PLA2G5 anticorps
Aperçu rapide pour PLA2G5 anticorps (ABIN6736765)
Antigène
Voir toutes PLA2G5 AnticorpsReactivité
Hôte
Clonalité
Conjugué
Application
Clone
-
-
Specificité
- Purified recombinant human sPLA2 (type V)
-
Purification
- Immunoaffinity Chromatography
-
Immunogène
- Recombinant human PLA2G5.
-
Isotype
- IgG1
-
-
-
-
Indications d'application
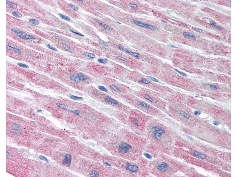
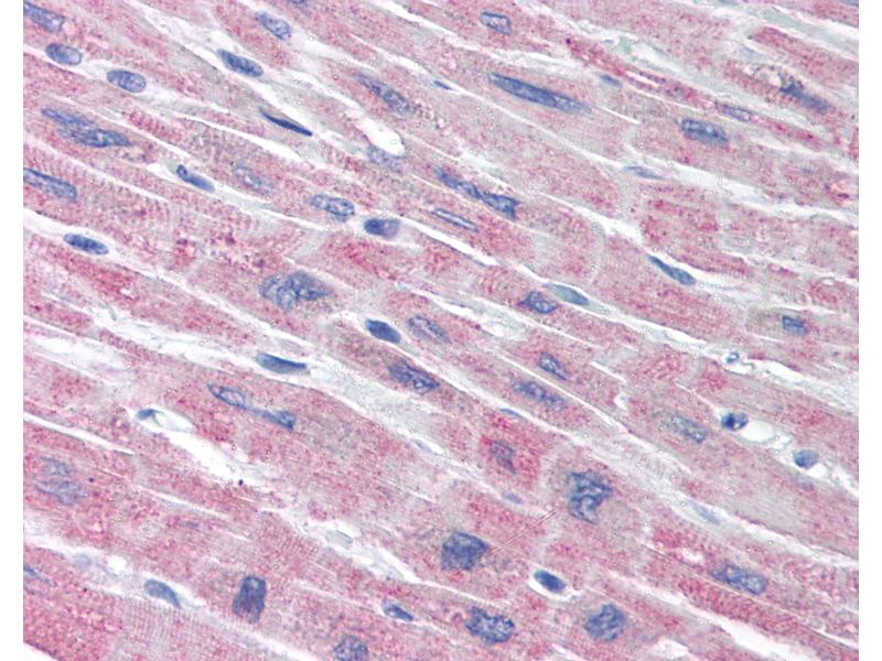
- IHC-P (10 µg/mL), IP, WB
-
Restrictions
- For Research Use only
-
-
-
Format
- Liquid
-
Reconstitution
- deionized water
-
Concentration
- Lot specific
-
Buffer
- PBS, pH 7.5, 0.2% BSA, 0.05% sodium azide, 50% glycerol.
-
Agent conservateur
- Sodium azide
-
Précaution d'utilisation
- This product contains sodium azide: a POISONOUS AND HAZARDOUS SUBSTANCE which should be handled by trained staff only.
-
Conseil sur la manipulation
- Avoid repeated freezing and thawing.
-
Stock
- 4 °C/-20 °C
-
Stockage commentaire
- Avoid repeated freezing and thawing.
-
-
- PLA2G5 (phospholipase A2, Group V (PLA2G5))
-
Autre désignation
- PLA2G5
-
Sujet
- Standard Gene Symbol: PLA2G5, Gene Family: Phospholipase, Synonyms: PLA2G5, GV-PLA2, HVPLA(2), FRFB, Phospholipase A2, group V, PLA2-10, Group V phospholipase A2
-
ID gène
- 5322
-
UniProt
- P39877
-
Pathways
- Inositol Metabolic Process
Antigène
-