

Voir toutes C8B Anticorps
C8B (Complement Component 8, beta Polypeptide (C8B))

Reactivité

  • 25
  • 8
  • 5
  • 4
  • 3
  • 3
  • 3
  • 2
  • 2
  • 1
  • 1
Humain

Hôte

  • 27
  • 1
Lapin

Clonalité

  • 27
  • 1
Polyclonal

Conjugué

  • 23
  • 1
  • 1
  • 1
  • 1
  • 1
Cet anticorp C8B est non-conjugé

Application

  • 25
  • 15
  • 15
  • 6
  • 5
  • 3
  • 1
Western Blotting (WB), Immunohistochemistry (IHC)
  • Épitope

    • 9
    • 4
    • 3
    • 2
    • 2
    • 2
    • 1
    • 1
    • 1
    Middle Region

    Specificité

    Complement C8 b antibody was raised against the middle region of C8

    Purification

    Affinity purified

    Immunogène

    Complement C8 b antibody was raised using the middle region of C8 corresponding to a region with amino acids WKPGSSGPGSTGSWNSGSSGTGSTGNQNPGSPRPGSTGTWNPGSSERGSA
  • Indications d'application

    WB: 0.5 µg/mL, IHC: 4-8 µg/mL
    Optimal conditions should be determined by the investigator.

    Commentaires

    Complement C8b Blocking Peptide, (ABIN5612957), is also available for use as a blocking control in assays to test for specificity of this Complement C8b antibody

    Restrictions

    For Research Use only
  • Format

    Lyophilized

    Reconstitution

    Lyophilized powder. Add distilled water for a 1 mg/mL concentration of C0 antibody in PBS

    Concentration

    Lot specific

    Buffer

    PBS

    Conseil sur la manipulation

    Avoid repeated freeze/thaw cycles.
    Dilute only prior to immediate use.

    Stock

    4 °C/-20 °C

    Stockage commentaire

    Store at 2-8 °C for short periods. For longer periods of storage, store at -20 °C.
  • Antigène

    C8B (Complement Component 8, beta Polypeptide (C8B))

    Autre désignation

    Complement C8b

    Sujet

    C8 beta is one of the three subunits that comprise the component 8 (C8) of the complement system. C8 participates in the formation of Membrane Attack Complex that results in the lysis of cells. Patients with C8B deficiency are prone to bacteria infection.

    Poids moléculaire

    61 kDa (MW of target protein)

    Pathways

    Système du Complément
Vous êtes ici:
Chat with us!