Tel:
+49 (0)241 95 163 153
Fax:
+49 (0)241 95 163 155
E-Mail:
orders@anticorps-enligne.fr

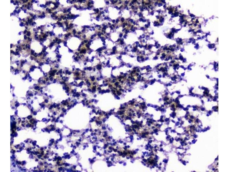
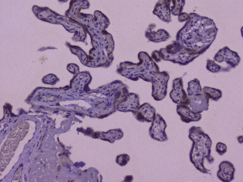
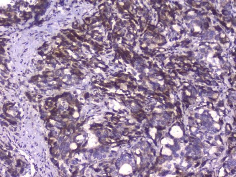
CIC anticorps (AA 1433-1527)

Cet anticorps Lapin Polyclonal détecte spécifiquement CIC dans ELISA et IHC. Il présente une réactivité avec des échantillons de Souris, Humain et Rat.
N° du produit ABIN6719536
500,50 €
Plus frais de livraison 40,00 € et TVA
100 μg
Destination: France
Envoi sous 8 à 12 jours ouvrables

Aperçu rapide pour CIC anticorps (AA 1433-1527) (ABIN6719536)

Antigène

Voir toutes CIC Anticorps
CIC (Capicua Homolog (CIC))

Reactivité

  • 27
  • 15
  • 3
  • 1
  • 1
  • 1
  • 1
  • 1
Souris, Humain, Rat

Hôte

  • 30
Lapin

Clonalité

  • 30
Polyclonal

Conjugué

  • 13
  • 2
  • 1
  • 1
  • 1
  • 1
  • 1
  • 1
  • 1
  • 1
  • 1
  • 1
  • 1
  • 1
  • 1
  • 1
  • 1
Cet anticorp CIC est non-conjugé

Application

  • 13
  • 13
  • 13
  • 13
  • 8
  • 6
  • 3
  • 1
  • 1
  • 1
ELISA, Immunohistochemistry (IHC)
  • Épitope

    • 15
    • 6
    • 5
    • 2
    • 2
    • 1
    AA 1433-1527

    Fonction

    Anti-CIC Antibody

    Réactivité croisée (Details)

    No cross-reactivity with other proteins.

    Attributs du produit

    Anti-CIC Antibody (ABIN6719536). Tested in ELISA, IHC applications. This antibody reacts with Human, Mouse, Rat.

    Purification

    Immunogen affinity purified.

    Immunogène

    E. coli-derived human CIC recombinant protein (Position: E1433-Q1527).

    Isotype

    IgG
  • Indications d'application

    Immunohistochemistry (Paraffin-embedded Section), 0.5-1 μg/mL
    ELISA, 0.1-0.5 μg/mL

    Commentaires

    Tested Species: In-house tested species with positive results. By Heat: Boiling the paraffin sections in 10mM citrate buffer, pH6.0, for 20mins is required for the staining of formalin/paraffin sections. Other applications have not been tested. Optimal dilutions should be determined by end users.

    Restrictions

    For Research Use only
  • Format

    Lyophilized

    Reconstitution

    Add 0.2 mL of distilled water will yield a concentration of 500 μg/mL.

    Concentration

    500 μg/mL

    Buffer

    Each vial contains 4 mg Trehalose, 0.9 mg NaCl, 0.2 mg Na2HPO4, 0.05 mg NaN3.

    Agent conservateur

    Sodium azide

    Précaution d'utilisation

    This product contains Sodium azide: a POISONOUS AND HAZARDOUS SUBSTANCE which should be handled by trained staff only.

    Stock

    4 °C,-20 °C

    Stockage commentaire

    Store at -20°C for one year from date of receipt. After reconstitution, at 4°C for one month.
    It can also be aliquotted and stored frozen at -20°C for six months. Avoid repeated freeze-thaw cycles.
  • Antigène

    CIC (Capicua Homolog (CIC))

    Autre désignation

    CIC

    Sujet

    Synonyms: Protein capicua homolog, CIC, KIAA0306

    Tissue Specificity: Expressed in fetal brain.

    Background: Protein capicua homolog is a protein that in humans is encoded by the CIC gene. The protein encoded by this gene is an ortholog of the Drosophila melanogaster capicua gene, and is a member of the high mobility group (HMG)-box superfamily of transcriptional repressors. This protein contains a conserved HMG domain that is involved in DNA binding and nuclear localization, and a conserved C-terminus. Studies suggest that the N-terminal region of this protein interacts with Atxn1 (GeneID:6310), to form a transcription repressor complex, and in vitro studies suggest that polyglutamine-expansion of ATXN1 may alter the repressor activity of this complex. Mutations in this gene have been associated with olidogdendrogliomas (PMID:21817013). In addition, translocation events resulting in gene fusions of this gene with both DUX4 (GeneID:100288687) and FOXO4 (GeneID:4303) have been associated with round cell sarcomas. This gene is mapped to 19q13.2. Alternative splicing results in multiple transcript variants encoding different isoforms.

    Poids moléculaire

    55 kDa

    ID gène

    23152
Vous êtes ici:
Chat with us!