Tel:
+49 (0)241 95 163 153
Fax:
+49 (0)241 95 163 155
E-Mail:
orders@anticorps-enligne.fr

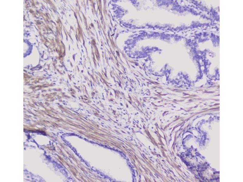
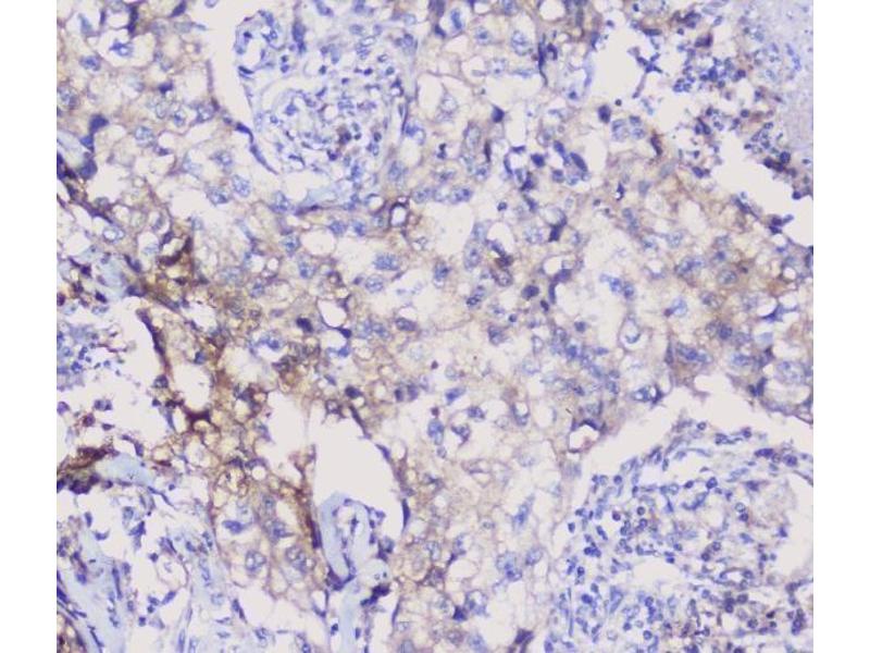
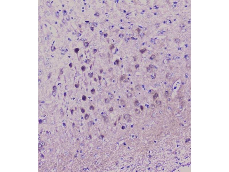
ENO2/NSE anticorps

L’anticorps anti-ENO2/NSE Polyclonal Lapin est utilisé pour la détection de ENO2/NSE dans des échantillons de Humain, Souris et Rat. Il a été validé pour WB, IHC, IF, ICC et FACS.
N° du produit ABIN6719549
500,50 €
Plus frais de livraison 40,00 € et TVA
100 μg
Destination: France
Envoi sous 8 à 12 jours ouvrables

Aperçu rapide pour ENO2/NSE anticorps (ABIN6719549)

Antigène

Voir toutes ENO2/NSE (ENO2) Anticorps
ENO2/NSE (ENO2) (Enolase 2 (Gamma, Neuronal) (ENO2))

Reactivité

  • 217
  • 99
  • 82
  • 6
  • 5
  • 5
  • 5
  • 5
  • 3
  • 3
  • 3
  • 3
  • 2
  • 2
  • 2
  • 2
  • 1
Humain, Souris, Rat

Hôte

  • 122
  • 107
  • 5
  • 1
  • 1
Lapin

Clonalité

  • 120
  • 116
Polyclonal

Conjugué

  • 117
  • 21
  • 17
  • 9
  • 6
  • 6
  • 3
  • 3
  • 3
  • 3
  • 3
  • 3
  • 2
  • 2
  • 2
  • 2
  • 2
  • 2
  • 2
  • 2
  • 2
  • 2
  • 2
  • 2
  • 2
  • 2
  • 2
  • 2
  • 2
  • 2
  • 2
  • 2
  • 1
  • 1
Cet anticorp ENO2/NSE est non-conjugé

Application

  • 172
  • 107
  • 69
  • 43
  • 34
  • 33
  • 27
  • 26
  • 17
  • 13
  • 11
  • 9
  • 8
  • 6
  • 4
  • 3
  • 3
  • 2
  • 2
  • 1
  • 1
  • 1
  • 1
  • 1
Western Blotting (WB), Immunohistochemistry (IHC), Immunofluorescence (IF), Immunocytochemistry (ICC), Flow Cytometry (FACS)
  • Fonction

    Anti-NSE/ENO2 Antibody

    Séquence

    LKAVDHINST IAPALISSGL SVVEQEKLDN LMLELDGTEN K

    Réactivité croisée (Details)

    No cross-reactivity with other proteins.

    Attributs du produit

    Anti-NSE/ENO2 Antibody (ABIN6719549). Tested in Flow Cytometry, IF, IHC, ICC, WB applications. This antibody reacts with Human, Mouse, Rat. This is a premium antibody that guarantees superior quality, high affinity, and strong signals with minimal background in Western blot applications.

    Purification

    Immunogen affinity purified.

    Immunogène

    A synthetic peptide corresponding to a sequence at the N-terminus of human NSE, which shares 95.1% and 100% amino acid (aa) sequence identity with mouse and rat NSE, respectively.

    Isotype

    IgG
  • Indications d'application

    Western blot, 0.1-0.5 μg/mL
    Immunohistochemistry (Paraffin-embedded Section), 0.5-1 μg/mL
    Immunocytochemistry/Immunofluorescence, 5 μg/mL
    Flow Cytometry (Fixed), 1-3 μg/1x106 cells

    Commentaires

    Tested Species: In-house tested species with positive results. By Heat: Boiling the paraffin sections in 10mM citrate buffer, pH6.0, for 20mins is required for the staining of formalin/paraffin sections. Other applications have not been tested. Optimal dilutions should be determined by end users.

    Restrictions

    For Research Use only
  • Format

    Lyophilized

    Reconstitution

    Add 0.2 mL of distilled water will yield a concentration of 500 μg/mL.

    Concentration

    500 μg/mL

    Buffer

    Each vial contains 4 mg Trehalose, 0.9 mg NaCl, 0.2 mg Na2HPO4, 0.05 mg NaN3.

    Agent conservateur

    Sodium azide

    Précaution d'utilisation

    This product contains Sodium azide: a POISONOUS AND HAZARDOUS SUBSTANCE which should be handled by trained staff only.

    Stock

    4 °C,-20 °C

    Stockage commentaire

    Store at -20°C for one year from date of receipt. After reconstitution, at 4°C for one month.
    It can also be aliquotted and stored frozen at -20°C for six months. Avoid repeated freeze-thaw cycles.
  • Antigène

    ENO2/NSE (ENO2) (Enolase 2 (Gamma, Neuronal) (ENO2))

    Autre désignation

    ENO2

    Sujet

    Synonyms: Gamma-enolase, 2-phospho-D-glycerate hydro-lyase, Enolase 2, Neural enolase, Neuron-specific enolase, NSE, ENO2

    Tissue Specificity: The alpha/alpha homodimer is expressed in embryo and in most adult tissues. The alpha/beta heterodimer and the beta/beta homodimer are found in striated muscle, and the alpha/gamma heterodimer and the gamma/gamma homodimer in neurons.

    Background: NSE (neuron specific enolase), also known as Enolase 2 (ENO2), is found in elevated concentrations in plasma in certain neoplasias. The enolases catalyze the interconversion of 2-phosphoglycerate to phosphoenolpyruvate in the glycolytic pathway. ENO2 gene contains 12 exons distributed over 9,213 nucleotides. Human neurone-specific enolase is mapped to chromosome 12p13.

    Poids moléculaire

    47 kDa

    ID gène

    2026

    UniProt

    P09104
Vous êtes ici:
Chat with us!