Tel:
+49 (0)241 95 163 153
Fax:
+49 (0)241 95 163 155
E-Mail:
orders@anticorps-enligne.fr

IGLL1 anticorps

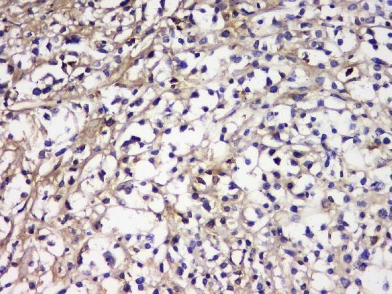
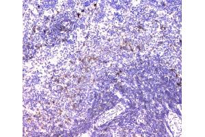
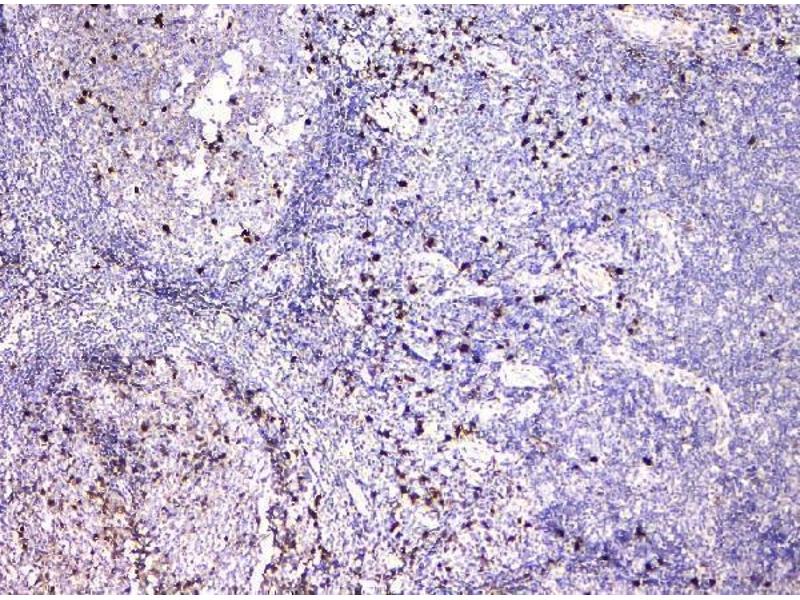
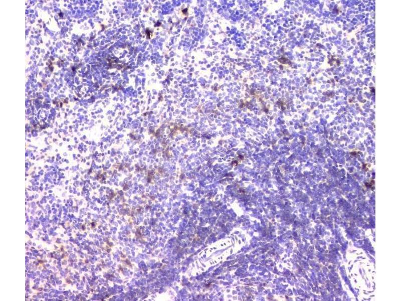
Cet anticorps Lapin Polyclonal détecte spécifiquement IGLL1 dans WB, IHC et ELISA. Il présente une réactivité avec des échantillons de Humain, Souris et Rat.
N° du produit ABIN6719329
500,50 €
Plus frais de livraison 40,00 € et TVA
100 μg
Destination: France
Envoi sous 8 à 12 jours ouvrables

Aperçu rapide pour IGLL1 anticorps (ABIN6719329)

Antigène

Voir toutes IGLL1 Anticorps
IGLL1 (Immunoglobulin lambda-Like Polypeptide 1 (IGLL1))

Reactivité

Humain, Souris, Rat

Hôte

  • 42
  • 4
  • 1
Lapin

Clonalité

  • 44
  • 3
Polyclonal

Conjugué

  • 26
  • 3
  • 2
  • 2
  • 1
  • 1
  • 1
  • 1
  • 1
  • 1
  • 1
  • 1
  • 1
  • 1
  • 1
  • 1
  • 1
  • 1
Cet anticorp IGLL1 est non-conjugé

Application

  • 36
  • 13
  • 13
  • 13
  • 11
  • 7
  • 7
  • 6
  • 4
  • 4
  • 3
  • 2
  • 2
Western Blotting (WB), Immunohistochemistry (IHC), ELISA
  • Fonction

    Anti-IGLL1 Antibody

    Réactivité croisée (Details)

    No cross-reactivity with other proteins.

    Attributs du produit

    Anti-IGLL1 Antibody (ABIN6719329). Tested in ELISA, IHC, WB applications. This antibody reacts with Human, Mouse, Rat. This is a premium antibody that guarantees superior quality, high affinity, and strong signals with minimal background in Western blot applications.

    Immunogène

    E. coli-derived human IGLL1 recombinant protein (L38-S213).

    Isotype

    IgG
  • Indications d'application

    Western blot, 0.1-0.5 μg/mL
    Immunohistochemistry (Paraffin-embedded Section), 0.5-1 μg/mL
    ELISA, 0.1-0.5 μg/mL

    Commentaires

    Tested Species: In-house tested species with positive results. By Heat: Boiling the paraffin sections in 10mM citrate buffer, pH6.0, for 20mins is required for the staining of formalin/paraffin sections. Other applications have not been tested. Optimal dilutions should be determined by end users.

    Restrictions

    For Research Use only
  • Format

    Lyophilized

    Concentration

    500 μg/mL

    Buffer

    Each vial contains 4 mg Trehalose, 0.9 mg NaCl, 0.2 mg Na2HPO4, 0.05 mg NaN3.

    Agent conservateur

    Sodium azide

    Précaution d'utilisation

    This product contains Sodium azide: a POISONOUS AND HAZARDOUS SUBSTANCE which should be handled by trained staff only.

    Stock

    4 °C,-20 °C

    Stockage commentaire

    Store at -20°C for one year from date of receipt. After reconstitution, at 4°C for one month.
    It can also be aliquotted and stored frozen at -20°C for six months. Avoid repeated freeze-thaw cycles.
  • Antigène

    IGLL1 (Immunoglobulin lambda-Like Polypeptide 1 (IGLL1))

    Autre désignation

    IGLL1

    Sujet

    Synonyms: Immunoglobulin lambda-like polypeptide 1, CD179 antigen-like family member B, Ig lambda-5, Immunoglobulin omega polypeptide, Immunoglobulin-related protein 14.1, CD179b, IGLL1, IGL1

    Tissue Specificity: Expressed only in pre-B-cells and a special B-cell line (which is surface Ig negative).

    Background: Immunoglobulin lambda-like polypeptide 1 is a protein that in humans is encoded by the IGLL1 gene. It is mapped to 22q11.23. The preB cell receptor is found on the surface of proB and preB cells, where it is involved in transduction of signals for cellular proliferation, differentiation from the proB cell to the preB cell stage, allelic exclusion at the Ig heavy chain gene locus, and promotion of Ig light chain gene rearrangements. The preB cell receptor is composed of a membrane-bound Ig mu heavy chain in association with a heterodimeric surrogate light chain. This gene encodes one of the surrogate light chain subunits and is a member of the immunoglobulin gene superfamily. This gene does not undergo rearrangement. Mutations in this gene can result in B cell deficiency and agammaglobulinemia, an autosomal recessive disease in which few or no gamma globulins or antibodies are made. Two transcript variants encoding different isoforms have been found for this gene.

    Poids moléculaire

    26 kDa

    ID gène

    3543

    UniProt

    P15814

    Pathways

    Regulation of Cell Size
Vous êtes ici:
Chat with us!