Tel:
+49 (0)241 95 163 153
Fax:
+49 (0)241 95 163 155
E-Mail:
orders@anticorps-enligne.fr

RASAL1 anticorps (AA 721-798)

Cet anticorps anti-RASAL1 Polyclonal Lapin (ABIN6719367) détecte spécifiquement RASAL1 dans WB, ELISA et IHC. L’anticorps est réactif avec des échantillons de Humain, Souris et Rat.
N° du produit ABIN6719367
500,50 €
Plus frais de livraison 40,00 € et TVA
100 μg
Destination: France
Envoi sous 8 à 12 jours ouvrables

Aperçu rapide pour RASAL1 anticorps (AA 721-798) (ABIN6719367)

Antigène

Voir toutes RASAL1 Anticorps
RASAL1 (RAS Protein Activator Like 1 (GAP1 Like) (RASAL1))

Reactivité

  • 31
  • 16
  • 12
  • 1
Humain, Souris, Rat

Hôte

  • 46
  • 1
  • 1
Lapin

Clonalité

  • 48
Polyclonal

Conjugué

  • 19
  • 4
  • 3
  • 3
  • 1
  • 1
  • 1
  • 1
  • 1
  • 1
  • 1
  • 1
  • 1
  • 1
  • 1
  • 1
  • 1
  • 1
  • 1
  • 1
  • 1
  • 1
  • 1
Cet anticorp RASAL1 est non-conjugé

Application

  • 35
  • 17
  • 13
  • 13
  • 3
  • 3
  • 3
  • 2
  • 1
  • 1
  • 1
  • 1
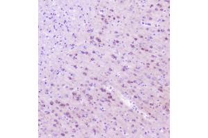
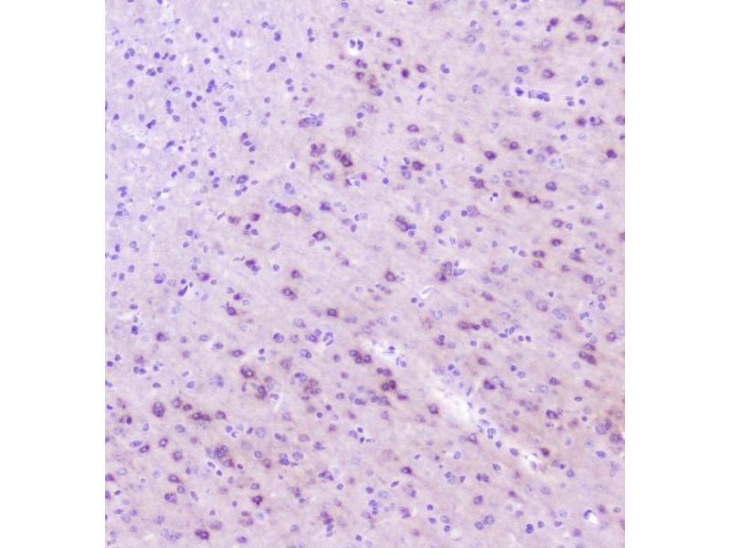
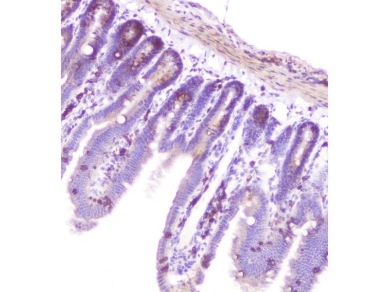
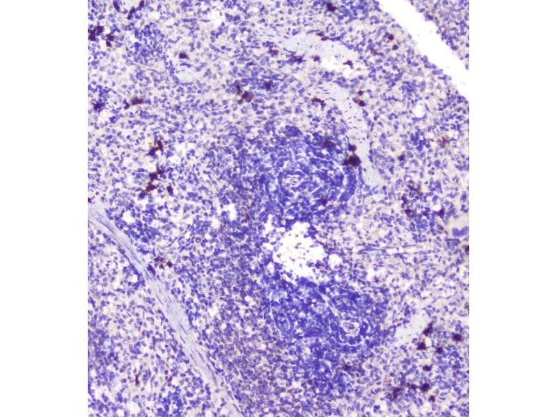
Western Blotting (WB), ELISA, Immunohistochemistry (IHC)
  • Épitope

    • 15
    • 8
    • 5
    • 3
    • 2
    • 2
    • 1
    • 1
    • 1
    • 1
    • 1
    • 1
    • 1
    AA 721-798

    Fonction

    Anti-RASAL1/RASAL1 Antibody

    Réactivité croisée (Details)

    No cross-reactivity with other proteins.

    Attributs du produit

    Anti-RASAL1/RASAL1 Antibody (ABIN6719367). Tested in ELISA, IHC, WB applications. This antibody reacts with Human, Mouse, Rat. This is a premium antibody that guarantees superior quality, high affinity, and strong signals with minimal background in Western blot applications.

    Immunogène

    E. coli-derived human RASAL1 recombinant protein (Position: D721-A798).

    Isotype

    IgG
  • Indications d'application

    Western blot, 0.1-0.5 μg/mL
    Immunohistochemistry (Paraffin-embedded Section), 0.5-1 μg/mL
    ELISA, 0.1-0.5 μg/mL

    Commentaires

    Tested Species: In-house tested species with positive results. By Heat: Boiling the paraffin sections in 10mM citrate buffer, pH6.0, for 20mins is required for the staining of formalin/paraffin sections. Other applications have not been tested. Optimal dilutions should be determined by end users.

    Restrictions

    For Research Use only
  • Format

    Lyophilized

    Reconstitution

    Add 0.2 mL of distilled water will yield a concentration of 500 μg/mL.

    Concentration

    500 μg/mL

    Buffer

    Each vial contains 4 mg Trehalose, 0.9 mg NaCl, 0.2 mg Na2HPO4, 0.05 mg NaN3.

    Agent conservateur

    Sodium azide

    Précaution d'utilisation

    This product contains Sodium azide: a POISONOUS AND HAZARDOUS SUBSTANCE which should be handled by trained staff only.

    Stock

    4 °C,-20 °C

    Stockage commentaire

    Store at -20°C for one year from date of receipt. After reconstitution, at 4°C for one month.
    It can also be aliquotted and stored frozen at -20°C for six months. Avoid repeated freeze-thaw cycles.
  • Antigène

    RASAL1 (RAS Protein Activator Like 1 (GAP1 Like) (RASAL1))

    Autre désignation

    RASAL1

    Sujet

    Synonyms: RasGAP-activating-like protein 1, RAS protein activator like 1

    Tissue Specificity: Highly expressed in thyroid and adrenal medulla, lower expression in brain, spinal cord and trachea (PubMed:9751798). Expressed in melanocytes (PubMed:23999003).

    Background: The protein encoded by this gene is member of the GAP1 family of GTPase-activating proteins. And it is mapped to 12q24.13. These proteins stimulate the GTPase activity of normal RAS p21 but not its oncogenic counterpart. Acting as a suppressor of RAS function, the protein enhances the weak intrinsic GTPase activity of RAS proteins resulting in the inactive GDP-bound form of RAS, thereby allowing control of cellular proliferation and differentiation. This particular family member contains domains which are characteristic of the GAP1 subfamily of RasGAP proteins but, in contrast to the other GAP1 family members, this protein is strongly and selectively expressed in endocrine tissues. Alternatively spliced transcript variants that encode different isoforms have been described.

    Poids moléculaire

    90 kDa

    ID gène

    8437

    UniProt

    O95294
Vous êtes ici:
Chat with us!