Tel:
+49 (0)241 95 163 153
Fax:
+49 (0)241 95 163 155
E-Mail:
orders@anticorps-enligne.fr

RMI2 anticorps

Cet anticorps Lapin Polyclonal détecte spécifiquement RMI2 dans WB, FACS, ICC, IHC et IHC (fro). Il présente une réactivité avec des échantillons de Humain, Souris et Rat.
N° du produit ABIN6719656
500,50 €
Plus frais de livraison 40,00 € et TVA
100 μg
Destination: France
Envoi sous 8 à 12 jours ouvrables

Aperçu rapide pour RMI2 anticorps (ABIN6719656)

Antigène

Voir toutes RMI2 Anticorps
RMI2 (RMI2, RecQ Mediated Genome Instability 2 (RMI2))

Reactivité

Humain, Souris, Rat

Hôte

  • 2
Lapin

Clonalité

  • 2
Polyclonal

Conjugué

  • 2
Cet anticorp RMI2 est non-conjugé

Application

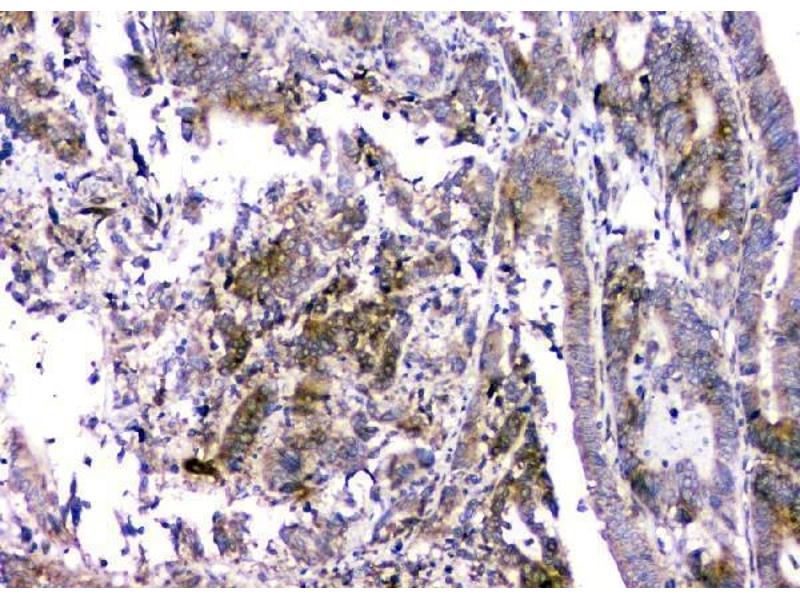
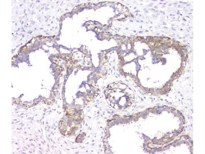
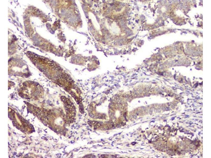
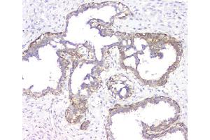
Western Blotting (WB), Flow Cytometry (FACS), Immunocytochemistry (ICC), Immunohistochemistry (IHC), Immunohistochemistry (Frozen Sections) (IHC (fro))
  • Fonction

    Anti-RMI2 Antibody

    Séquence

    KMTDLSDNPI HESMWELEVE DLHRNIP

    Réactivité croisée (Details)

    No cross-reactivity with other proteins.

    Attributs du produit

    Anti-RMI2 Antibody (ABIN6719656). Tested in Flow Cytometry, IHC, IHC-F, ICC, WB applications. This antibody reacts with Human, Mouse, Rat. This is a premium antibody that guarantees superior quality, high affinity, and strong signals with minimal background in Western blot applications.

    Immunogène

    A synthetic peptide corresponding to a sequence at the C-terminus of human RMI2, which shares 96.3% and 92.6% amino acid (aa) sequence identity with mouse and rat RMI2, respectively.

    Isotype

    IgG
  • Indications d'application

    Western blot, 0.1-0.5 μg/mL
    Immunohistochemistry (Paraffin-embedded Section), 0.5-1 μg/mL
    Immunohistochemistry (Frozen Section), 0.5-1 μg/mL
    Immunocytochemistry, 0.5-1 μg/mL
    Flow Cytometry (Fixed), 1-3 μg/1x106 cells

    Commentaires

    Tested Species: In-house tested species with positive results. By Heat: Boiling the paraffin sections in 10mM citrate buffer, pH6.0, for 20mins is required for the staining of formalin/paraffin sections. Other applications have not been tested. Optimal dilutions should be determined by end users.

    Restrictions

    For Research Use only
  • Format

    Lyophilized

    Concentration

    500 μg/mL

    Buffer

    Each vial contains 4 mg Trehalose, 0.9 mg NaCl, 0.2 mg Na2HPO4, 0.05 mg NaN3.

    Agent conservateur

    Sodium azide

    Précaution d'utilisation

    This product contains Sodium azide: a POISONOUS AND HAZARDOUS SUBSTANCE which should be handled by trained staff only.

    Stock

    4 °C,-20 °C

    Stockage commentaire

    Store at -20°C for one year from date of receipt. After reconstitution, at 4°C for one month.
    It can also be aliquotted and stored frozen at -20°C for six months. Avoid repeated freeze-thaw cycles.
  • Antigène

    RMI2 (RMI2, RecQ Mediated Genome Instability 2 (RMI2))

    Autre désignation

    RMI2

    Sujet

    Synonyms: RecQ-mediated genome instability protein 2, hRMI2, BLM-associated protein of 18 kDa, BLAP18, RMI2, C16orf75

    Background: RMI2 is a component of the BLM (RECQL3) complex, which plays a role in homologous recombination-dependent DNA repair and is essential for genome stability. This gene is mapped to 16p13.13. RMI1 and RMI2 were present in approximately stoichiometric amounts with other BLM complex components, including topoisomerase-3-alpha (TOP3A), RPA (see RPA1), and BLAP250. RMI2 also associated with RMI1 and TOP3A in a second complex. RMI1 and RMI2 interacted ly, and both were essential for stability of the BLM complex. Depletion of either RMI1 or RMI2 depleted the other protein by 80 to 90 % . Chicken DT40 cells depleted of Rmi2 displayed elevated sister chromatid exchange, but other functions of the BLM complex appeared intact. Mutation analysis revealed that interaction between human RMI2 and BLM was essential for suppression of sister chromatid exchange.

    Poids moléculaire

    19 kDa

    ID gène

    116028

    UniProt

    Q96E14

    Pathways

    Réparation de l'ADN
Vous êtes ici:
Chat with us!