F2RL3 anticorps (AA 320-343)
Aperçu rapide pour F2RL3 anticorps (AA 320-343) (ABIN673224)
Antigène
Voir toutes F2RL3 AnticorpsReactivité
Hôte
Clonalité
Conjugué
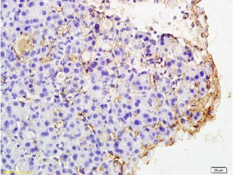
Application
-
-
Épitope
- AA 320-343
-
Réactivité croisée
- Humain, Souris, Rat
-
Purification
- Purified by Protein A.
-
Immunogène
- KLH conjugated synthetic peptide derived from human PAR4
-
Isotype
- IgG
-
-
-
-
Indications d'application
-
WB 1:100-1000
IHC-P 1:100-500
IF(IHC-P) 1:50-200 -
Restrictions
- For Research Use only
-
-
-
Format
- Liquid
-
Concentration
- 1 μg/μL
-
Buffer
- Aqueous buffered solution containing 1 % BSA, 50 % glycerol and 0.09 % sodium azide.
-
Agent conservateur
- Sodium azide
-
Précaution d'utilisation
- This product contains Sodium azide: a POISONOUS AND HAZARDOUS SUBSTANCE, which should be handled by trained staff only.
-
Stock
- -20 °C
-
Stockage commentaire
- Store at -20°C for 12 months.
-
Date de péremption
- 12 months
-
-
-
: "Proteomic Analysis of Cerebrospinal Fluid in Alzheimer's Disease: Wanted Dead or Alive." dans: Journal of Alzheimer's disease : JAD, (2014) (PubMed).
-
-
- F2RL3 (Coagulation Factor II (Thrombin) Receptor-Like 3 (F2RL3))
-
Autre désignation
- Par4
-
Sujet
-
Synonyms: PAR4, Proteinase-activated receptor 4, PAR-4, Coagulation factor II receptor-like 3, Thrombin receptor-like 3, F2RL3
Background: Receptor for activated thrombin or trypsin coupled to G proteins that stimulate phosphoinositide hydrolysis. May play a role in platelets activation.
-
ID gène
- 9002
-
UniProt
- Q96RI0
-
Pathways
- Carbohydrate Homeostasis, Regulation of Carbohydrate Metabolic Process
Antigène
-