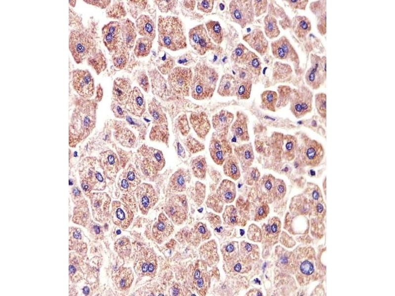
L’anticorps anti-ALDH6A1 Monoclonal Souris est utilisé pour la détection de ALDH6A1 dans des échantillons de Humain. Il a été validé pour WB, IF et IHC (p).
Purified monoclonal antibody supplied in PBS with 0.09 % (W/V) sodium azide.
Agent conservateur
Sodium azide
Précaution d'utilisation
This product contains Sodium azide: a POISONOUS AND HAZARDOUS SUBSTANCE which should be handled by trained staff only.
Stock
4 °C,-20 °C
Stockage commentaire
Maintain refrigerated at 2-8 °C for up to 6 months. For long term storage store at -20 °C in small aliquots to prevent freeze-thaw cycles.
Date de péremption
6 months
Antigène
ALDH6A1
(Aldehyde Dehydrogenase 6 Family, Member A1 (ALDH6A1))
Autre désignation
ALDH6A1
Sujet
This protein belongs to the aldehyde dehydrogenases family of proteins. This enzyme plays a role in the valine and pyrimidine catabolic pathways. The product of this gene, a mitochondrial methylmalonate semialdehyde dehydrogenase, catalyzes the irreversible oxidative decarboxylation of malonate and methylmalonate semialdehydes to acetyl- and propionyl-CoA. Methylmalonate semialdehyde dehydrogenase deficiency is characterized by elevated beta-alanine, 3-hydroxypropionic acid, and both isomers of 3-amino and 3-hydroxyisobutyric acids in urine organic acids.