Tel:
+49 (0)241 95 163 153
Fax:
+49 (0)241 95 163 155
E-Mail:
orders@anticorps-enligne.fr

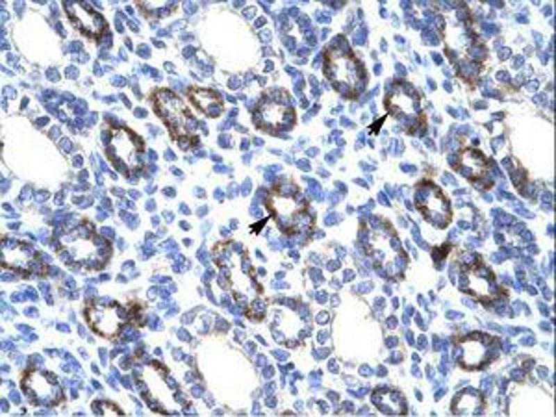
RGS6 anticorps (AA 398-447)

L’anticorps anti-RGS6 Polyclonal Lapin est utilisé pour la détection de RGS6 dans des échantillons de Humain, Rat, Souris, Chien, Boeuf (Vache), Cobaye, Cheval, Poisson zèbre (Danio rerio), Roussette (Chauve-souris) et Singe. Il a été validé pour WB et IHC.
N° du produit ABIN6735894
789,41 €
Plus frais de livraison 40,00 € et TVA
100 μL
Destination: France
Envoi sous 15 à 20 jours ouvrables

Aperçu rapide pour RGS6 anticorps (AA 398-447) (ABIN6735894)

Antigène

Voir toutes RGS6 Anticorps
RGS6 (Regulator of G-Protein Signaling 6 (RGS6))

Reactivité

Humain, Rat, Souris, Chien, Boeuf (Vache), Cobaye, Cheval, Poisson zèbre (Danio rerio), Roussette (Chauve-souris), Singe

Hôte

  • 24
  • 3
  • 1
Lapin

Clonalité

  • 22
  • 6
Polyclonal

Conjugué

  • 24
  • 2
  • 1
  • 1
Cet anticorp RGS6 est non-conjugé

Application

  • 21
  • 12
  • 11
  • 4
  • 4
  • 2
  • 2
  • 2
  • 1
Western Blotting (WB), Immunohistochemistry (IHC)
  • Épitope

    • 6
    • 3
    • 3
    • 3
    • 1
    • 1
    • 1
    AA 398-447

    Specificité

    Human RGS6

    Homologie

    Percent identity by BLAST analysis: Human, Mouse, Rat, Dog, Bovine, Horse, Guinea pig (100%) Rabbit, Chicken (92%) Xenopus, Zebrafish (85%).

    Purification

    Immunoaffinity purified

    Immunogène

    Synthetic peptide located between aa398-447 of human RGS6 (P49758-4, NP_004287). Percent identity by BLAST analysis: Human, Chimpanzee, Gorilla, Orangutan, Gibbon, Monkey, Galago, Marmoset, Mouse, Rat, Elephant, Panda, Dog, Bovine, Bat, Horse, Guinea pig (100%), Rabbit, Opossum, Turkey, Chicken, Platypus (92%), Xenopus, Zebrafish (85%).

    Type of Immunogen: Synthetic peptide

    Isotype

    IgG
  • Indications d'application

    Approved: IHC, WB (0.2 - 1 μg/mL)

    Not recommended for: IHC-P

    Commentaires

    Target Species of Antibody: Human

    Restrictions

    For Research Use only
  • Format

    Lyophilized

    Reconstitution

    After adding water, will consist of PBS buffer with 2 % sucrose

    Concentration

    Lot specific

    Buffer

    Lyophilized from PBS with 2 % sucrose

    Conseil sur la manipulation

    Avoid repeat freeze-thaw cycles.

    Stock

    4 °C,-20 °C

    Stockage commentaire

    Long term: -20°C, the use of 50% glycerol is recommended if storing aliquots in -20°C for long term use (up to 1 year)
    Short term (less than 1 week): 4°C. Avoid freeze-thaw cycles.
  • Antigène

    RGS6 (Regulator of G-Protein Signaling 6 (RGS6))

    Autre désignation

    RGS6

    Sujet

    Name/Gene ID: RGS6
    Family: Regulator of G-protein signalling

    Synonyms: RGS6, GAP, GTPase activating protein, S914, H_DJ1108A12.1, WUGSC:H_DJ0283M22.1, WUGSC:H_DJ1108A12.1

    ID gène

    9628

    NCBI Accession

    NP_004287

    UniProt

    P49758

    Pathways

    Myometrial Relaxation and Contraction, Regulation of G-Protein Coupled Receptor Protein Signaling
Vous êtes ici:
Chat with us!